右肺结节猜病理,有结果(得细心,这个很有意思)(俱乐部3)
西门开心 +5 丁当患者性别:女
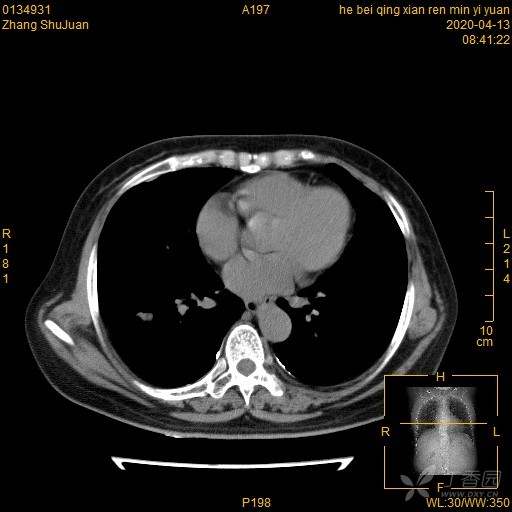
患者年龄:49
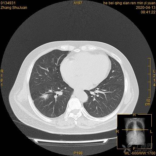
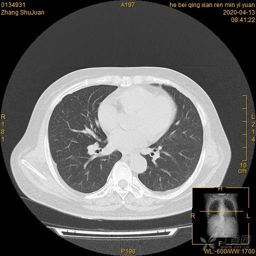
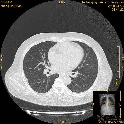
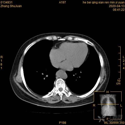
简要病史:体检发现右肺结节,不吸烟。
体格检查:无阳性体征
辅助检查:血常规、血沉正常,血肿瘤标志物正常。FET-CT倾向恶性结节
临床诊断:右肺结节
治疗经过:手术
大家猜猜病理是什么?

















西门开心 +5 丁当患者性别:女
患者年龄:49
简要病史:体检发现右肺结节,不吸烟。
体格检查:无阳性体征
辅助检查:血常规、血沉正常,血肿瘤标志物正常。FET-CT倾向恶性结节
临床诊断:右肺结节
治疗经过:手术
大家猜猜病理是什么?

















