房颤患者老是发热,原因竟然是。。。
病例信息
【患者信息】:中老年女性
【主诉】:间断性心悸半年,加重3天
【现病史及既往史】:患者于半年前开始出现胸阵发性心慌胸闷症状,无明显胸痛、无颈咽部及肩背部放射痛,每次持续时间数小时后好转,未予在意,3天前患者感心悸不适,当地医院测心电图提示:心房颤动,今为求进一步诊治逐入我科行射频消融术,拟"心律失常 阵发性房颤"收入我科。患者病程中无头痛头昏、无发热,无咳嗽、咳痰,无咯血,无腹痛及腹泻,饮食睡眠尚可,大小便正常。
否认肝炎、结核、疟疾病史,否高血压、心脏病史,2型糖尿病病史半年,予以口服二甲双胍,未正规监测血糖。否认脑血管疾病、精神疾病史,否认手术史、外伤史、输血史,否认食物、药物过敏史,预防接种史不详。
【检查】:2025-05-03我院肝胆胰脾彩超+泌尿系:1.轻度脂肪肝2.脾稍厚。3.胆囊、胰腺、双侧输尿管及膀胱未见明显异常。2025-05-03糖化血红蛋白9.2%

2025-05-02我院胸部CT

2025-05-03入院急查血常规

2025-05-03入院尿常规
患者入院当天夜间有寒战高热、体温最高可达40摄氏度,予以头孢他啶2.0g bid静脉滴注,及赖氨匹林1.8g+生理盐水100ml静脉滴注 降温处理,并复查血常规如下图:

2025-05-04血常规
2025-05-04今晨查房患者偶有心悸、伴恶心呕吐,饮食睡眠欠佳。因患者已用抗生素,今晨复查血象比较高,抗生素已经用过了,也是对症处理了。对于患者恶心、呕吐(干呕)给予胃服安肌肉注射后症状也缓解了。但此时有个疑惑萦绕我的心头???为啥一夜之间患者血常规、炎性指标升高这么多,出现感染常规考虑三个开放性通道(呼吸道、消化道、泌尿道),但目前已回示的结果支持上述三大通道也不是太强,好在患者体温下去了、也没有恶心呕吐了,也许在用几天抗生素就会好了呢?我心里暗自思衬。。。。。。
2025-05-04今晨查房患者偶有心悸、伴恶心呕吐,此时患者诉上腹痛偏左侧,更甚,饮食睡眠欠佳。继续予以上述处理,止吐的也用了昂丹司琼,患者症状好转,复查血常规及尿常规。。。。。。
2025-05-06清晨查房时患者高热有40℃的时候,而且左侧季肋区和肾区疼痛,伴恶心干呕,(后面病人出院后,回忆过年的时候也出现过寒战高热,但当地医院输液后好转,未予在意)当时给病人家属讲抗生素、退烧、补液、止吐、降糖、抗凝、控制心室率这些都用了,目前确实没有什么更近一步的治疗措施了,病人女儿此时也面露不愠之色,说来到你们医院,越治越重了,到底咋回事,此时旁边病床病人也围了上来,当时我感到压力很大这么多双眼睛盯着你,不拿出来进一步诊疗措施,真的没办法服众了。
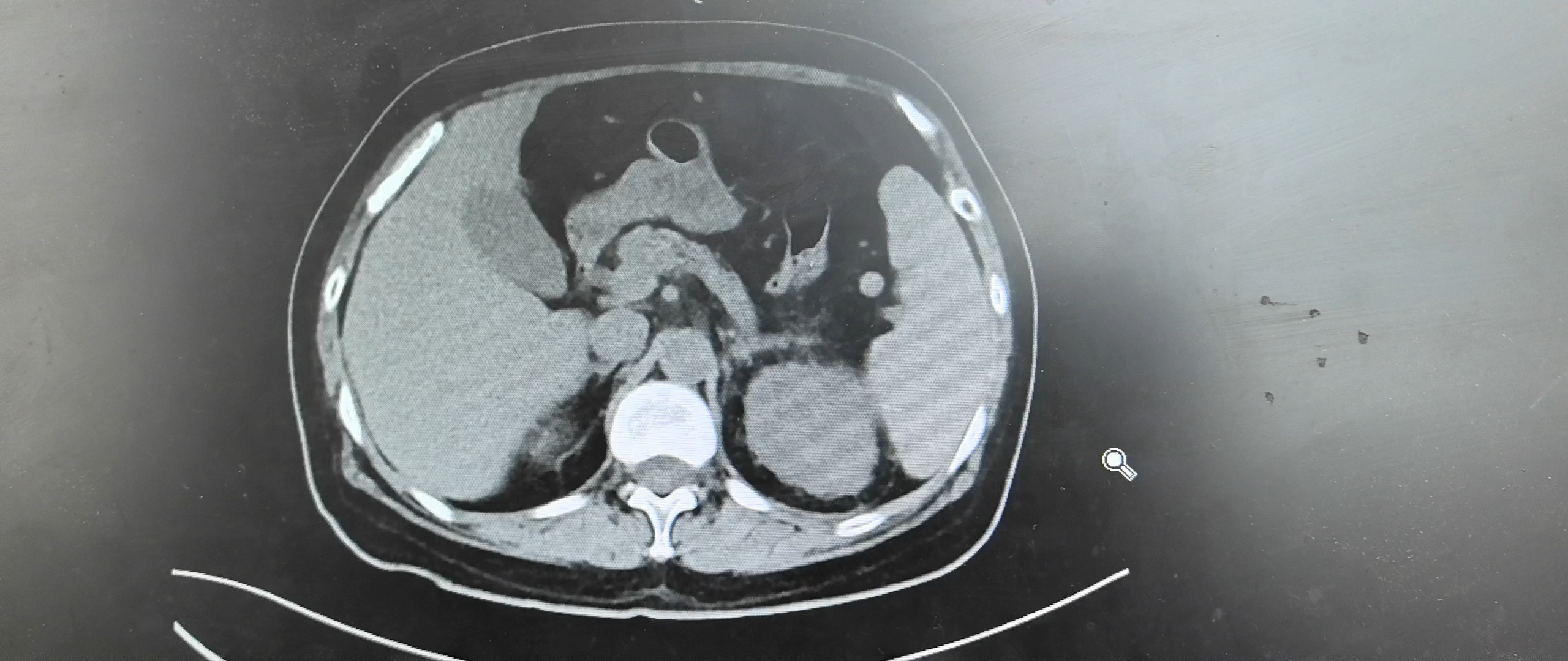
但是这件事也跟上级医师汇报过了,我想做个全腹CT看一看,但是一方面因为DRG付费原因,还有就是上级医师也说腹部彩超做过了,没有什么问题,你做啥做,到时候医保又让你反馈。此时我也很纠结,就跟病人家属说明了情况,目前感染源确实不明确,而且新发症状有腹痛,建议完善一个全腹CT看看,但是刚入院彩超没看出来东西,全腹CT也不一定能扫出来,与病人家属详细沟通后,同意完善全腹CT如下图:


【临床诊断】:
【治疗经过及结果】:

2025-05-06复查尿常规

2025-05-06复查血常规
患者血象越来越高,而且尿常规也明显异常,因为饮食欠佳,都出现酮症了,住院期间血糖监测一直还好没有超过13mmol/l,此时因为患者家属已同意行全腹CT检查,结果此时也已经出来了。

2025-05-06我院全腹CT
后面请泌尿外科会诊考虑输尿管扩张,建议予以外科干预。手术记录如下:

病例讨论
大家考虑什么诊断,病因有什么引起,如何治疗,大家如何让分析?
















































