孤立肺结节,还为遇到过这么“圆”的,是否如你心中所想---结果公布~
患者性别:女
患者年龄:55岁
主诉:背部疼痛不适7月余
简要病史:患者7月前无明显诱因出现背部疼痛不适、呈胀痛,2022-12-12至当地人民医院行胸部CT检查示:左上肺占位,建议增强检查。患者未行进一步检查及治疗,患者现背部疼痛进行性加重,无咳嗽、咳痰,无心慌、胸闷、无胸痛、反酸、发热等,为求进一步诊治,来我院就诊,门诊以“肺肿物”收入我科。 患者病程中,精神食欲可,二便正常,体力体重较前变化不明显。
体格检查:(-)
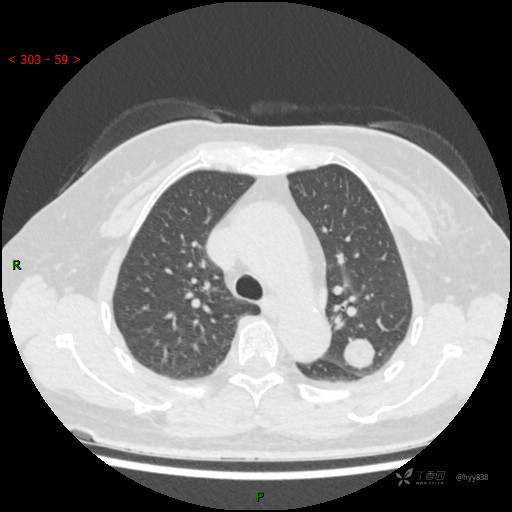
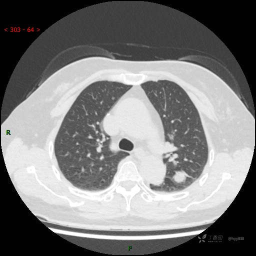
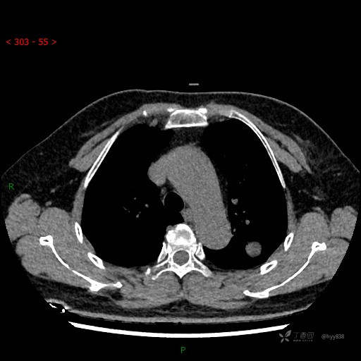
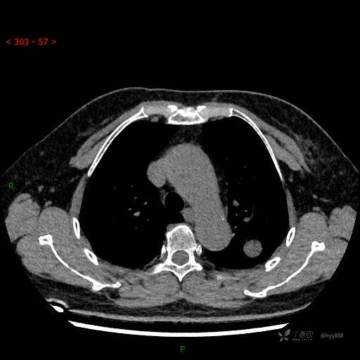
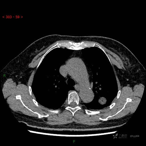
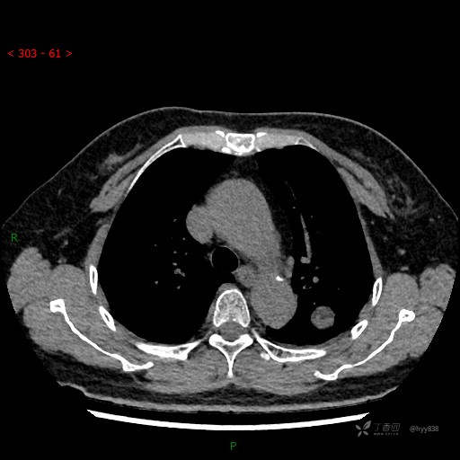
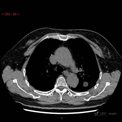
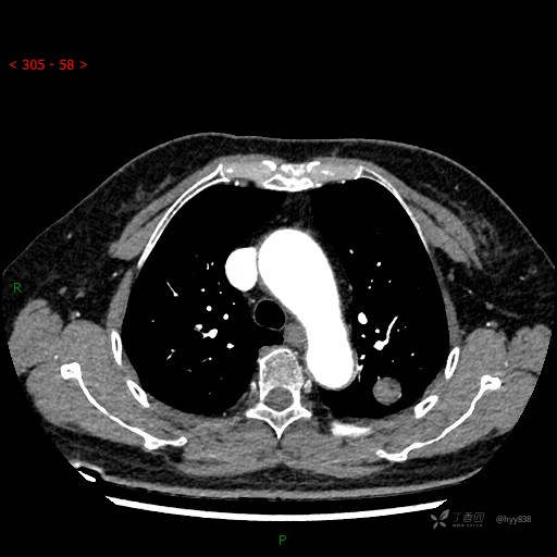
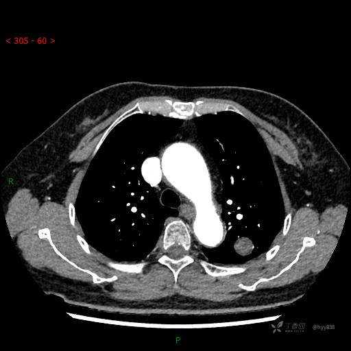
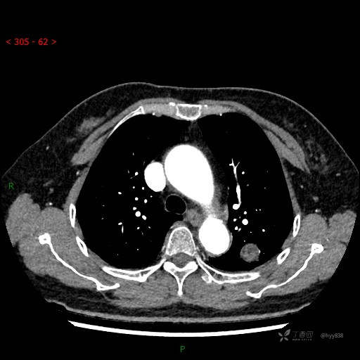
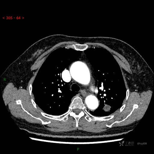
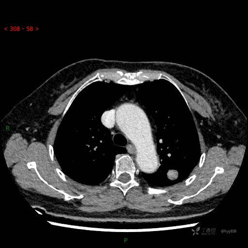
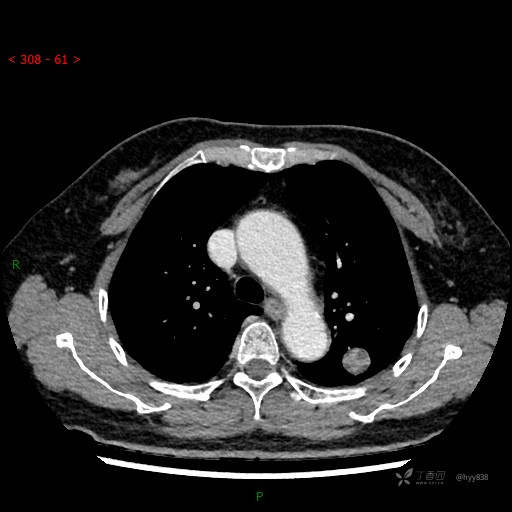
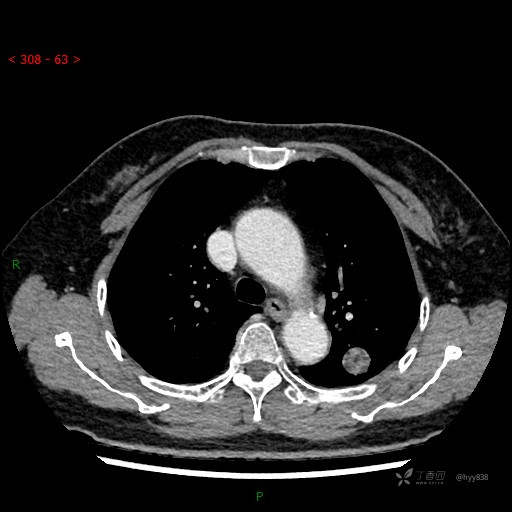
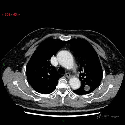
辅助检查:CT
临床诊断:肺肿物
治疗经过:---
讨论:结节性质?
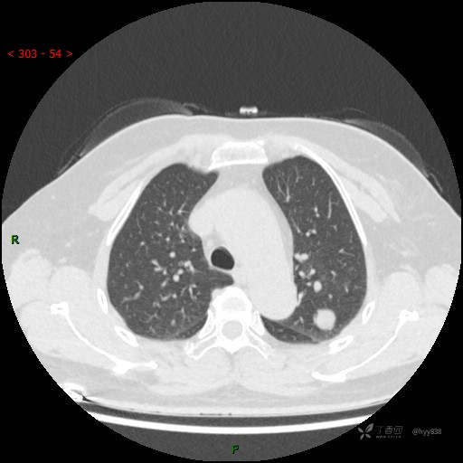
胸部CT平扫













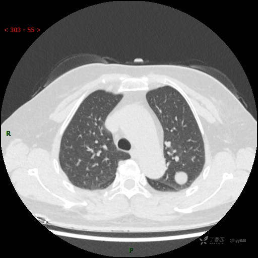
增强动脉期





静脉期




各期CT值:28hu、58hu、69hu















































