LDH孔镜复发还是扭伤所致?肋骨少一根还是多一根?
huang_zhe_yuan 推荐患者男35岁,腰腿痛一月。
诊断LDH(L5/S1)

两年半以前曾做过椎间孔镜,术后效果好,后经常长时间开车,自诉经常闪腰
先睹影像

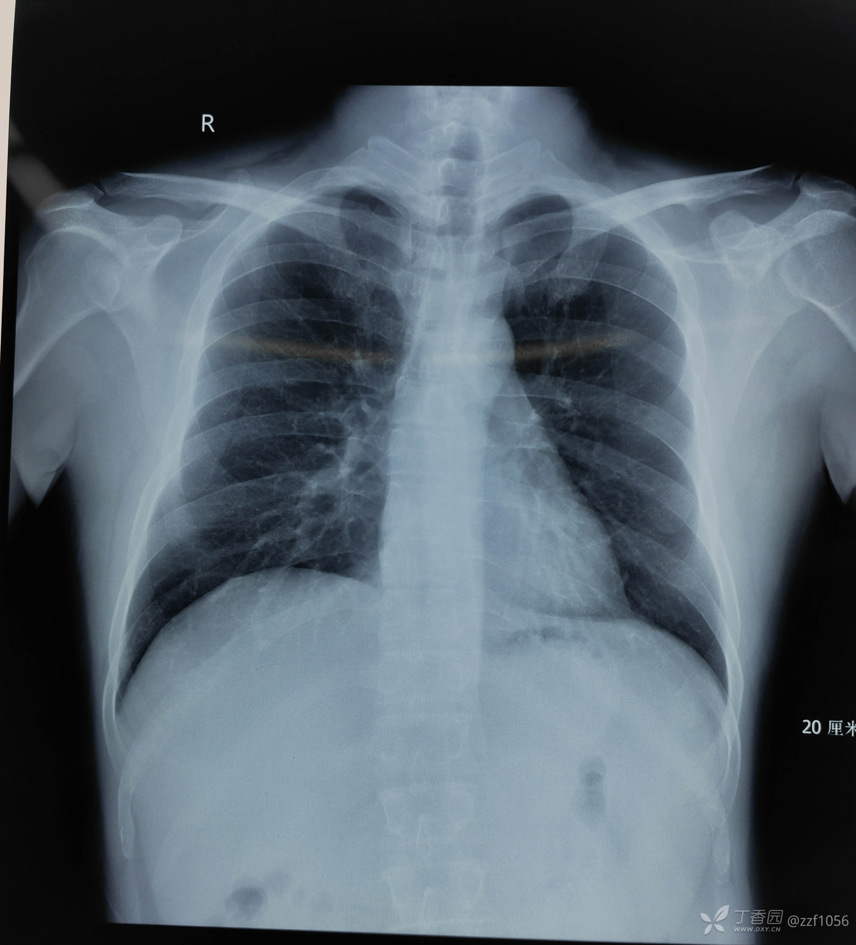
肋骨够数吗?


L1还是T12,三长四短五肥大

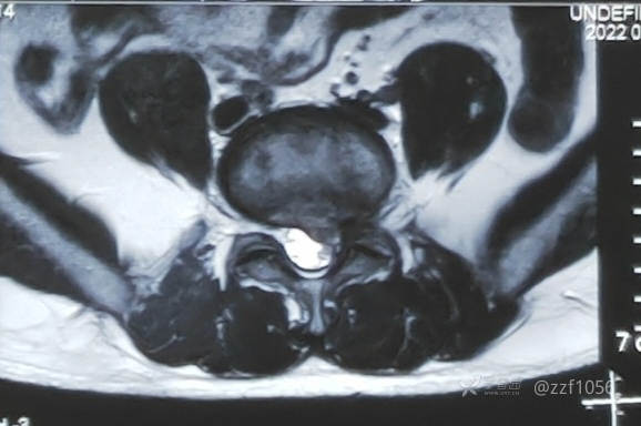
脱出明显

左侧,貌似两块


探讨:继续孔镜吗?
UBE还是Dalta

椎板间定位

布坝

突出挤压行走根严重

减压后

很大一块


huang_zhe_yuan 推荐患者男35岁,腰腿痛一月。
诊断LDH(L5/S1)

先睹影像

肋骨够数吗?


L1还是T12,三长四短五肥大

脱出明显

左侧,貌似两块


UBE还是Dalta

椎板间定位

布坝

突出挤压行走根严重

减压后

很大一块


