胫骨骨折的MⅠPPO技术
女性患者,摔伤致左胫腓骨骨折5天由外院转入,入院时左小腿石膏外固定,仍然轻度肿胀。完善术前检查,综合评估后择期内固定手术。术中先对腓骨远端骨折行切开复位钢板内固定,然后于轻度牵引状态下反折胫骨骨折端后并维持,采用MⅠPPO技术插入胫骨远端内侧锁定板,术中透视骨折及钢板位置合适,分别给予螺钉固定。术中未使用止血带,出血也不多,保护了骨折端血运,利于骨折的愈合。

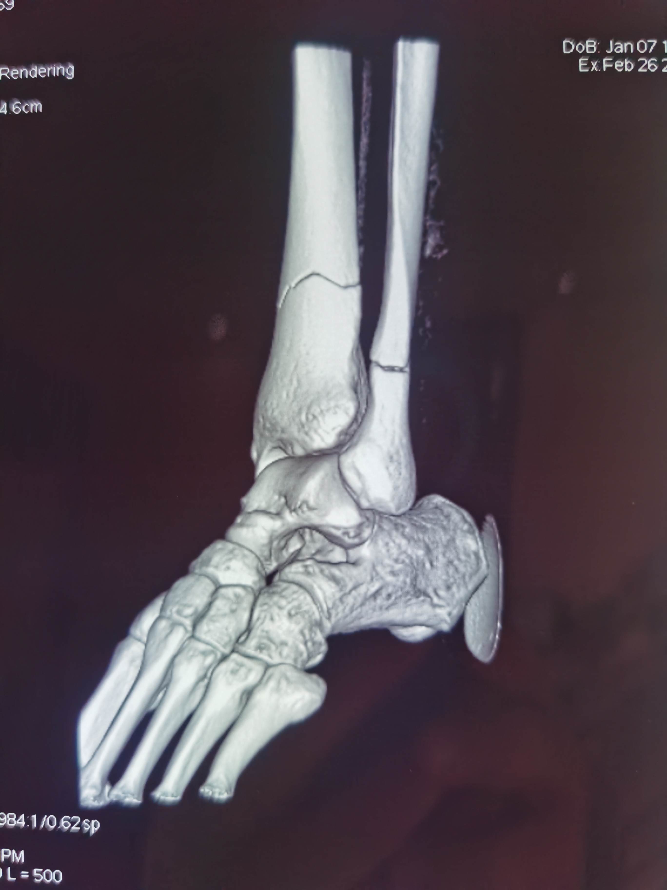
术前影像

术前

术中透视

术中透视

术中透视

术中切口

术后DR

术后DR
MⅠPPO技术治疗胫骨骨折是创伤骨科较早的微创技术,避免了切开复位内固定所致的创伤,保护骨折端的血运,更利于骨折的康复愈合,值得推荐的基本操作!
















































