手术视频:电钩在腹腔镜低位直肠前除术中的应用

患者:女性,66岁,BMI 23.8
主诉:大便带血3月余
查体:直肠指检(膝胸位)距肛缘 6 cm,12 点位置触及大小约 3 cm 菜花样肿块,质地硬,触痛,活动度可,退指有血染。
血常规:HGB 121 g/L
肿瘤标记物:AFP 0.8 ng/mL,CEA 2.45 ng/mL,CA19-9 12.76 U/mL
肠镜:距离肛缘 6 cm 见肿块,占据肠腔 1/2 圈。(见下图)

病理提示:腺癌。(见下图)

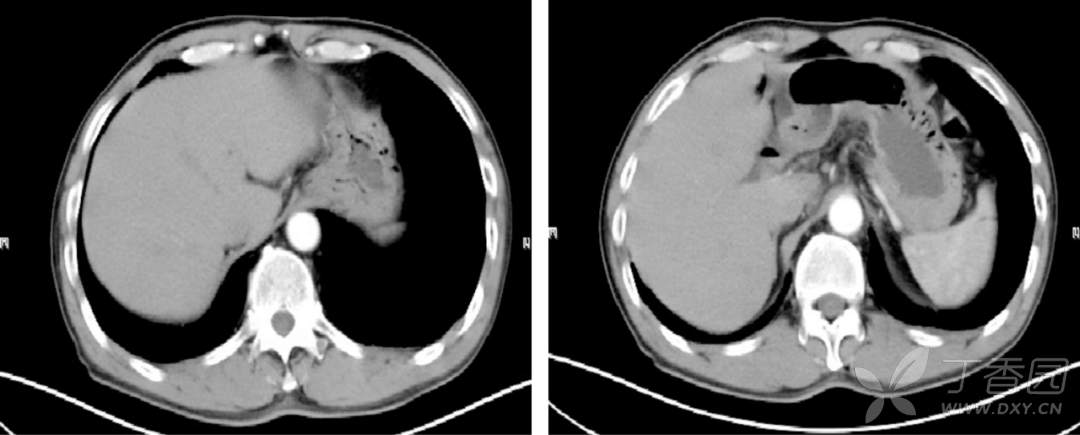
肝脏 CT:

盆腔 MRI:

术前分期:直肠癌 cT2~3NXM0
















































