椎管狭窄减压9-长节段固定后胸椎相邻节段椎管狭窄不能走路怎么办?
患者性别:女性
患者年龄:70岁 轮椅入科,身高体重未测。
主诉:双下肢麻木无力2年余,加重1年。
简要病史:患者述2年前无明显诱因出现双下肢大腿憋胀不适症状。外院进一步检查后诊断胸腰椎椎管狭窄,于外院行胸腰椎多节段椎管减压内固定手术治疗,术后症状改善明显,术后10个月再次逐渐出现双下肢麻木无力症状,左侧症状明显,行走时偶有打软腿不适,1年前摔倒致左踝关节骨折,给予内固定手术治疗,术后一直未能下地活动,双下肢麻木无力明显,二便正常。采取保守对症治疗,症状近来逐渐加重。
查体:胸背部无明显异常,原手术切口愈合良好;胸背部无明显压痛,双下肢皮肤感觉大致正常,双下肢肌力明显减弱,双侧股四头肌、臀中肌及踝关节背伸跖屈活动肌力2-3级,双侧膝腱反射、跟腱反射活跃,双侧直腿抬高试验阴性,双侧髌阵挛阴性,双侧踝阵挛阳性,双侧巴彬斯基征阳性。
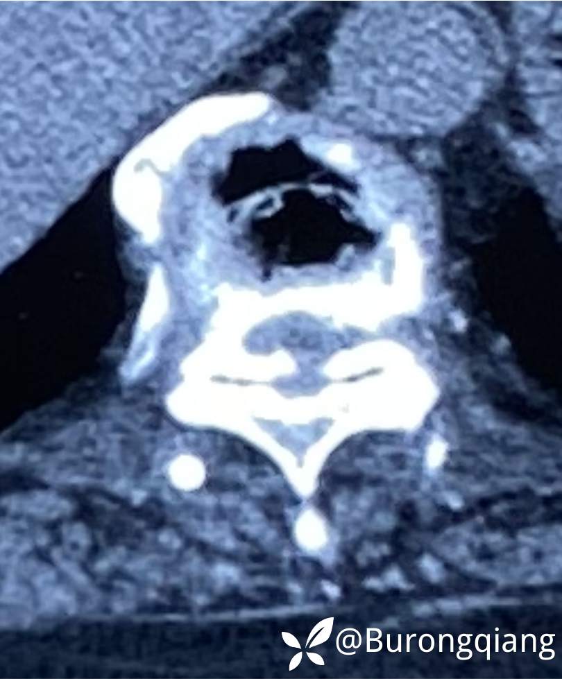
辅助检查:





临床诊断:胸椎管狭窄
治疗经过:给予脊柱内镜下椎管扩大减压手术治疗。


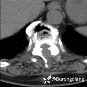
术后复查


治疗结果:术后两天患者可搀扶下站立,术后十天可助行器辅助行走。
体会:脊柱疾病目前做的都不是修复,医生做的都是改变原有的解剖结构达到治疗目的;目前最主要的是神经的有效减压,微创手术基本可以达到;脊柱不稳定是手术治疗的绝对适应症,但是否有那么多的不稳定?还是你以为的不稳定?我比较推崇阶梯治疗,尽量的非融合治疗。
















































