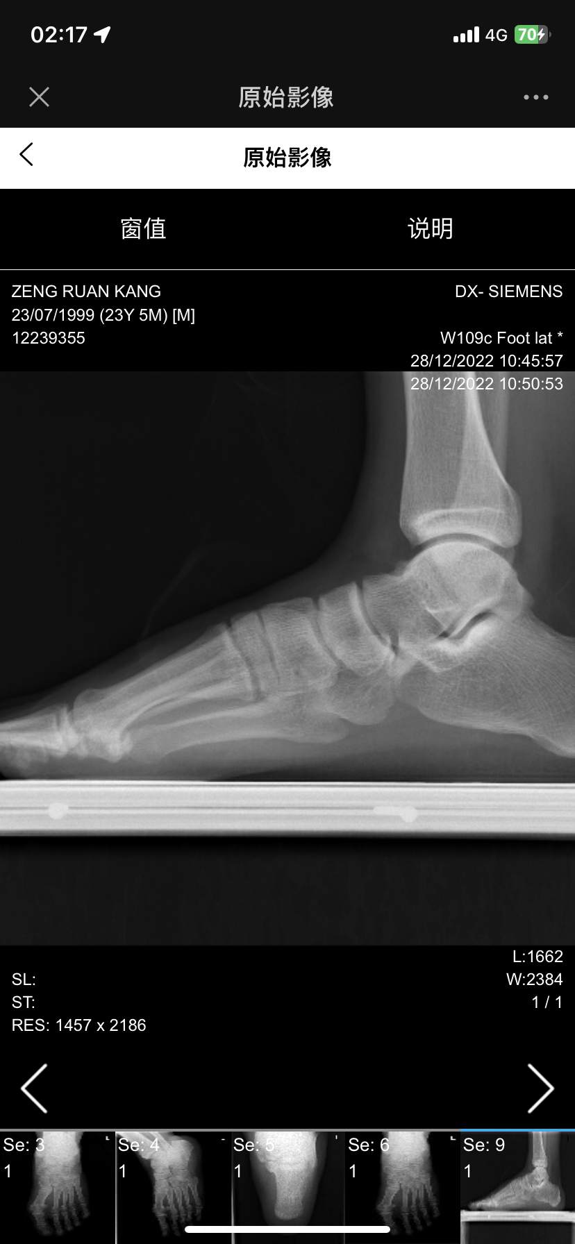
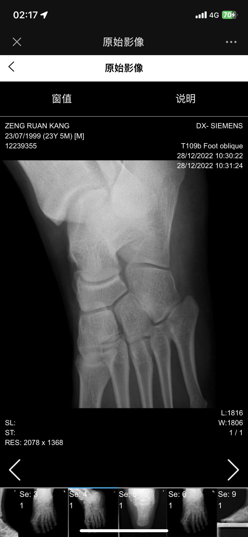
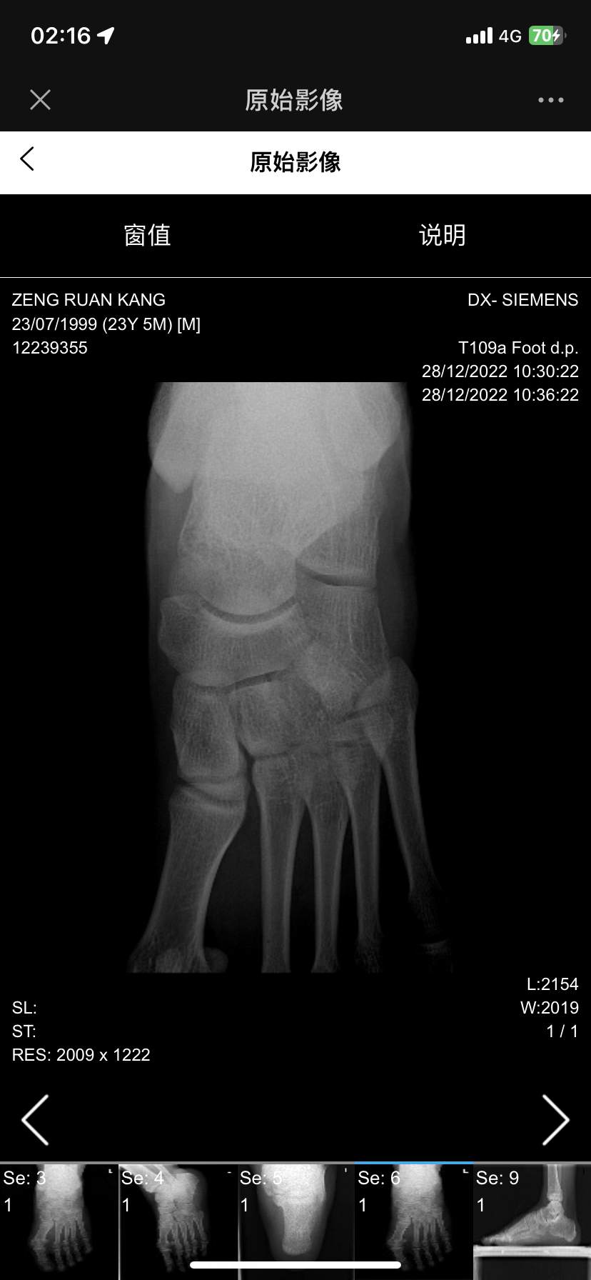
扭伤后组底外侧跟骰关节处疼痛五年,骰骨综合征?
患者五年前跖屈内翻扭伤,痊愈后才注意到足底外侧骰骨处疼痛,行走时尤甚,随着活动增加而加重,这几年找了很多足踝大夫都看不出来,因为b超磁共振和x光没有显示任何结构问题,也没有炎症水肿的表现,活动度也基本正常,内外翻跖屈背曲无痛,尝试过药物,封闭,针刀,冲击波等效果均不佳,因疼痛影响生活轻度抑郁,老师们考虑这是什么病?





患者五年前跖屈内翻扭伤,痊愈后才注意到足底外侧骰骨处疼痛,行走时尤甚,随着活动增加而加重,这几年找了很多足踝大夫都看不出来,因为b超磁共振和x光没有显示任何结构问题,也没有炎症水肿的表现,活动度也基本正常,内外翻跖屈背曲无痛,尝试过药物,封闭,针刀,冲击波等效果均不佳,因疼痛影响生活轻度抑郁,老师们考虑这是什么病?





