乳腺发育?
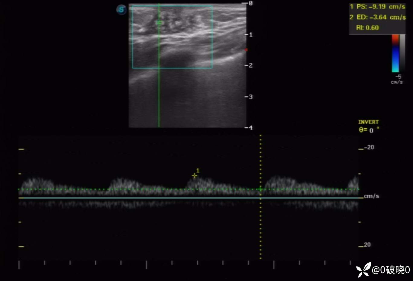
女童,7岁,9天前突感乳头处疼痛,当时家长触及到花生米大小的结节,9日后发现结节长大至2cm,但疼痛减弱,遂来诊。超声显示:包块处呈腺体样回声,其内回声不均,可见不规则低回声及团样高回声区,其旁可见细管样回声。CDFI:其内可见点、条状动脉血流信号。
开始时考虑乳腺发育,但是看到动脉血流信号有点犹豫,请各位大神指点。



女童,7岁,9天前突感乳头处疼痛,当时家长触及到花生米大小的结节,9日后发现结节长大至2cm,但疼痛减弱,遂来诊。超声显示:包块处呈腺体样回声,其内回声不均,可见不规则低回声及团样高回声区,其旁可见细管样回声。CDFI:其内可见点、条状动脉血流信号。
开始时考虑乳腺发育,但是看到动脉血流信号有点犹豫,请各位大神指点。



