81岁LDH和椎管狭窄,纠结的一例椎间孔镜
患者女性,81岁,左下肢疼痛、活动欠利10个月,不能行走症状加重20天。
患者在当地龙头医院住院卧床半月保守治疗无效,患者长子拿片来我院门诊咨询,随后转入我院。
患者年龄大,疼痛无法行走,无法坐立(不超2分钟),完善相关检查

贫血严重

凝血功能异常

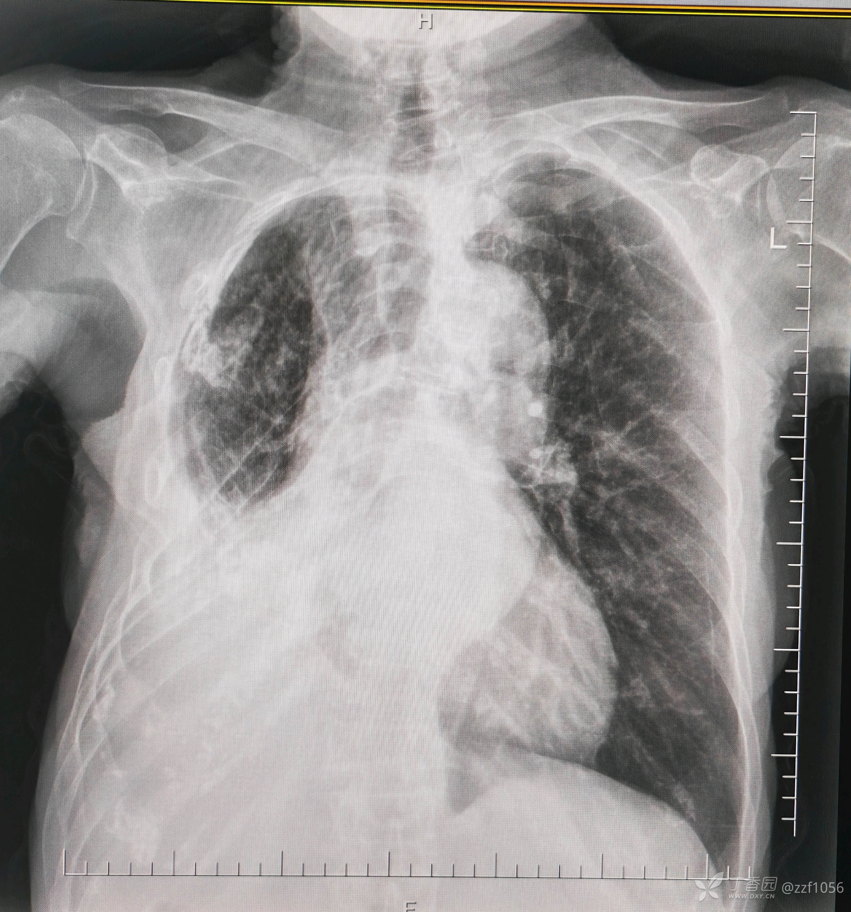
右肺不张,胸腔积液,无呼吸道症状


黄韧带肥厚

椎管狭窄

核磁结果L4/5狭窄明显,L5/S1突出存在,仔细查体,高度考虑左下肢L5根症状,其实患者也说不清楚,并且耳背😃
各位综合以上会选择什么治疗方案???
1、保守治疗,家属和患者手术意愿强烈(后来才知患者去多家医院咨询告知患者身体情况后均不能接诊,我唐突啦😃)
2、开放手术,站友们会考虑吗?依据目前身体条件或许不太合适
3、UBE、ULBD,考虑此方案,奈何要全麻,无人给我麻醉😃
不得已了,选择孔镜吧
了解患者身体基础条件我更加慎重,一方面抗感染一方面输血治疗
究竟是不是L5根?是L4/5的行走根还是L5/S1的出口根?患者说不清楚,查体也定不清楚
怎么办?只能阻滞定节段
先阻滞L4/5

针尖靠外了,患者无法俯卧太长时间,稍微调整后用得宝松阻滞,阻滞后患者自诉稍好转,返回病房
病房再次查看,患者诉效果不明显,好转效果不超30%,这也达不到孔镜指征啊
与家属沟通,家人仍坚决要求微创手术
告知往下一节再次阻滞
再次手术室阻滞,标准化再次阻滞L4/5,确实效果不显著,增加阻滞L5/S1后返回病房,患者诉疼痛有一定程度缓解,最少能做床边了,但仍旧疼痛,夜间睡眠无疼痛发作
对于阻滞效果,各位战友觉得如何?效果不太显现,孔镜做还是不做?确定L4/5节段吗?
万幸的是患者家属很明事理,能接受孔镜后效果不理想,患者三个儿子也特别孝顺
老太太直接来一句“看不好不出院”
😃😃😃
目前血色素已提升,无法俯卧位,拟定侧卧位局麻下椎间孔镜

老太太侧卧位特别配合,侧卧位孔镜好处是减少出血不影响呼吸

一级扩张管进盘内了

可视环锯椎间孔成型,黄韧带确实肥厚,够韧,髓核压迫明显

270°减压

切口不大,我竟然缝合了两针😃
术后效果究竟如何呢?

下床行走不痛了,可以坐了,夜间睡眠不痛了,露出了开心的笑容。
















































