57岁男子干咳气短1月,病理已经做,诊断?
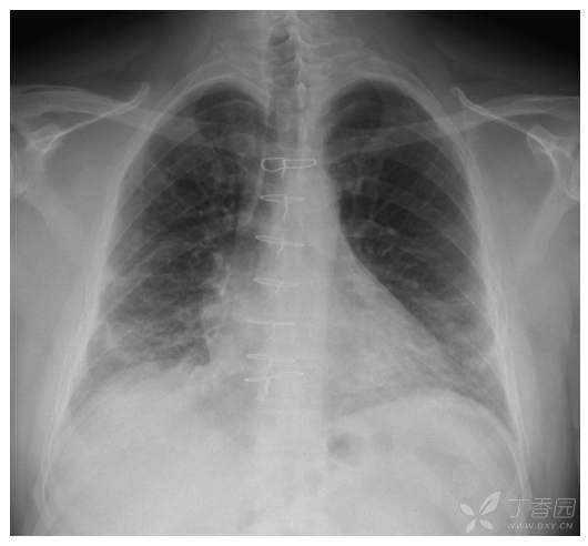
男性 57 岁因干咳和气短一月就诊 。
患者2 个月前经历了一次干咳和气短。临床诊断他患有上呼吸道疾病 感染,仅保守治疗7天后症状消失。一个月后,干咳和气短又发,接受了为期5天的治疗口服阿奇霉素疗程后症状没有任何改善。
患者否认发热、寒战、盗汗、胸痛、关节痛、肌痛或咯血。
有高血压、控制不佳的 2 型糖尿病病史 以及冠状动脉搭桥术。
药物史:阿司匹林、美托洛尔、 二甲双胍和格列吡嗪。
否认有任何烟草、电子烟或消遣性药物使用史。
患者长期在一家百货公司担任收银员。


主要实验室检查:

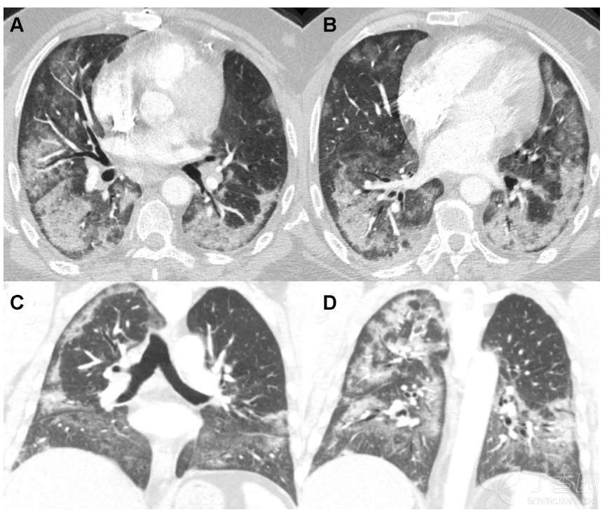
简单来说:血常规正常,CRP 195,相当高,BNP正常,免疫相关指标正常,HIV、呼吸道病毒组套阴性,BAFL培养与涂片阴性。
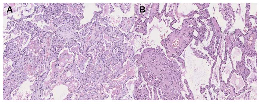
因怀疑间质性肺疾病,予电视胸腔镜下肺活检,病理如下:

What is the diagnosis?
请诊断!















































