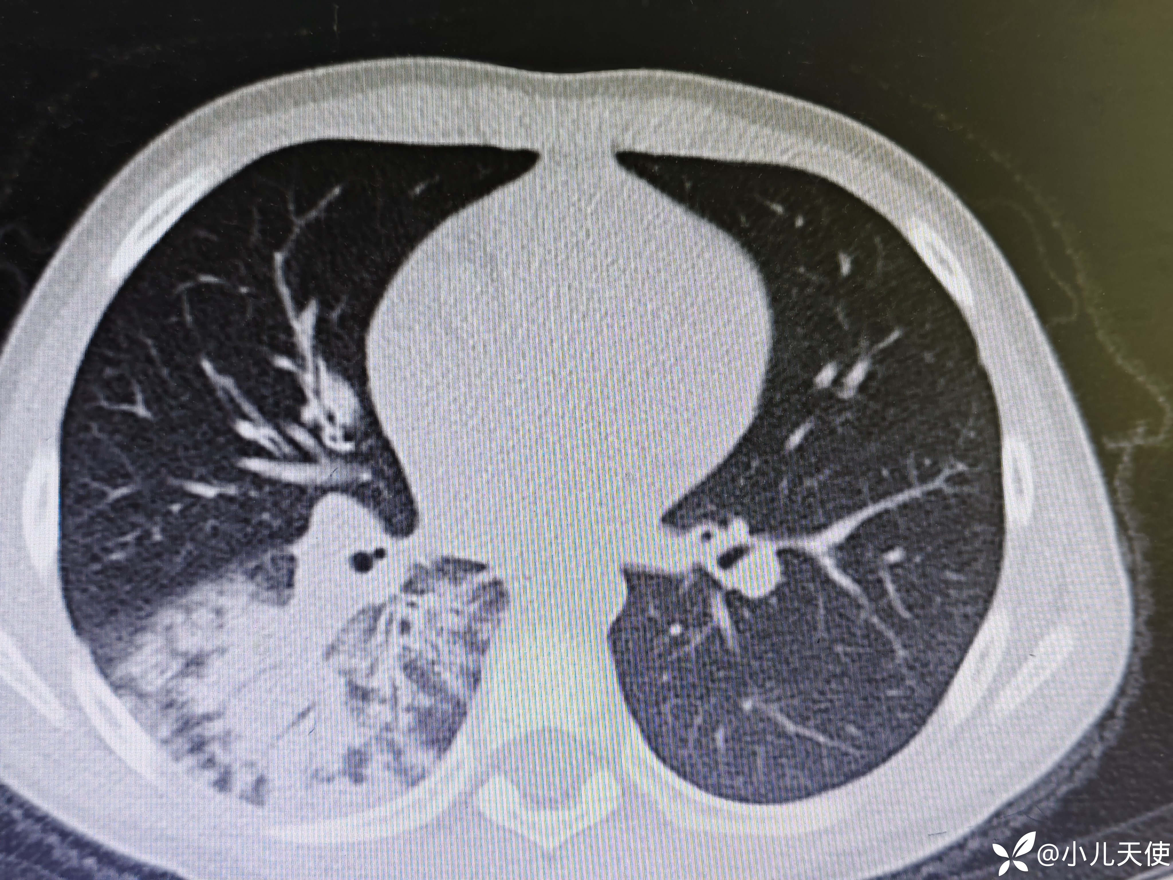
支原体肺炎肺部损害?

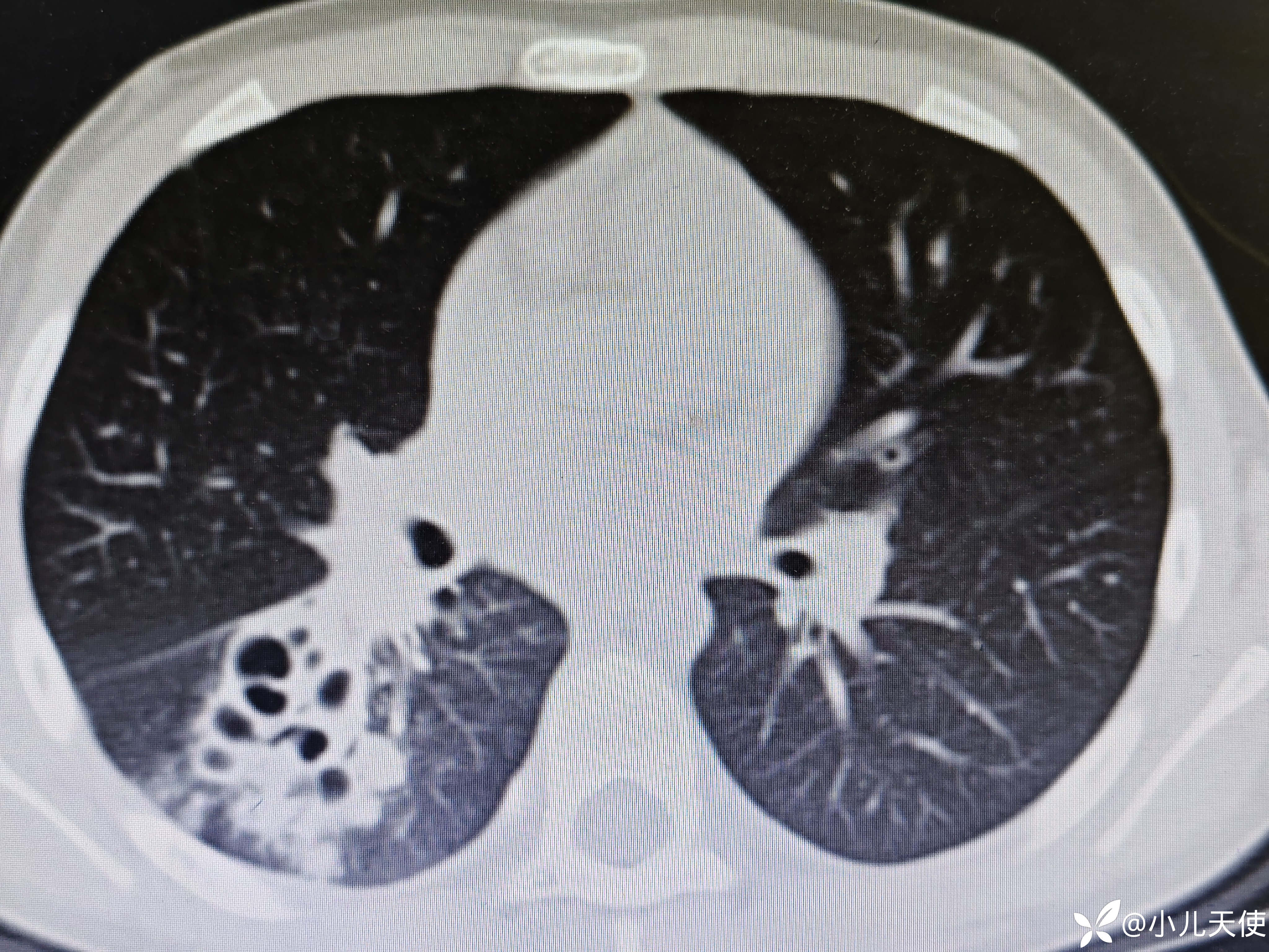
近期6岁女性患儿,发热5天咳嗽4天入院,入院时右肺可闻及明显湿性啰音,支原体衣原体IgM抗体阴性,甲流乙流抗原阴性,腺病毒、结核抗体阴性。血象,CRP、PCT均不高,ESR28,CT见上图。经抗感染(头孢,阿奇霉素)、抗炎(甲强2mg/㎏)等治疗一周,体温第二天即稳定,现肺部啰音已无,咳嗽明显好转,复查胸部CT见下图

CT提示右下肺炎症较前吸收,但提示多发囊性病变,建议进一步行病原学检查。这个还是考虑支原体肺炎肺部损害,还是其它因素所致?(既往未行肺部影像学检查)。望赐教!!
















































