精彩手术视频:3D 腹腔镜下保留尾状突的 S58 段肝切除术

病例分享
基本信息:女,49 岁
简要病史:体检发现肝占位 3 天。
既往史:否认乙肝病史 3 年,未规律服药,余无特殊。

辅助检查:AFP:11ng/mL。血常规、肝肾功能、电解质、凝血功能均未见明显异常。

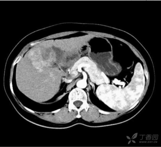
腹部 CT 提示:肝 S58 段肿块,合并出血、坏死,考虑 HCC 可能性大;肝中静脉,胆囊底部受侵犯可能,肝多发再生结节;肝硬化;脾大。

CT 动脉期

磁共振门静脉期
术前诊断:

手术信息
手术方式:3D 腹腔镜下部分 4b 段肝切除+保留尾状突的 S58 段肝切除术。
手术时间:180 min
术中出血量:300 mL
















































