dxy logo
首页丁香园病例库全部版块
搜索
登录

病例盆腔占位,各位老师考虑什么

放射科医师 · 发布于 5 天前 · 来自 Android · IP 河南河南
332 浏览

病例信息

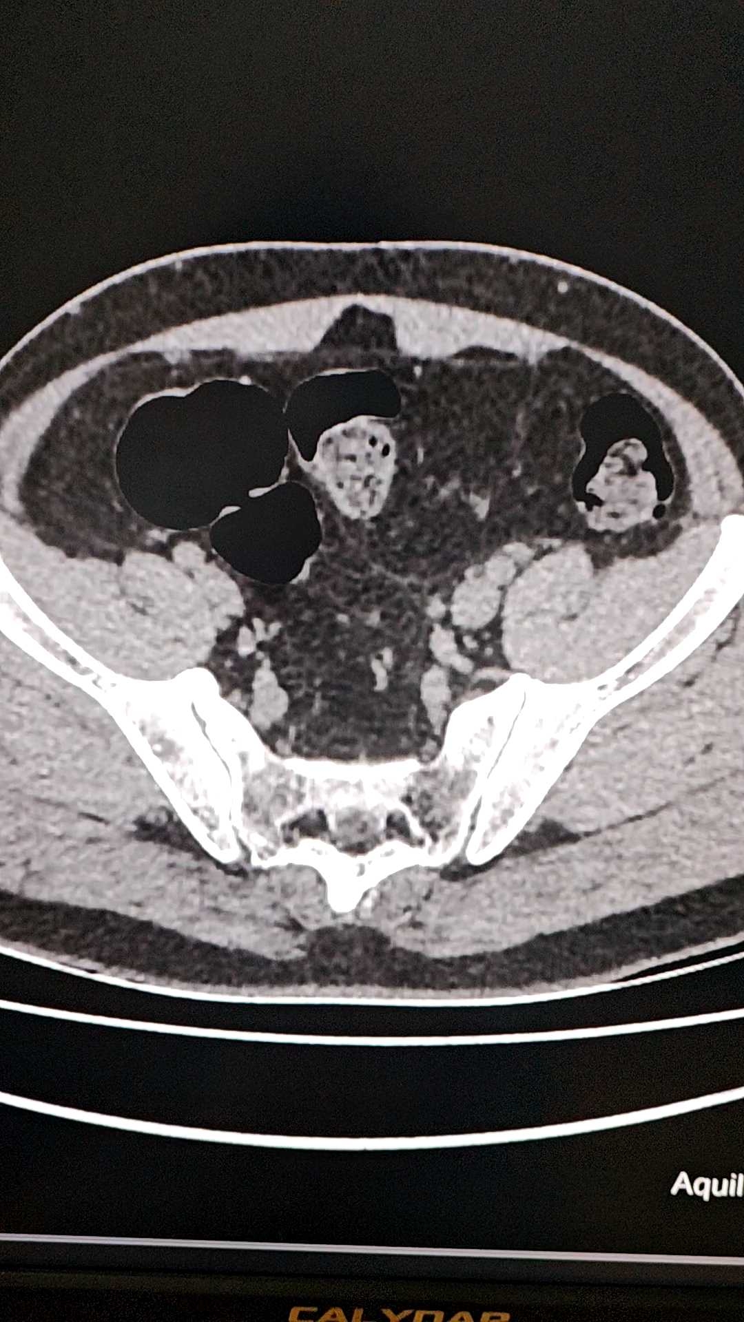
男,70岁,体检发现盆腔包块,无临床症状。ct值约45Hu,增强后轻微强化。

img


img


img


previewplay video



病例讨论

各位老师看看像什么

该帖还没有疾病标签去添加
5 1 2

全部讨论(0)

默认最新
avatar
5
分享帖子
share-weibo分享到微博
share-weibo分享到微信
认证
返回顶部