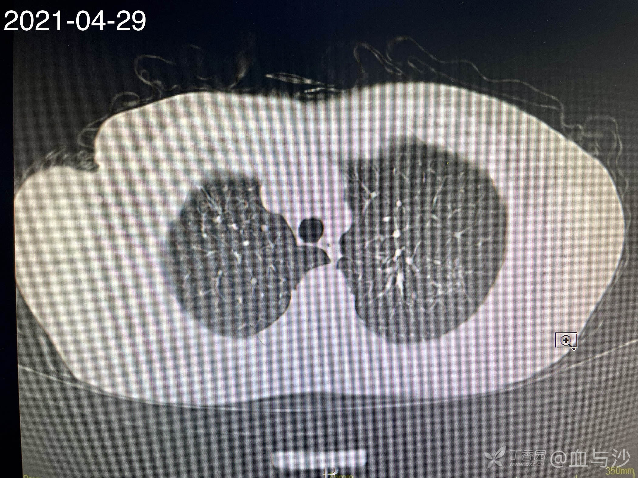
一年时间由肺磨玻璃样影进展为1.5cm实性结节,大伙来分析分析呢。
病人女,60岁,去年4月底因咳嗽发热入院,诊断支气管扩张伴感染(结核各项检查阴性,病人平时也无潮热盗汗),予抗感染对症处理。当时CT片左肺上叶有一磨玻璃样影。今年5月病人再次咳嗽发热入院,续按照支扩伴感染处理,但CT显示去年的磨玻璃影成了一约1.5cm的实性结节。
大伙帮看看呢,除了肿瘤还有没有其他可能🤔




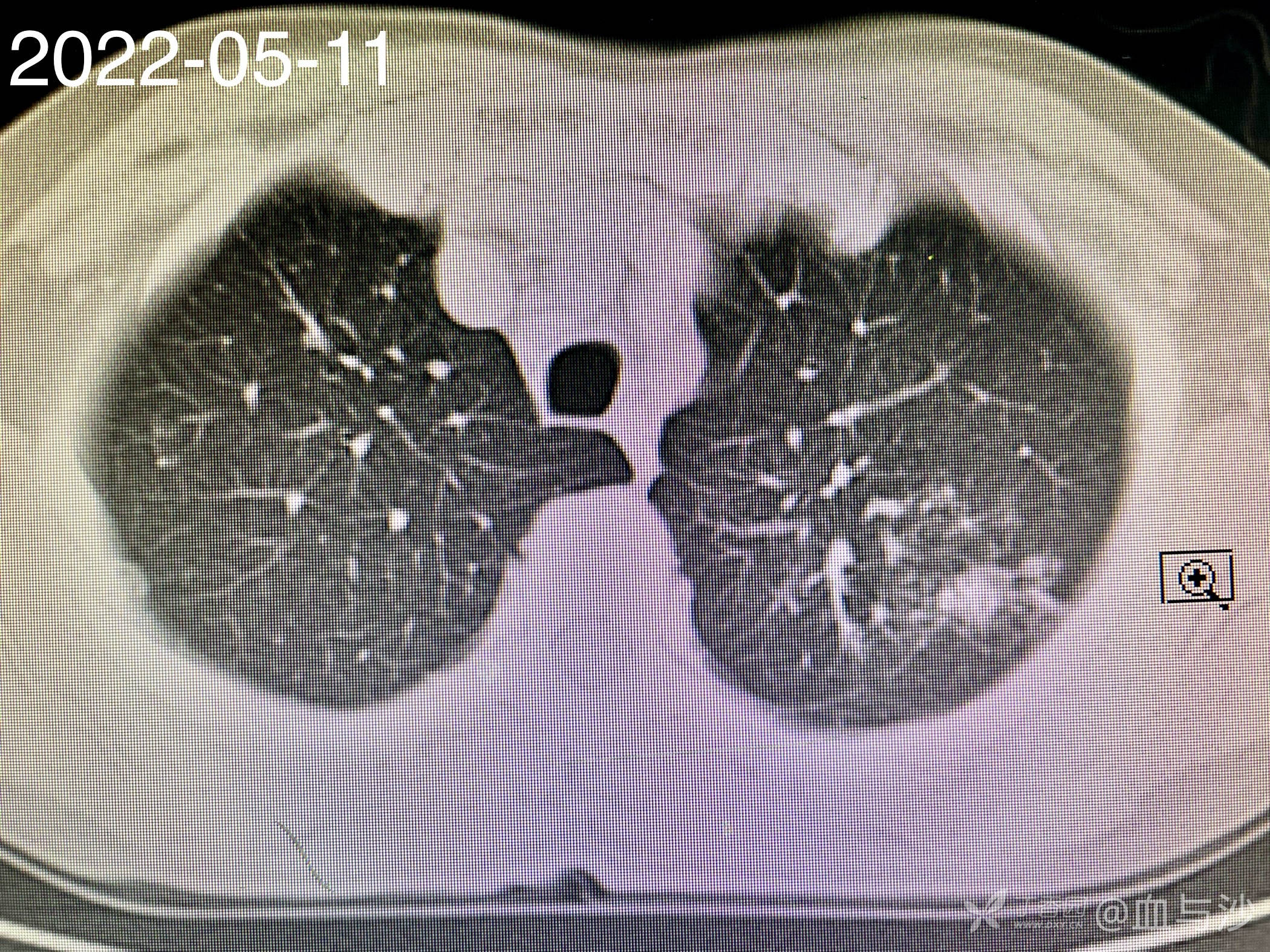
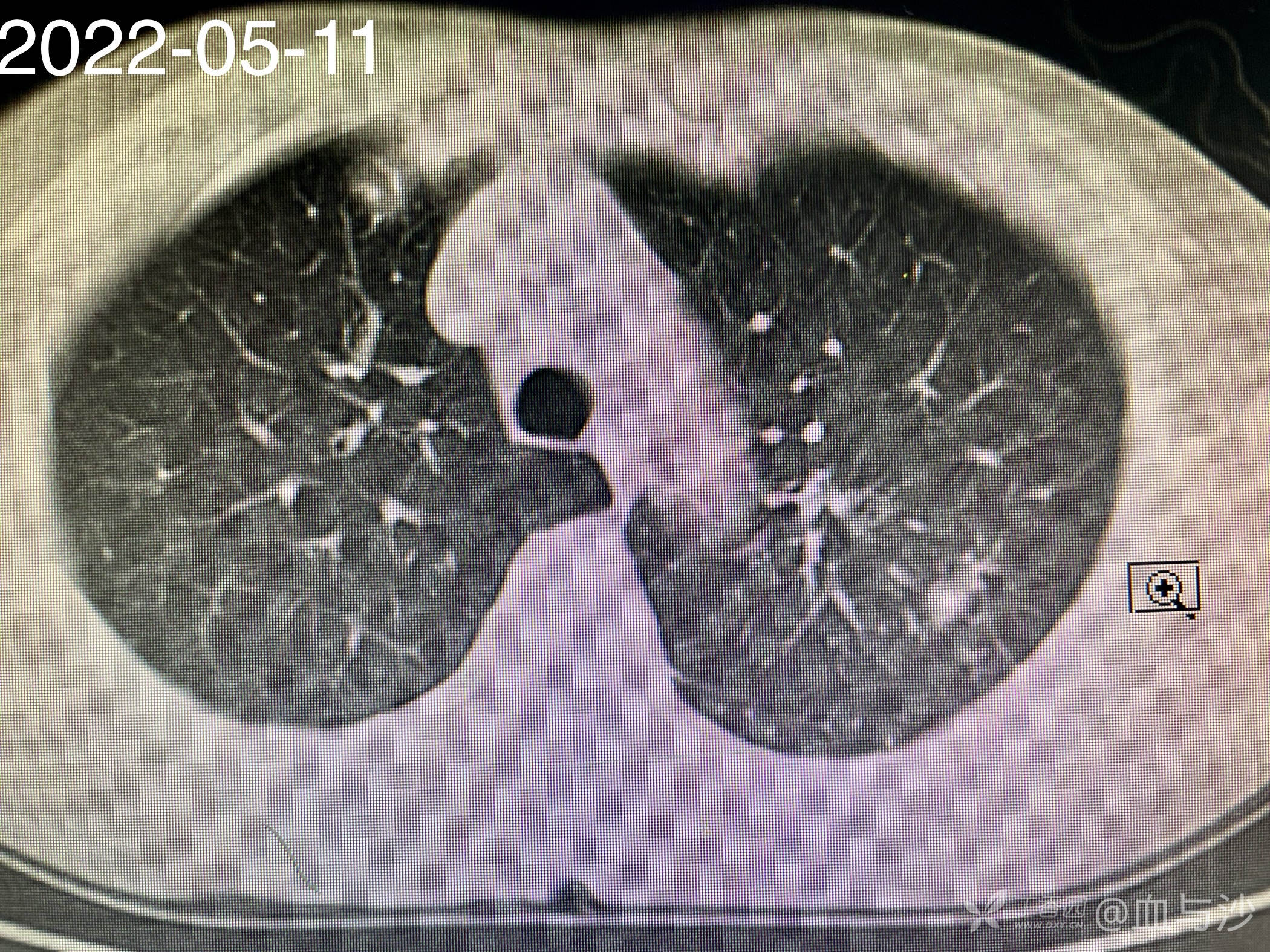
以下是今年5月的CT影像:







病人女,60岁,去年4月底因咳嗽发热入院,诊断支气管扩张伴感染(结核各项检查阴性,病人平时也无潮热盗汗),予抗感染对症处理。当时CT片左肺上叶有一磨玻璃样影。今年5月病人再次咳嗽发热入院,续按照支扩伴感染处理,但CT显示去年的磨玻璃影成了一约1.5cm的实性结节。
大伙帮看看呢,除了肿瘤还有没有其他可能🤔




以下是今年5月的CT影像:







