dxy logo
首页丁香园病例库全部版块
搜索
登录

病例10月14(乳腺之①、②)

超声科医师 · 发布于 2021-10-14 · IP 河南河南
1448 浏览
icon推荐
这个帖子发布于 4 年零 43 天前,其中的信息可能已发生改变或有所发展。

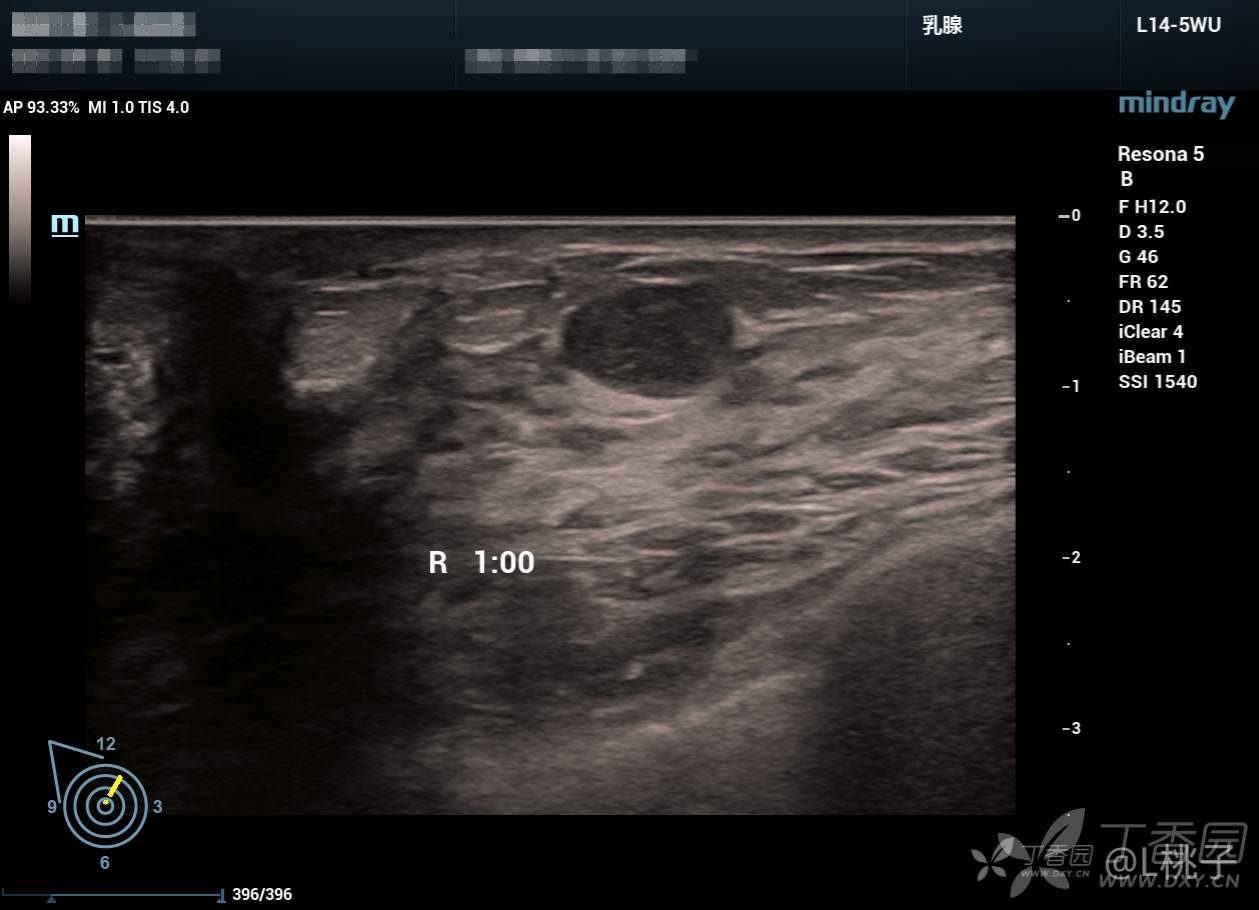
发部分乳腺结节的病例

大家考虑一下分级

病例1:

img
img
img
img

病例2:

previewplay video
该帖还没有疾病标签去添加
13 10 8
同行评议(0)
已评议
不开通精选
开通精选
精选已授权,待上线
评议结果暂未公布
参与评议
去邀请
NaN
病例完整NaN
临床实用NaN
诊疗科学NaN
学术价值NaN

全部讨论(0)

默认最新
avatar
13
分享帖子
share-weibo分享到微博
share-weibo分享到微信
认证
返回顶部