彗星尾见得多,乳腺里的你们见过吗?
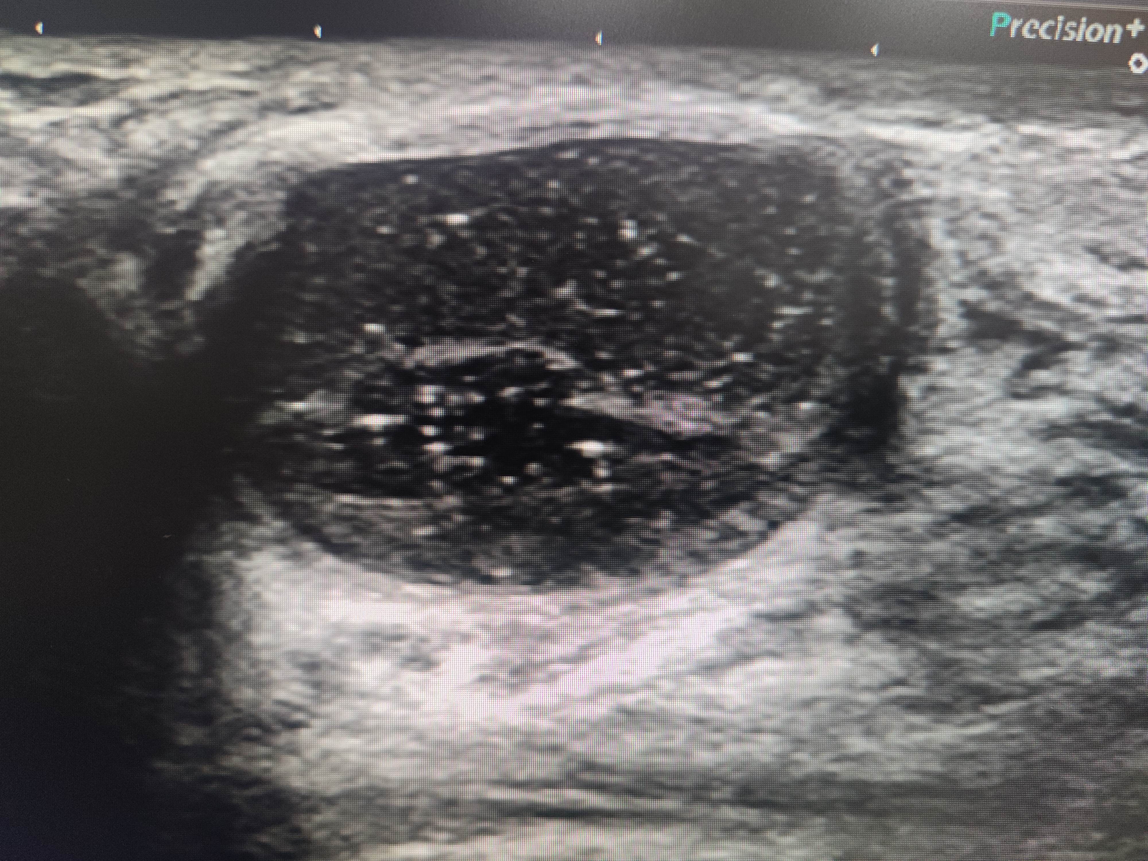
今天遇到一例下级医院上来的患者,既往微创做过纤维瘤,右侧乳房触及一包块,压之疼痛,遂到医院检查,我摸了摸,少许硬,双侧乳腺多发囊肿背景。
右侧乳腺12点乳晕后方腺体内可见一低回声包块,大小37✖️16mm,边界清,壁厚,内回声不均,可见数个彗星尾。来看看图,你们觉得该分几类?考虑是什么?







今天遇到一例下级医院上来的患者,既往微创做过纤维瘤,右侧乳房触及一包块,压之疼痛,遂到医院检查,我摸了摸,少许硬,双侧乳腺多发囊肿背景。
右侧乳腺12点乳晕后方腺体内可见一低回声包块,大小37✖️16mm,边界清,壁厚,内回声不均,可见数个彗星尾。来看看图,你们觉得该分几类?考虑是什么?







