老年男性,咳嗽10天伴发热5天。4天复查CT稍进展,感染的进一步探讨---结果公布~
患者性别:男
患者年龄:74岁
主诉:咳嗽伴胸闷10余天,发热5天。
简要病史:患者10余天前无明显诱因出现咳嗽,以干咳为主,偶有少量白色痰,伴活动后胸闷,病初未在意,5天前出现发热,体温最高达39.9℃,伴畏寒,寒战,无胸痛,无咯血,无盗汗,无夜间憋醒及端坐呼吸等,于当地县人民医院就诊,查胸部CT提示左肺炎症,左侧包裹性胸腔积液,左侧胸膜增厚并钙化,予以哌拉西林他唑巴坦抗感染,退热等治疗2天,患者发热情况稍好,最高体温较前稍下降,现为进一步诊治,来我院就诊,门诊以“社区获得性肺炎”收治入院。 起病来,神志清,精神可,饮食、睡眠欠佳,近来出现腹泻,约3-4次/日,小便尿频,体力无下降,体重无改变。
实验室检查(当地):白细胞 4.78 *10~9/L,中性粒细胞百分比 92.6%,血红蛋白 104g/L
体格检查:左侧胸廓塌陷,双肺呼吸音粗,左肺可闻及湿罗音
辅助检查:CT
临床诊断:咳嗽发热待查
治疗经过:---
讨论:探讨感染病原体---
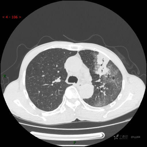
胸部CT平扫(首次)







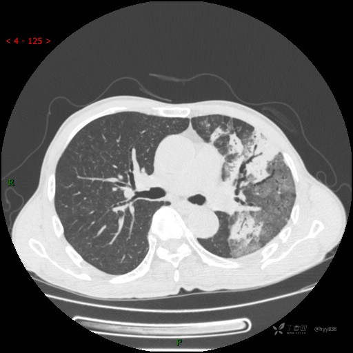
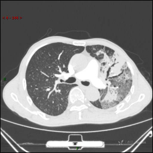
四天后复查(怀疑肺栓)






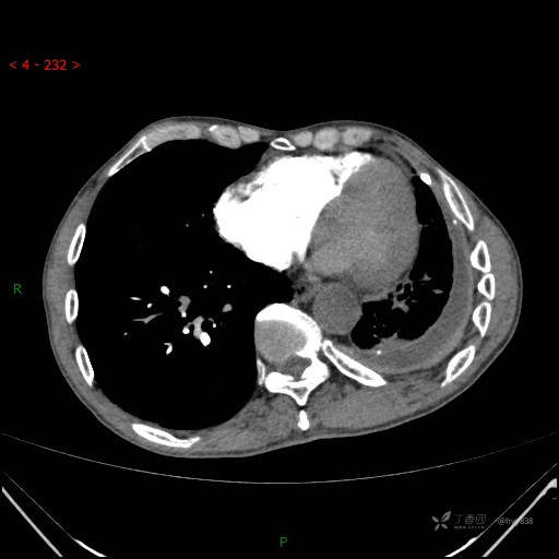
增强动脉期





















































