明辨肺结节(六十)|20mm实性结节,有对比才有差别!
李梦杰huxi 达人已点赞欢迎大家关注我,有更多好的病例和大家分享讨论,感谢支持!
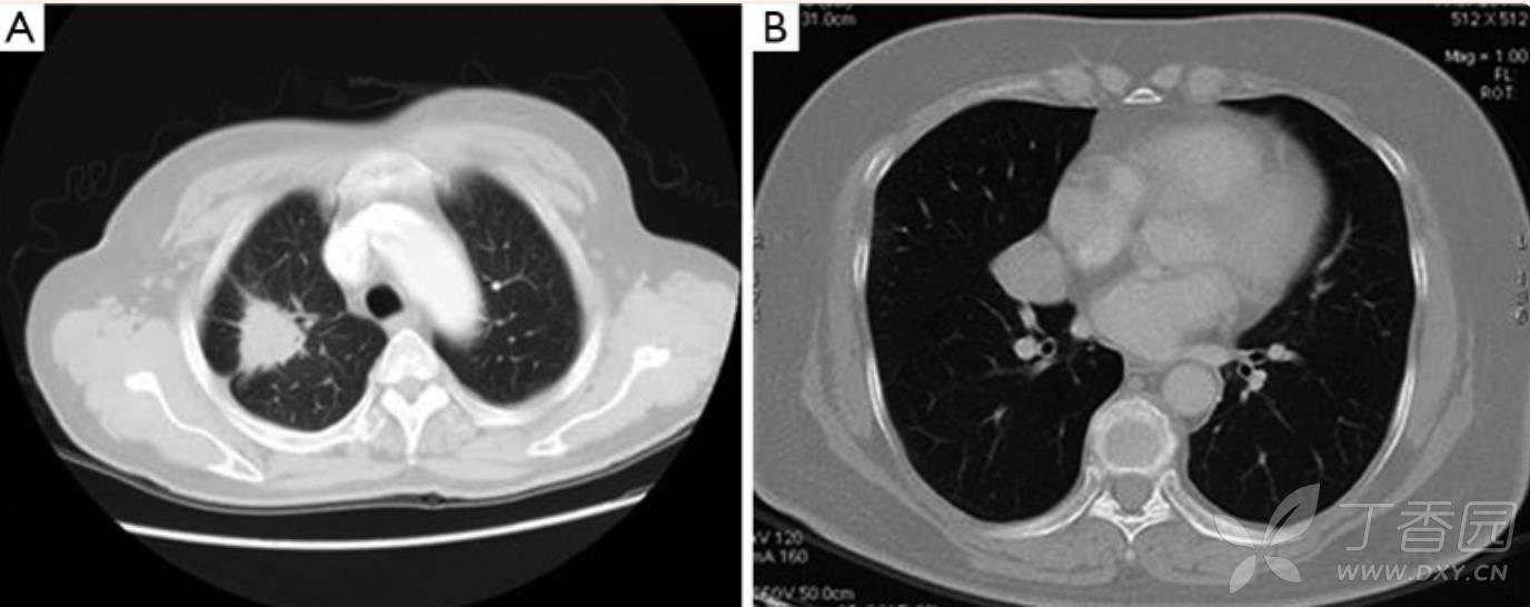
A,男性,61岁,右上肺结节。CT显示:结节呈小叶状,边缘有小毛刺,有血管聚集。
B,男性,66岁,右肺中叶结节。CT显示:结节边缘光滑,无分叶,无血管聚集。

留言区说出你的诊断!
两天后公布答案

李梦杰huxi 达人已点赞欢迎大家关注我,有更多好的病例和大家分享讨论,感谢支持!
A,男性,61岁,右上肺结节。CT显示:结节呈小叶状,边缘有小毛刺,有血管聚集。
B,男性,66岁,右肺中叶结节。CT显示:结节边缘光滑,无分叶,无血管聚集。

留言区说出你的诊断!
两天后公布答案

