dxy logo
首页丁香园病例库全部版块
搜索
登录

病例明辨肺结节(五十八)|皮损和肺结节,你想到了什么?

呼吸科医师 · 发布于 2023-02-27 · IP 北京北京
6287 浏览
这个帖子发布于 2 年零 268 天前,其中的信息可能已发生改变或有所发展。

欢迎大家关注我,有更多好的病例和大家分享讨论,感谢支持!


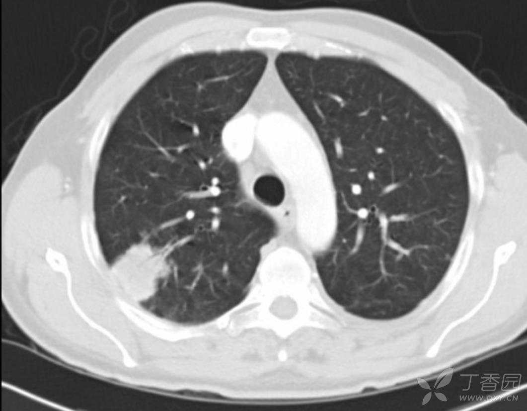
男性,49岁,同性恋。非典型的皮肤损害,无症状的肺结节。右肺上叶3.8cm肿块,内有支气管充气征。

img
img

留言区说出你的诊断!

两天后公布答案

img

肺结节 (1229)
严重急性呼吸综合征 (13)
纠错
146 7 10
同行评议(0)
已评议
不开通精选
开通精选
精选已授权,待上线
评议结果暂未公布
参与评议
去邀请
NaN
病例完整NaN
临床实用NaN
诊疗科学NaN
学术价值NaN

全部讨论(0)

默认最新
avatar
146
分享帖子
share-weibo分享到微博
share-weibo分享到微信
认证
返回顶部