年轻女性,发现颈部肿块1个半月。很典型,前排秒---结果公布~
胡志勇HZY 等 2 位达人已点赞患者性别:女
患者年龄:34岁
主诉:发现颈部肿块1个半月
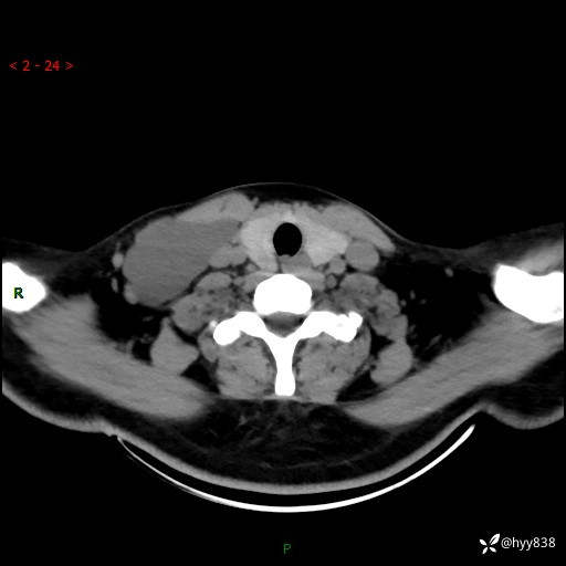
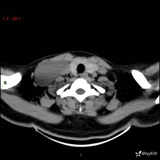
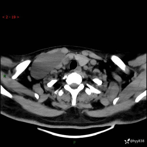
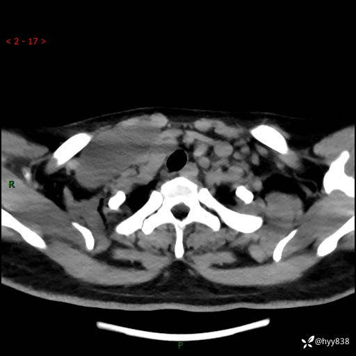
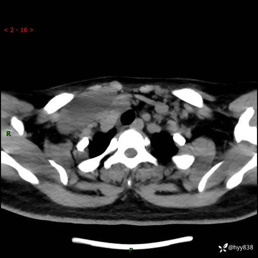
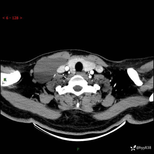
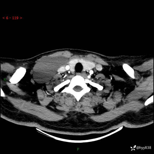
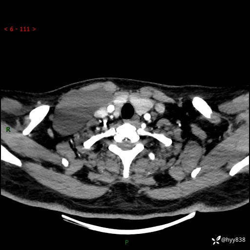
简要病史:患者1个半月前体检发现右颈部肿块,无心慌及盗汗,无疼痛感、恶心、畏寒,无吞咽及呼吸困难等不适,为明确病情遂前来我院就诊,2023-06-20我院行颈部肿块彩超示:右侧颈部含液性病变。现为行手术治疗前来我科,以“右颈部肿块”收入我科。 起病以来,患者精神、饮食一般,睡眠一般,大小便正常,体重及体力无明显改变。
体格检查:(-)
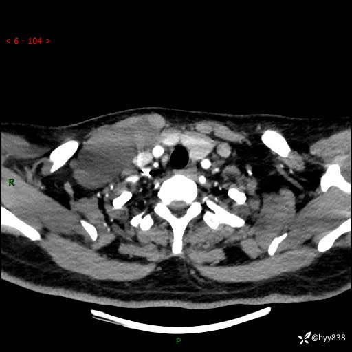
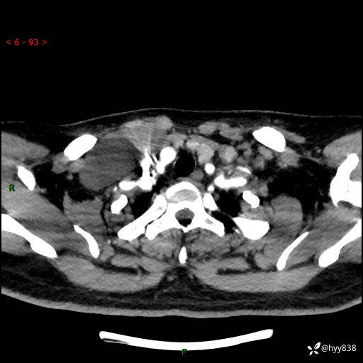
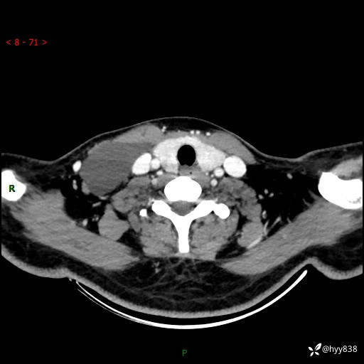
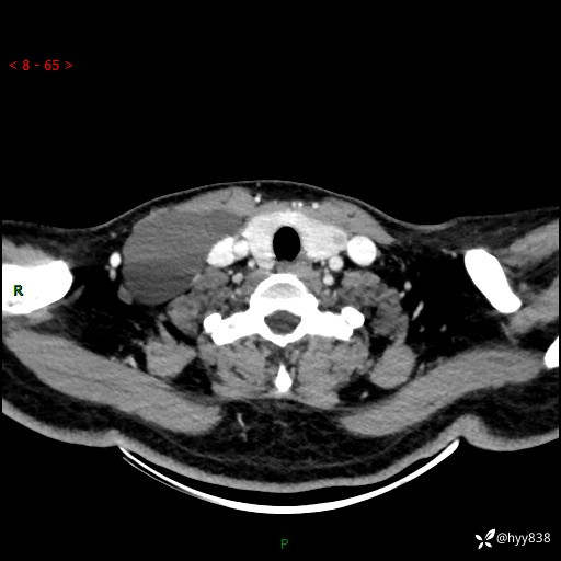
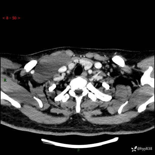
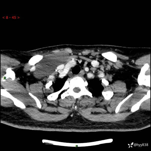
辅助检查:CT
临床诊断:颈部包块
治疗经过:手术
讨论:病变性质?
颈部CT平扫





增强动脉期+静脉期



























































