急诊病例,大家来看看~
简要病史:患者年轻女性,平素月经周期规律,6-7/30余天,末次月经2023年10月16日,月经量正常,有痛经史,8小时前同房后出现左侧下腹部疼痛,呈持续,急诊超声:如下:

左附件区不均质回声,卵巢被包裹在内。

右侧卵巢正常。

腹腔积液。
大家猜猜最终诊断是什么呢?
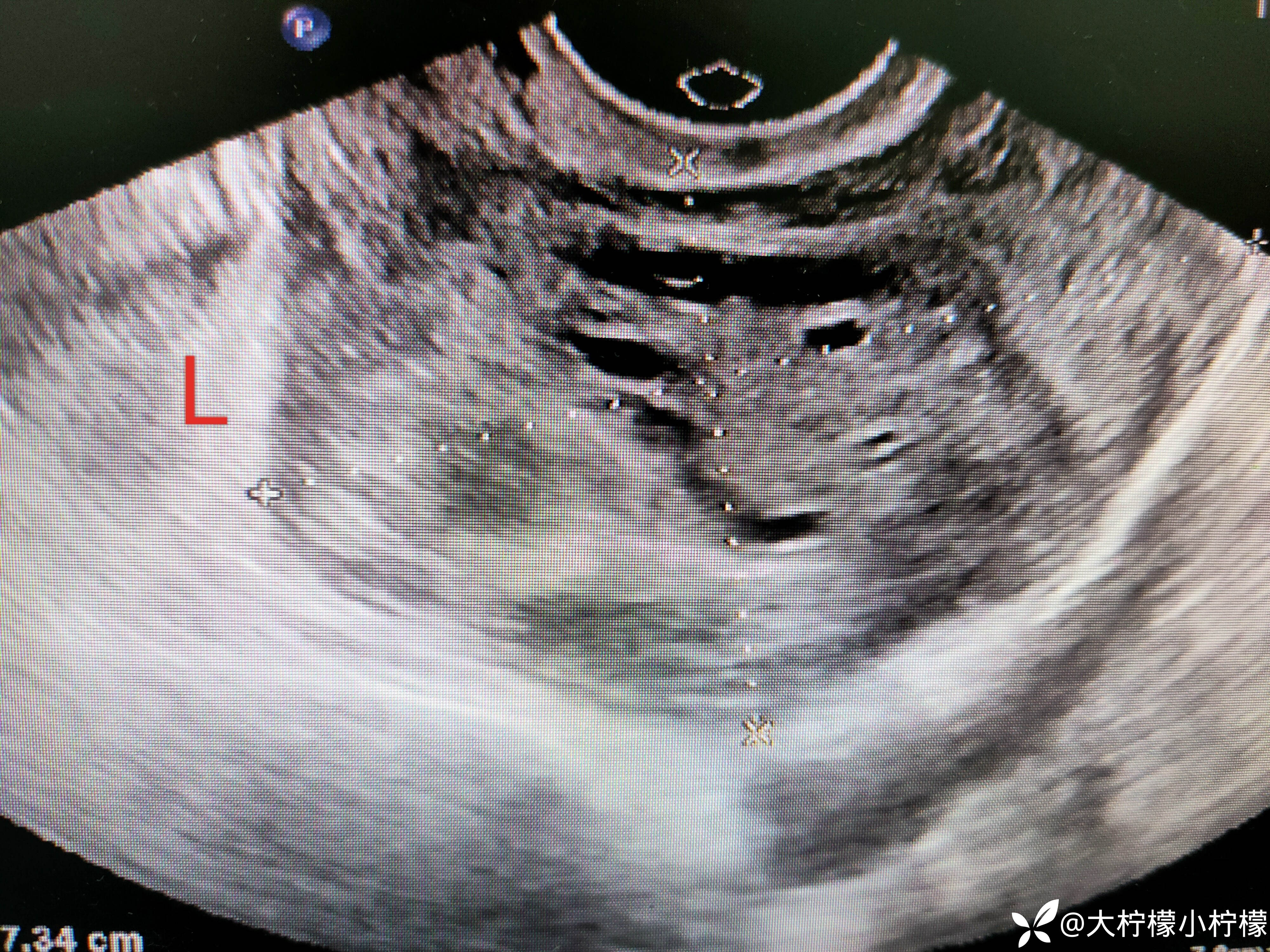
简要病史:患者年轻女性,平素月经周期规律,6-7/30余天,末次月经2023年10月16日,月经量正常,有痛经史,8小时前同房后出现左侧下腹部疼痛,呈持续,急诊超声:如下:

左附件区不均质回声,卵巢被包裹在内。

右侧卵巢正常。

腹腔积液。
大家猜猜最终诊断是什么呢?
