消化系统少见病(一百十八):进行性吞咽困难
一名87岁老年女性因进行性吞咽困难被家人送诊。家属述其近2年内进行性吞咽困难,目前进食固体食物及液体均困难。近2个月体重下降约10余斤。
查体:生命体征正常,轻度驼背。双下肺闻及粗罗音,双肺尖呼气末哮鸣音。
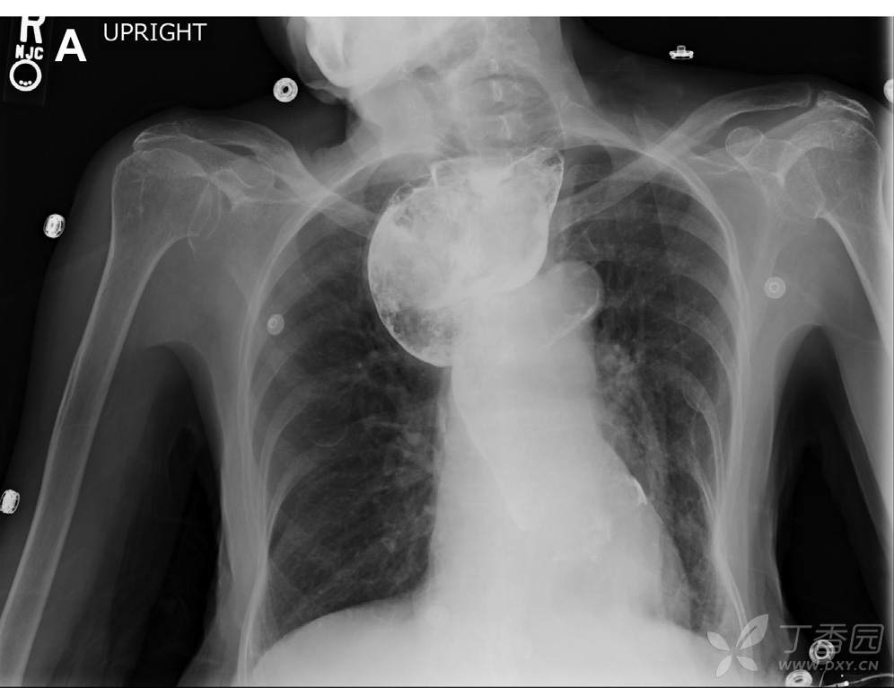
胸片可见纵隔显著增宽,双肺野基本正常(图A)。
请问:诊断是什么?
A 食管癌 B 贲门失驰缓症 C 食管Chagus病 D 食管外压性狭窄

(Gastro,20-Dec)
上一期:消化系统少见病(一百十七):紫色肝脏(答案公布) - 消化内科 - 专业医生社区,医学、药学、生命科学、科研学术交流 (dxy.cn)
下一期:消化系统少见病(一百十九):直肠多发病灶 - 消化内科 - 专业医生社区,医学、药学、生命科学、科研学术交流 (dxy.cn)















































