纵隔肿瘤术后的腔镜切口渗液3月,化疗2次后暂停,这个1cm切口是继续换药or 手术?
上周五收治一个广州过来的伤口患者,伤口只有1cm,因为伤口持续渗液3月不愈合,2次化疗后暂停,想把伤口先治愈;
患者在顶级医院,由顶级专家做的手术,术后切口不愈合,多次复诊,考虑脂肪液化,换药就行了,这就换药了3个月;
第三次化疗时间11.1,因为伤口不愈合,就暂停了,继续换药近两周,沟通过程,患者和家属对主刀医生有一点儿不满,应该是找过熟人的,并没有直说;
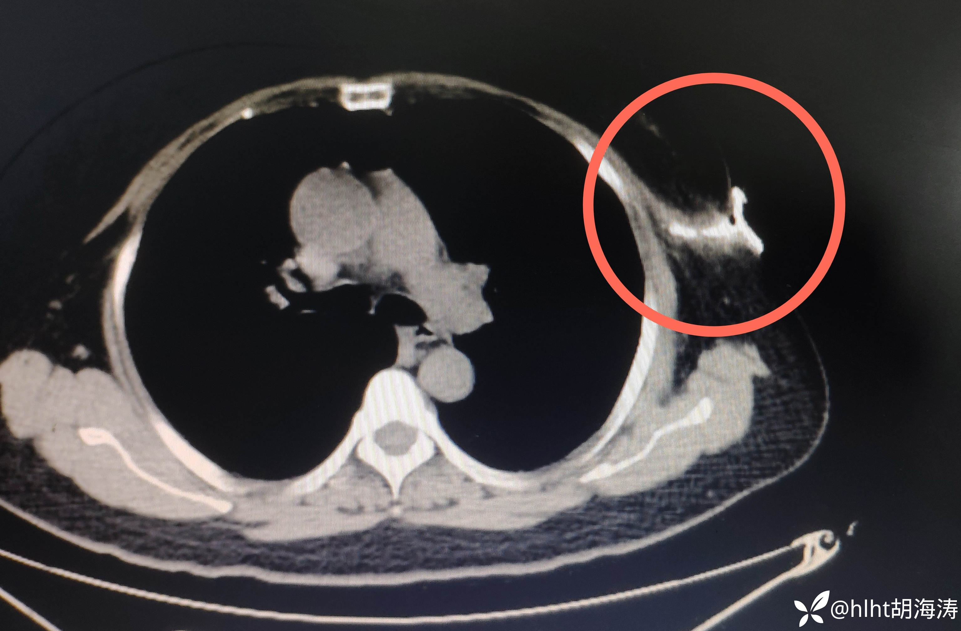
CT平扫

局部窦道造影

行一次负压引流

局部伤口1cm

两个方案:
1.负压引流,慢慢退深度 优点是创伤小,缺点是时间长,也不确定性;
2.扩创后,直接缝合 优点 短时间内可以愈合,缺点是创伤大、需麻醉
选择哪一个?如果不化疗,建议单纯负压引流,伤口愈合只是时间问题,单为了化疗,建议扩创,然后一期缝合;