从甲流发病到“白肺”,经历多久?
离床医学离床医学 推荐病例信息
患者,女, 52 岁,因严重、突发性呼吸困难、胸部不适和严重的咽喉痛(描述为烧灼感)伴吞咽痛至急诊科就诊。就诊前一天出现流涕、咳痰、咽喉痛,症状轻,无发热。
既往有血脂异常、偏头痛和轻微外伤性颅内出血病史(两年前保守治疗,无后遗症)。
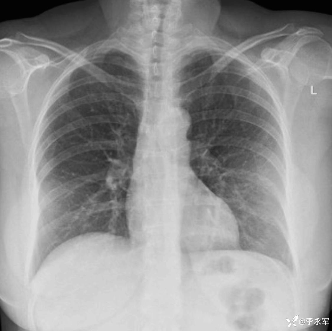
一天前曾因咽喉痛加重和症状持续而至急诊科。当时的胸部 X 光片(图 1)显示支气管纹理增粗,双下肺野周边模糊、边界不清的浸润影,无实变。炎症标志物轻度升高,WBC 8.20 x 10^9/L,CRP 33 mg/L,鼻咽拭子快速抗原检测甲型流感阳性。当时临床状况稳定,生命体征正常,遂予对症治疗和奥司他韦。
图 1:入院前一天的胸部 X 光片

在初次就诊一天后急诊时,患者呼吸急促、心动过速(心率 = 112 次/分,心电图示窦性心律),无法平卧,室内空气下血氧饱和度(SpO2)为 87%。血压为 150/83 mmHg,体温为 37.2°C。动脉血气分析(ABG)显示轻度呼吸性碱中毒(pH = 7.47,pCO2 = 51 mmHg)和低氧血症(PaO2 = 50 mmHg,室内空气下 SpO2 = 88%)。血氧饱和度持续下降,需要升级氧疗。在一小时内,通过 60 升/分钟的高流量鼻导管氧疗,血氧饱和度稳定在 95%。患者经历了一次短暂的低血压,对液体复苏有反应,并出现低度发热(38°C)。
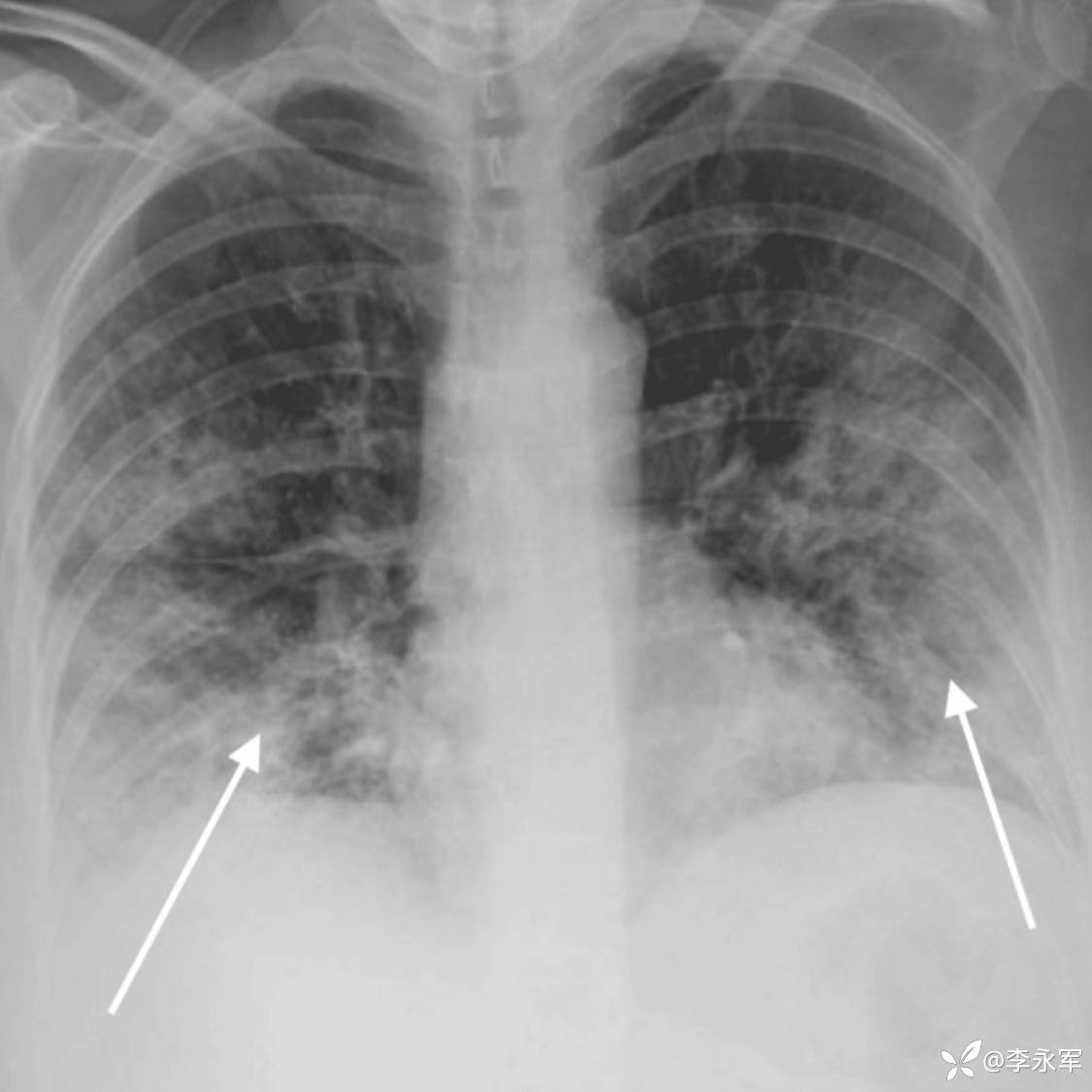
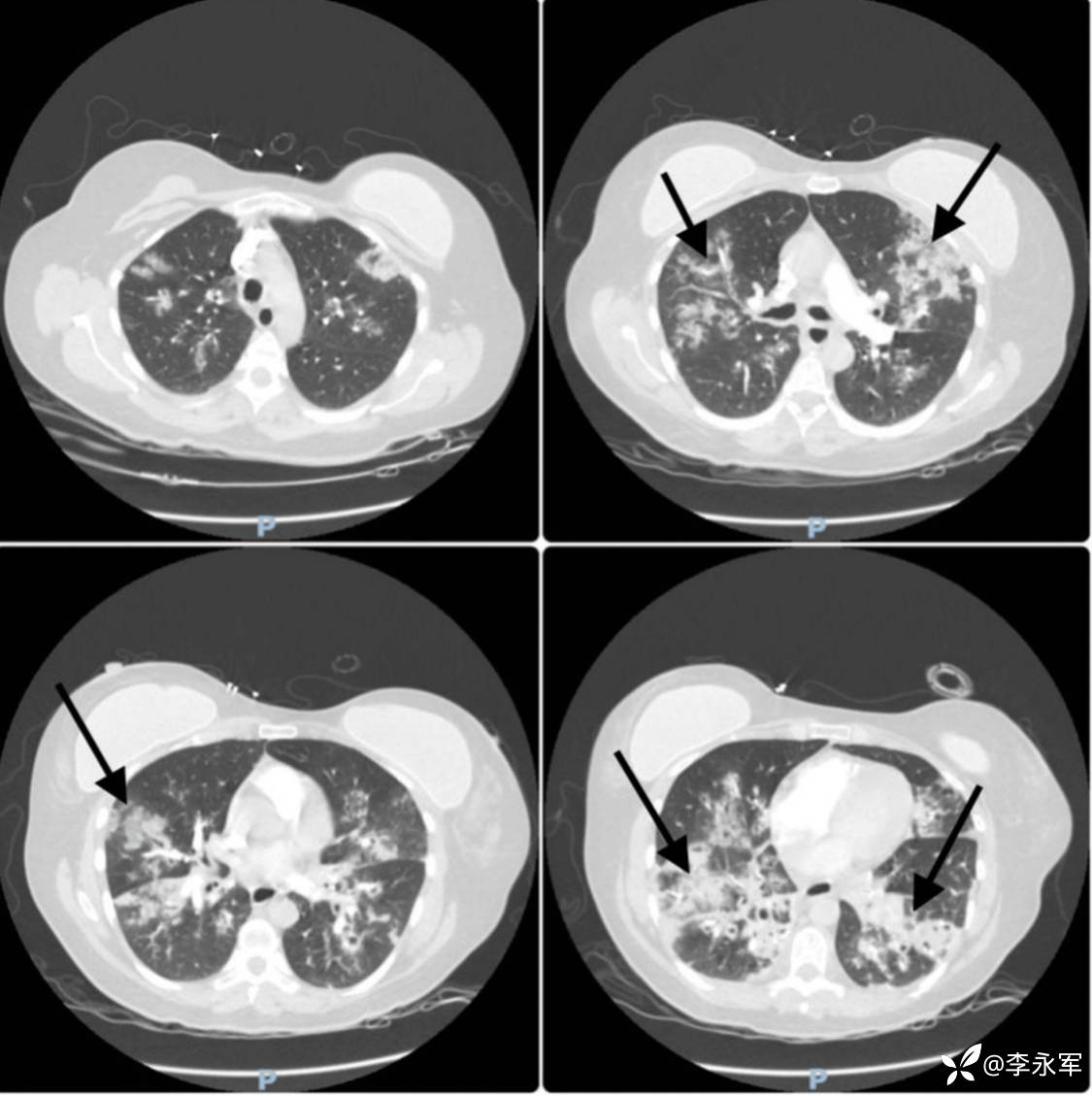
高流量鼻导管氧疗下的复查动脉血气显示呼吸性碱中毒缓解,氧合改善(PaO2 = 73 mmHg,SpO2 = 95%)。听诊显示双侧呼吸音清晰,伴弥漫性干啰音。复查胸部 X 光片和 CT 扫描显示双侧斑片状浸润影,符合 ARDS 表现,并怀疑叠加细菌感染。实验室结果显示 CRP 显著升高至 283.9 mg/L,白细胞计数下降至 3.33 x 10^9/L。考虑到她的 PaO2/FiO2 比值为 73(在使用 100% FIO2 和 60 升/分钟流速下),符合更新版全球定义中 ARDS 的诊断标准。

图 2:入院时胸部 X 光片

图 3:入院时胸部 CT
请传染病科会诊,并开始使用广谱抗生素(头孢曲松、左氧氟沙星和替考拉宁)。继续使用奥司他韦。患者被收治入 ICU 进行监测和治疗。在接下来的 24 小时内,病情恶化,胸部 X 光片显示加重(图 4),需要插管和机械通气。

图 4:入院 24 小时后胸部 X 光片
入院时的痰培养显示叠加了耐甲氧西林金黄色葡萄球菌(MRSA)感染;其他培养结果仍为阴性。初次就诊一个月后,患者意识清醒,定向力正常,带有气管切开插管,仍在高压力和高 FIO₂ 条件下进行压力支持通气(PSV)。
甲流,从发病到“白肺”用多少时间?
病例讨论
本病例凸显了一名既往健康的 52 岁女性因甲型流感继发 ARDS 的快速进展,这是在特定流感(尤其是H1N1)爆发期间不常见但有记录的结局。
流感病毒通常从呼吸道感染上呼吸道直至肺泡的上皮细胞 。虽然大多数感染局限于上呼吸道,但流感可引起严重并发症,包括病毒性肺炎和 ARDS,尤其是在高危人群中 。危险因素包括年龄极端(<5 岁或>65 岁)、吸烟、免疫抑制和慢性心肺疾病 。然而,本病例强调,即使没有这些危险因素的患者也可能发展为严重疾病。
ARDS 源于广泛的肺部炎症,其特征是细胞凋亡、坏死和肺泡毛细血管通透性增加,导致肺泡水肿和气体交换受损。常见的诱因包括肺部感染和肺外损伤,如败血症、创伤、大量输血、胰腺炎、药物过量和吸入有毒烟雾 。
在流感相关的 ARDS 中,高病毒载量和过度的免疫反应导致肺损伤和肺泡重塑。本病例符合新的全球ARDS 定义,该定义包括接受 ≥50 升/分钟 HFNC 且 PaO₂/FIO₂ 比值 <300 的患者。
继发性细菌性肺炎是流感的另一个常见并发症,尤其是由肺炎链球菌或金黄色葡萄球菌(包括 MRSA)引起 。与 COVID-19 不同,继发性细菌感染在流感住院患者中更为常见。在我们的患者中,痰培养鉴定出MRSA,这可能加剧了 ARDS 的进展。
尽管早期开始使用奥司他韦和经验性广谱抗生素,患者的病情仍然恶化,需要机械通气。早期抗病毒治疗与缩短机械通气时间和 ICU 住院时间相关 。尽管如此,本病例说明了流感如何即使在及时干预的情况下也能迅速进展。
过去二十年来,ARDS 的死亡率有所下降,目前在 9% - 20% 之间,但在老年人中仍然较高 。与 COVID-19 相关的 ARDS 相比,甲型流感患者表现出更严重的低氧血症,但死亡率相似 。死亡通常由感染性休克或多器官功能衰竭引起。幸存者常常经历长期后遗症,包括呼吸困难、运动耐量下降和认知障碍 。
甲型流感病毒引起的疾病范围广泛,从轻微的呼吸道症状到危及生命的 ARDS。临床医生应教育高危人群了解流感症状以及早期检测和治疗的重要性。季节性流感疫苗接种仍然是一项关键的预防措施。本病例也提醒我们,严重的并发症如 ARDS 可能在既往健康的个体中发生,强调了保持高度临床警惕的必要性。















































