dxy logo
首页丁香园病例库全部版块
搜索
登录

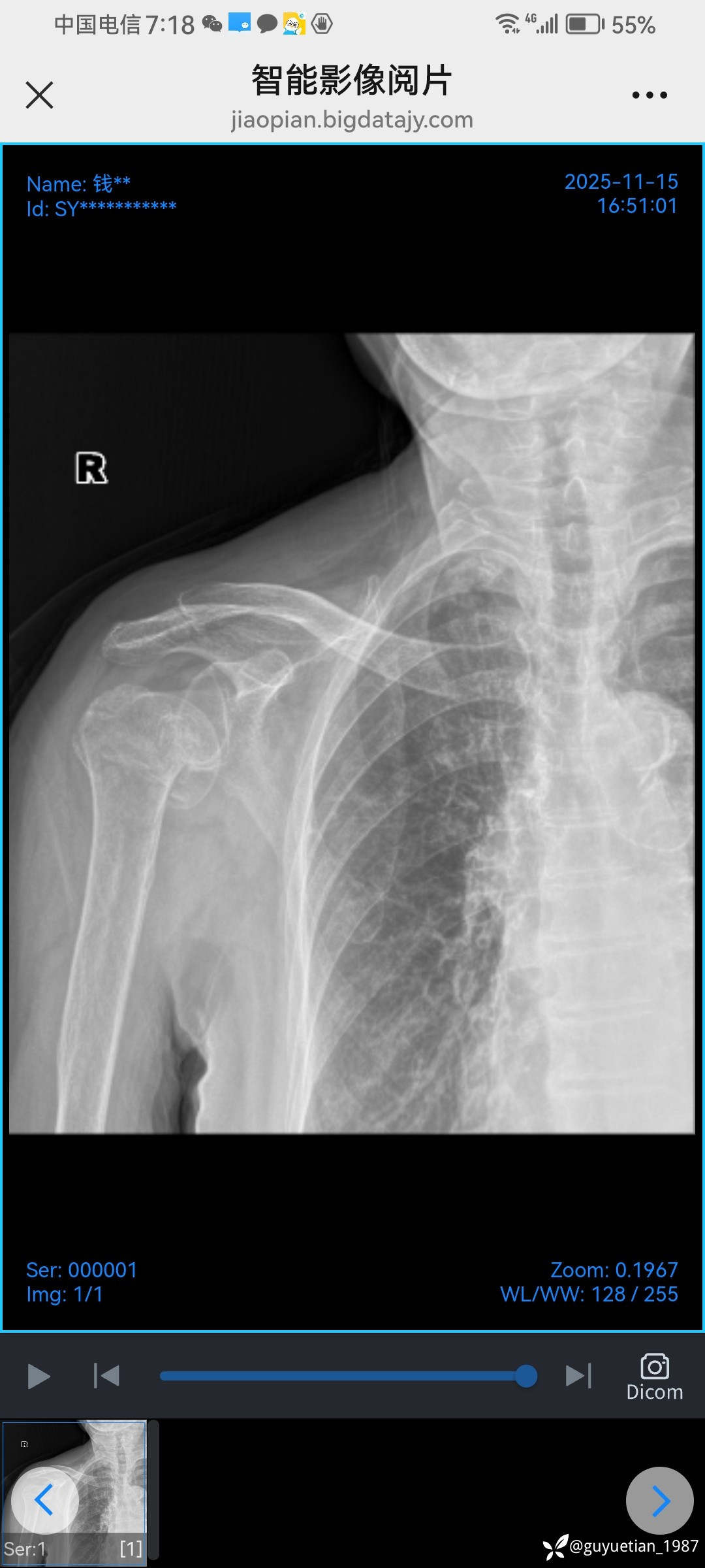
病例85岁的肱骨近端骨折,手术?保守?

医师 · 发布于 5 天前 · 来自 Android · IP 江苏江苏
1130 浏览

病例信息


img

内收型,向前成角


img


img


img

家属沟通后倾向于保守,那就尽力而为

img


img

可以接受,夹板固定,嘱耸肩、握拳锻炼。

病例讨论

手术做也没有问题,关键在于年龄,这个年龄这个骨量后期功能不见得多好。充分沟通前提下的保守不见得比手术差。

肱骨近端骨折 (185)
纠错
4 收藏3

全部讨论(0)

默认最新
avatar
4
分享帖子
share-weibo分享到微博
share-weibo分享到微信
认证
返回顶部