柒月第壹弹 忧愁的家属,无奈的大夫
患儿男,16岁,脐周疼痛1天
1天前暴饮暴食并进食大量生冷食物后出现脐周疼痛,持续性绞痛,阵发性加重,伴大便两次,不成形黄色稀便,无发热,无呕吐。来诊。
既往:1.5岁行右侧腹股沟疝疝囊高位结扎;6岁曾有肠梗阻发作,对症处理后好转。
母孕期无异常,孩子生长发育无异常。
查体:腹平坦,无胃肠形。脐周压痛阳性,无反跳痛及肌紧张,肠鸣音稍活跃。
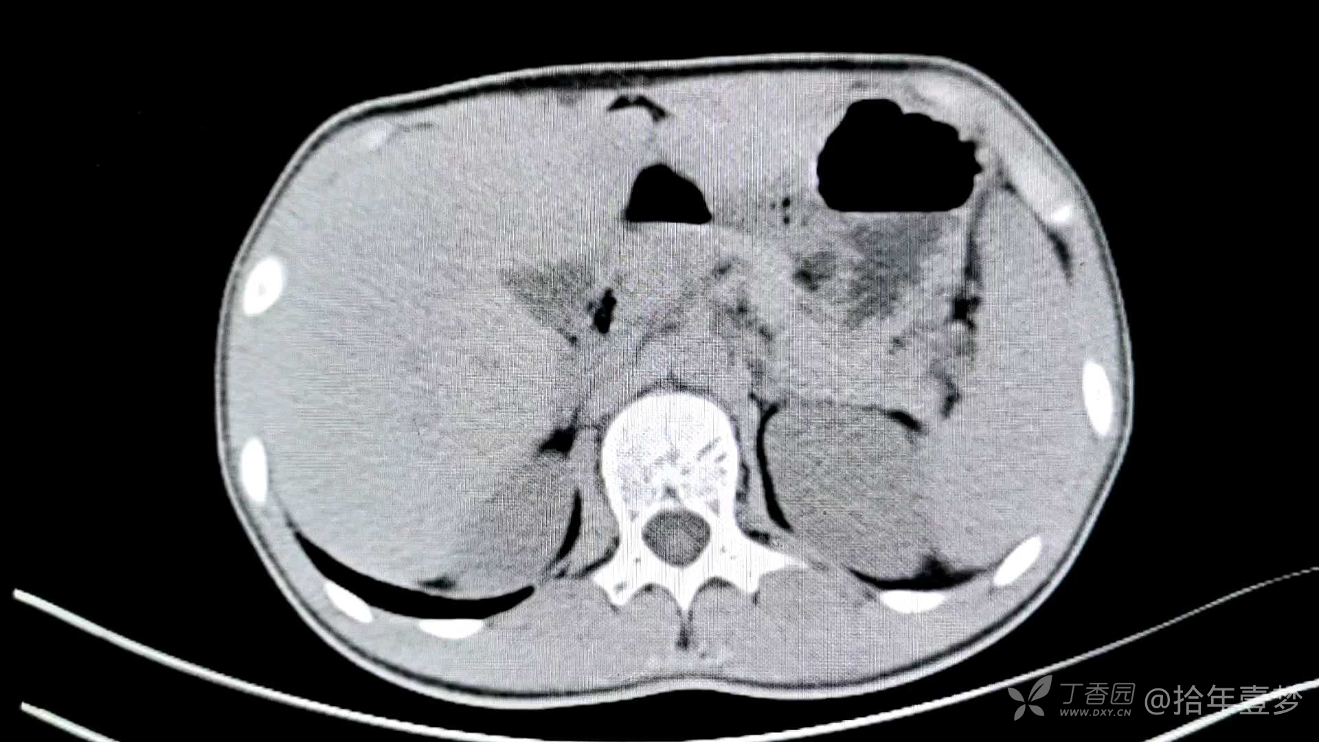
辅助检查如下



诊断:完全性肠梗阻。
入院后患者腹痛明显,给予对症止痛处理,患者未来出现腹痛,半天后,再发腹痛,再次处理。
治疗上给予补液,生理盐水加开塞露灌肠处理,留置胃管。
灌肠后流出少量黄色便,大量清水。
胃管流出淡黄色胃内容物。
治疗一天后,患者仍有腹痛不适,用药止痛后缓解,药效过后再发。
家属很是焦虑着急,自行联系上级医院,办理转院手续。
请示上级医师后办理手续。
诊断出错了,还是治疗出错了,还是家属求治心切?
欢迎战友点拨迷津。
















































