我参加的“MDT”讨论病例,临床、影像、病理综合分析,收获满满---(结果已公布)
患者性别:女
患者年龄:51岁
主诉:间断喘气2年
现病史:患者2年前无明显诱因出现喘气,于当地医科大学附属第二医院行胸部CT示双肺结核病灶或矽肺可能,右侧胸腔少量积液。支气管镜刷片无阳性发现,给与头孢类抗感染后喘气好转。2月前再次感喘气,无发热,无咳嗽,无咳痰,无咯血,无胸痛等不适。
既往史:“子宫肌瘤”行子宫切除术,自诉当时发现肺内病灶,未诊治。否认肺结核、糖尿病、乙肝、高血压等病史。服装厂工作30年。
体格检查:体温:36.5℃,脉搏:78次/分,呼吸:20次/分,血压:126/74mmHg,神清,全身皮肤及巩膜未见黄染及出血点,浅表淋巴结未触及肿大,右下肺呼吸音消失,叩诊浊音,未闻及明显干湿性罗音。
肺功能:中度阻塞性通气功能障碍---FEV1 61.3%;FEV1/FVC 57.22
实验室检查:血常规:正常;生化:正常;PCT、ESR正常;T-SPOT(-);肿瘤6项 阴性;FT3,FT4,TSH正常;HBsAg(+),HCV-Ab(-),HIV(-),梅毒(-),MPCP(-);痰普培(-),真菌涂片(-),真菌培养(-);痰找抗酸杆菌(-)3次 痰TB-DNA (-)痰Xpert(-)
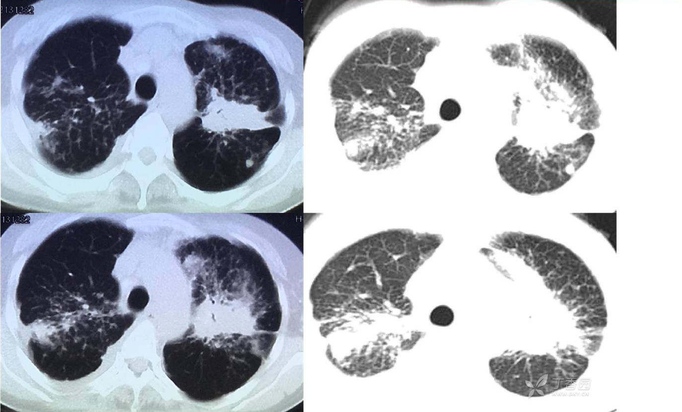
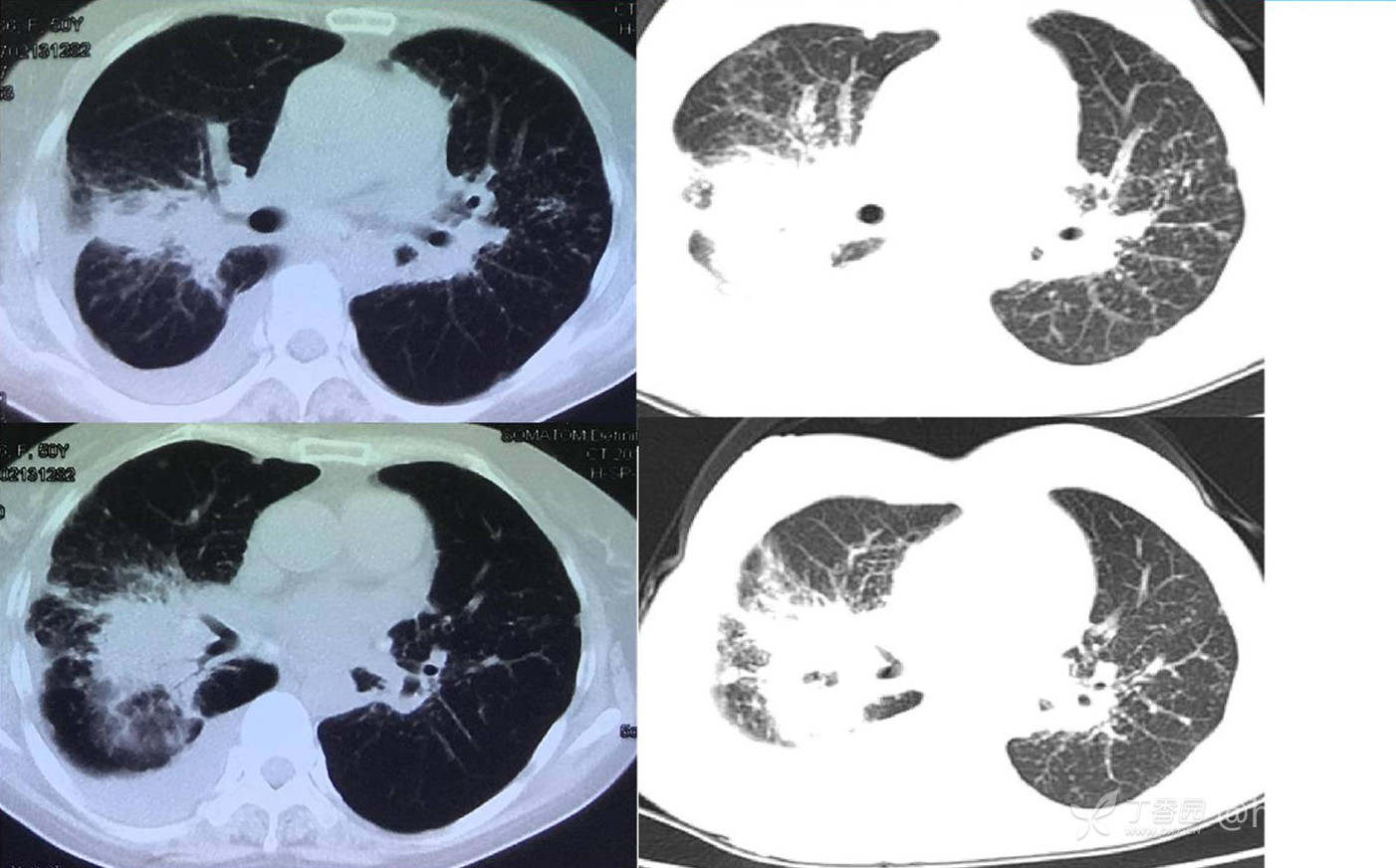
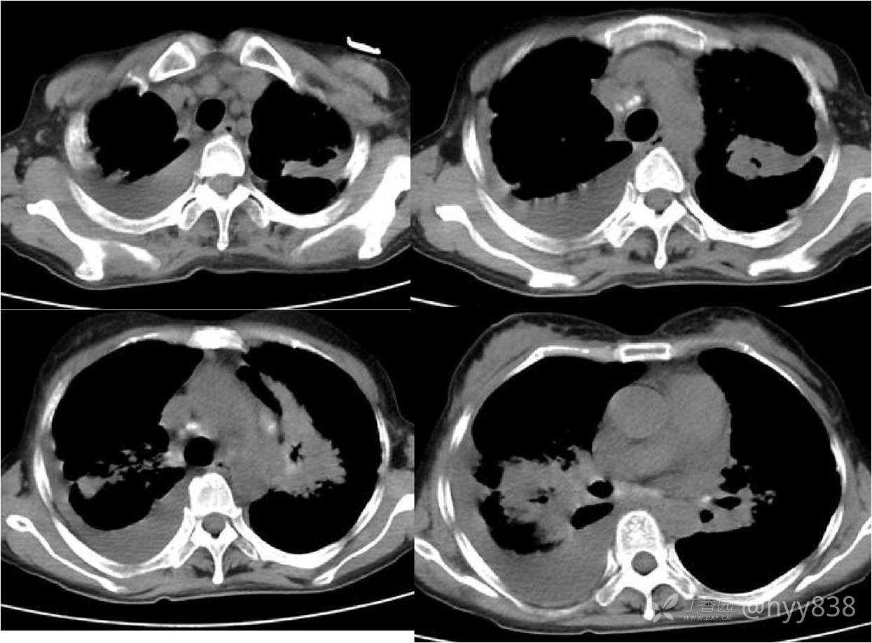
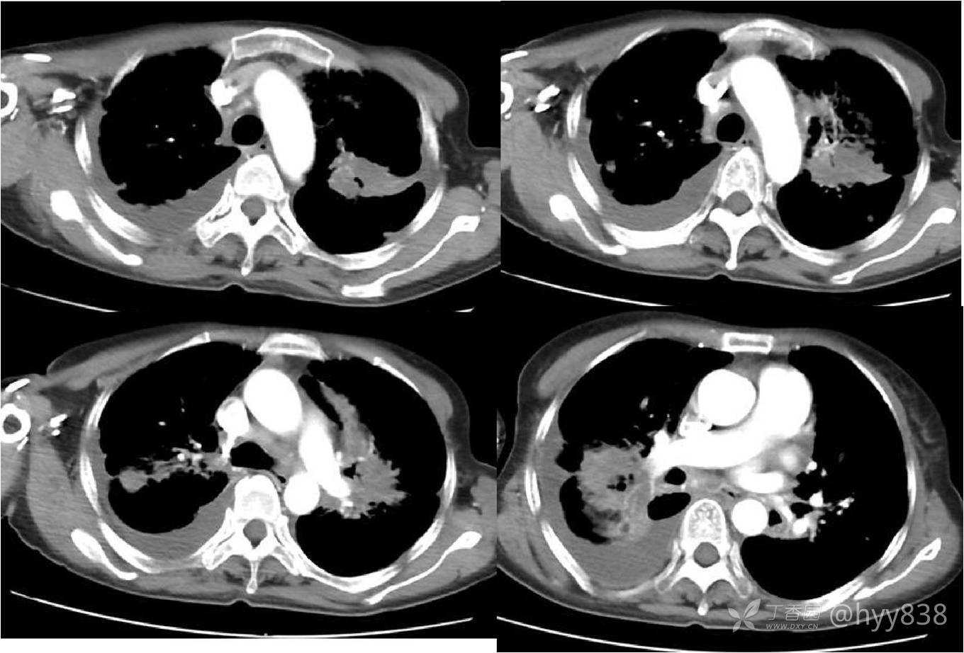
辅助检查:CT
临床诊断:双肺弥漫性病变
治疗经过:---
讨论: 病变性质?
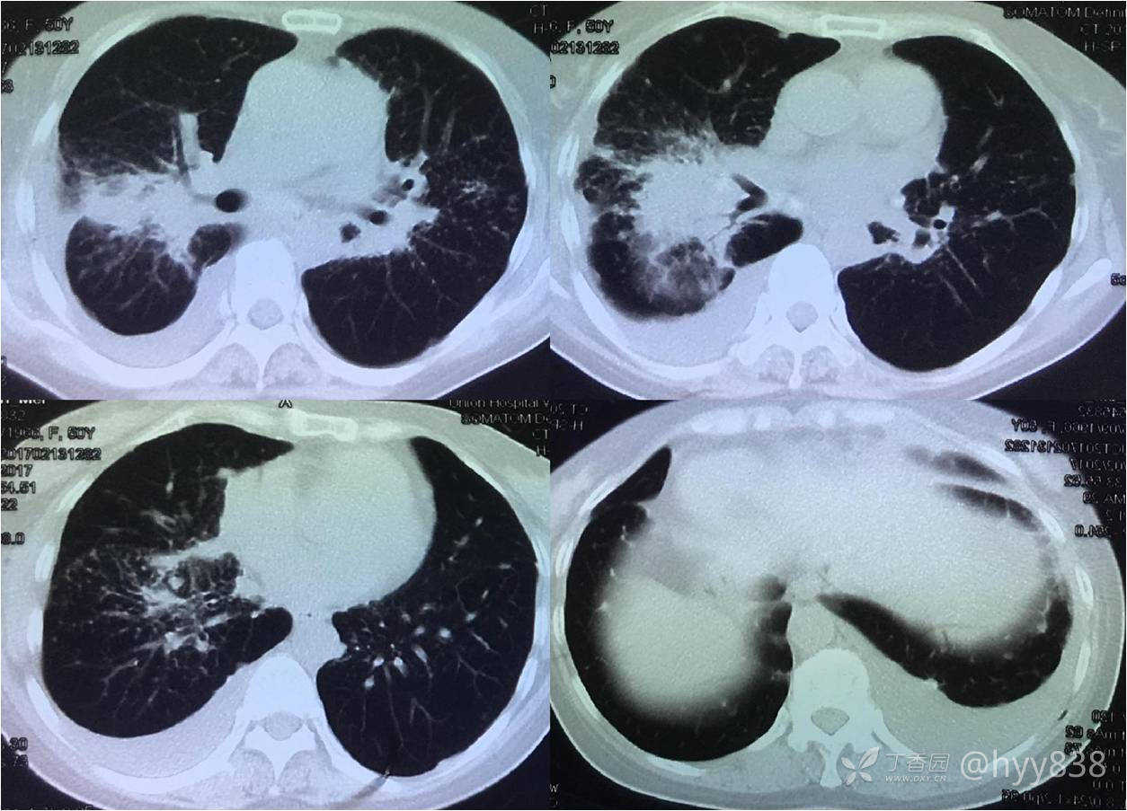
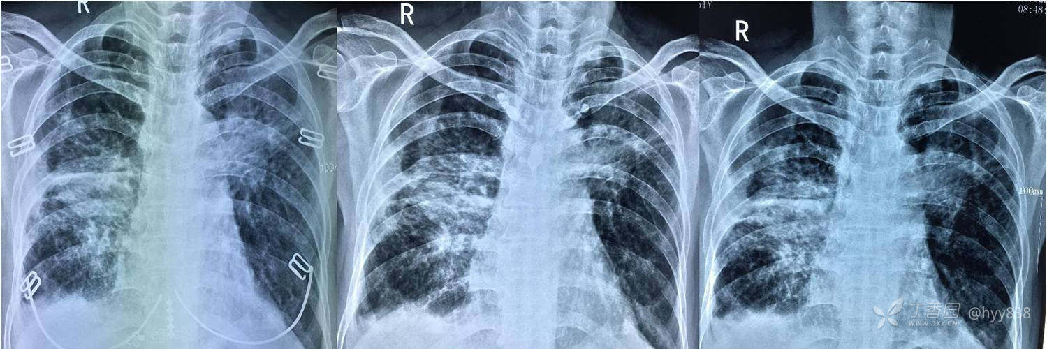
第一次胸部CT




内科胸腔镜
胸腔内可见壁层胸膜广泛充血,表面较多白色膜样物质附着,胸腔内少许淡黄色积液,于壁层胸膜充血处活检6次。
胸膜活检组织病理

支气管镜支气管粘膜活检

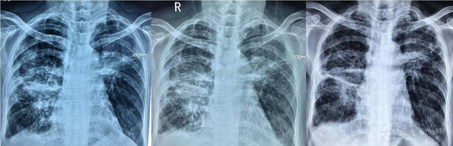
上半年抗痨治疗连续三个月复查

中间停药,下半年继续抗痨治疗

次年行CT复查,病灶进展



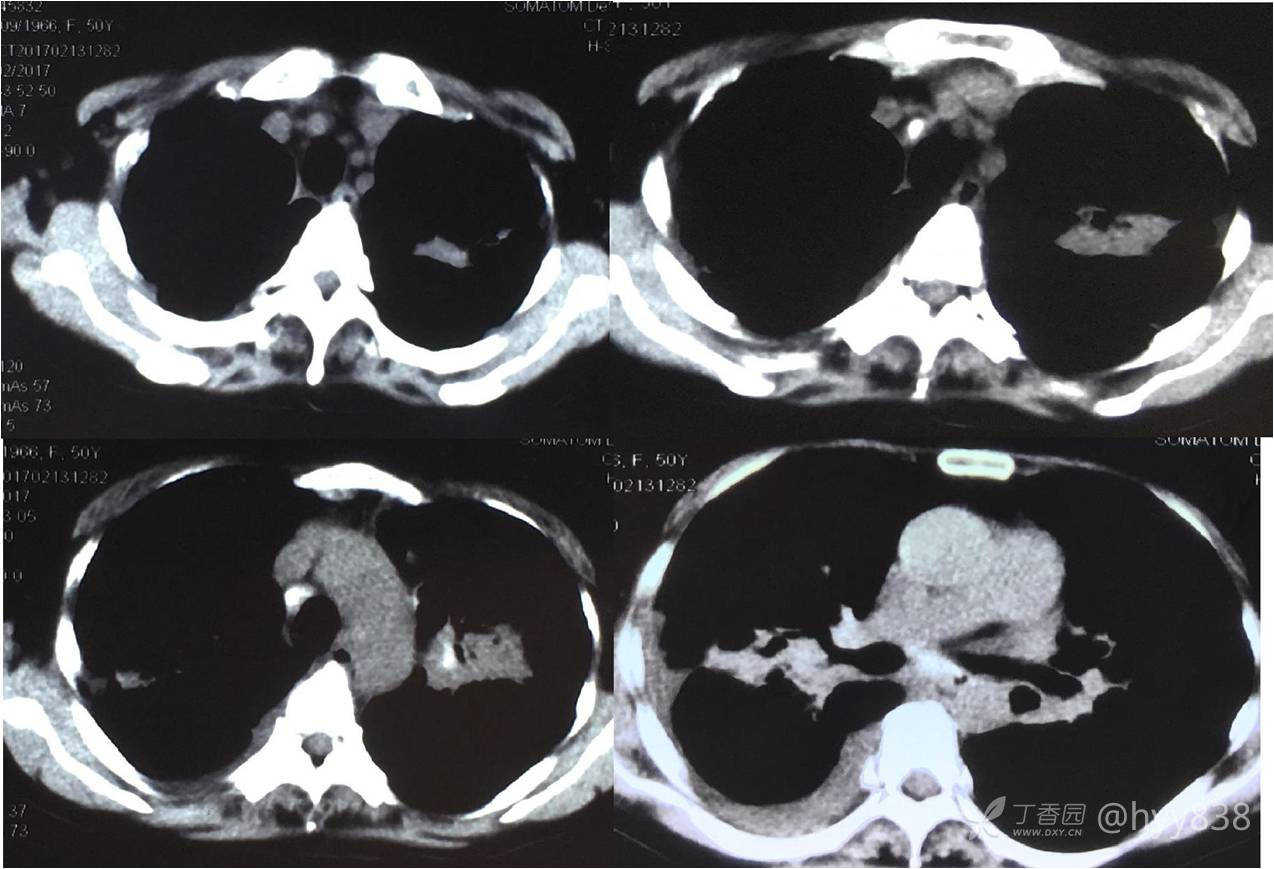
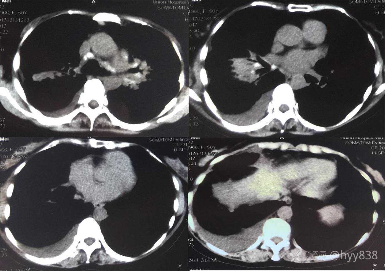
增强
















































