妖媚之美----走进显微镜下肺部真菌世界
华夏览雄 达人已点赞肺部真菌感染在免疫缺陷人群非常常见。在无免疫缺陷人群也能见到。肺部真菌感染往往病情重,诊断困难,尤其是在基层医院诊断和治疗难度更大。本篇文字旨在和大家一起对肺部常见真菌感染的病原学、影像学加强了解。当然,真菌的世界缤纷多彩,此小文也只能算是抛砖引玉了。
真菌,是一种具真核的、产孢的、无叶绿体的真核生物。包含霉菌、酵母菌、块菌以及其他人类所熟知的菌菇类。目前已经发现了十二万多种真菌。
真菌独立于植物、动物和其他真核生物,自成一界;真菌的细胞有含甲壳素、纤维素、葡聚糖、甘露聚糖。
对真菌的起源没有确切的结论。真菌的有些特点和植物相似,然而在某些方面又和动物有相似之处。真菌不是植物也不是动物,是一个独立的生物类群——真菌界 ,但是与动、植物等其他生物拥有许多相似的特征 。
本文将对曲霉菌、毛霉菌、隐球菌、念珠菌几种真菌做一个简单复习和描述:
一、曲霉菌:占空气中真菌的12%左右,主要以枯死的植物、动物的排泻物及动物尸体为营养源,为寄生于土壤中的腐生菌。其形态特征是在分生孢子的头部有一个顶囊。已知的曲霉菌至少有170种以上, 以烟曲霉最为常见,约占肺部曲霉菌感染的90%。
下图:烟曲霉菌棉蓝染色



二、毛霉菌:又叫黑霉、长毛霉。毛霉在土壤、粪便、禾草及空气等环境存在。高温、高湿度及通风不良的条件下生长良好。肺部感染时致病力强,坏死 、咯血;多见于DM。


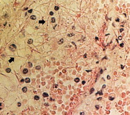
三、隐球菌:媒介一般为干的鸽子粪,鲜有人与人之间传播的报告。发生于免疫功能正常的隐球菌病可表现为自限性、亚急性或慢性经过,进行性播散性隐球菌病多发生在免疫抑制者中。隐球菌病往往症状逍遥,部分查体发现 。隐球菌荚膜试验有诊断价值。
下图:很经典的隐球菌墨汁染色

下图:1.隐球菌;2.巨噬细胞

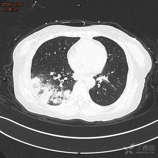
下图:典型的隐球菌肺炎影像表现:关键词:多发病变、病灶周围晕征、肺外周及下肺分布、融合趋势

四、念珠菌:又称假丝酵母菌;可侵犯皮肤、粘膜和内脏,表现为急性、亚急性或慢性炎症,大多为继发性感染。假丝酵母菌种类很多,但能对人致病的仅有几种以,即白色念珠菌最常见,致病力也最强,其次为热带假丝酵母菌。

(以上图片来自网络)
















































