一个令人悲伤的病例~
范特西_ 推荐病例信息
患者,男性,69岁,突发心前区不适

由当地医院转入我院重症,床旁做的超声。当时病人生命体征平稳,意识清晰,虽然闭着眼睛,但能说话,知道是在给他做超声,还说:以前有个小囊肿,现在还有没有。
心电图是多导联
病例讨论
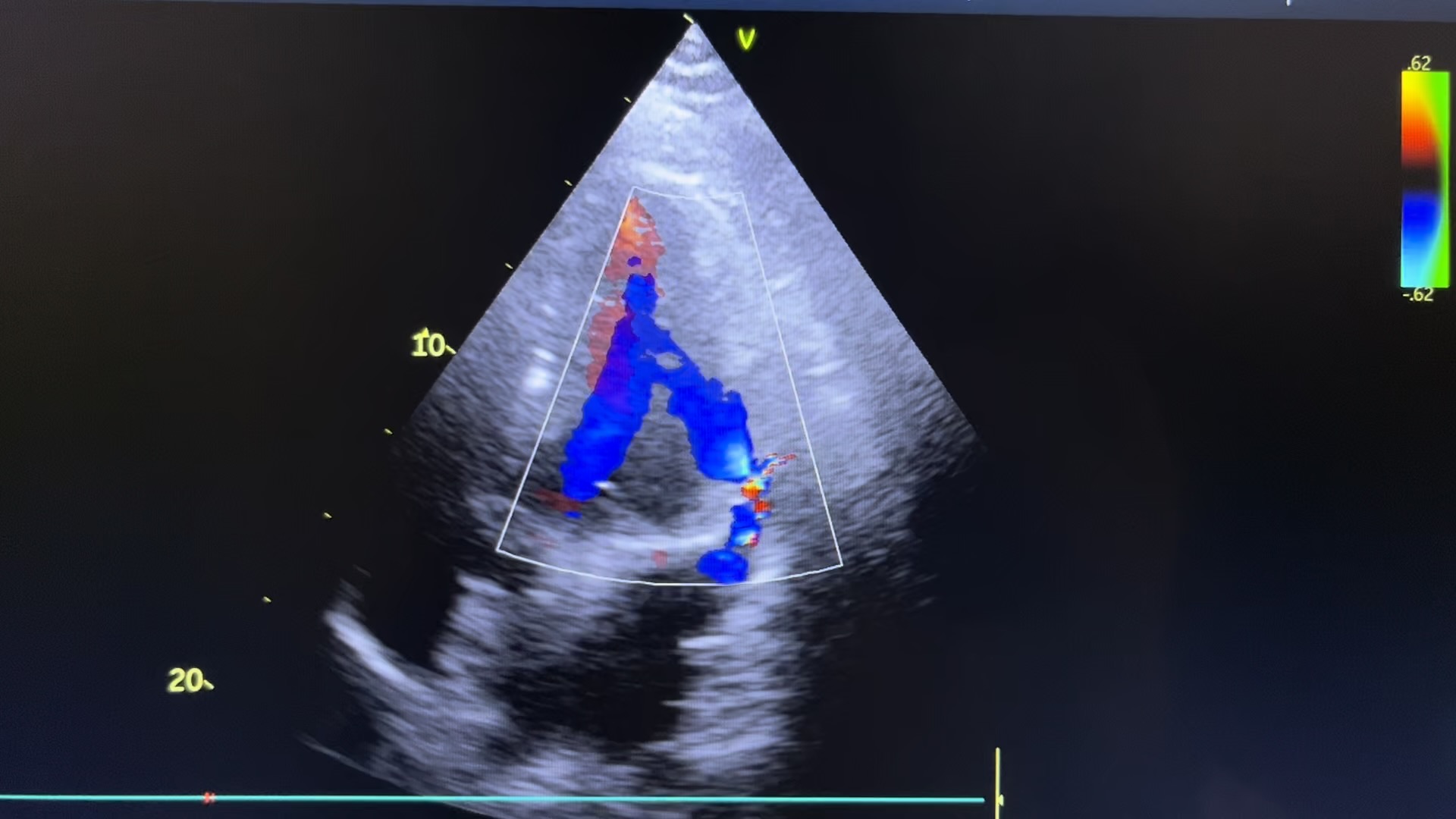
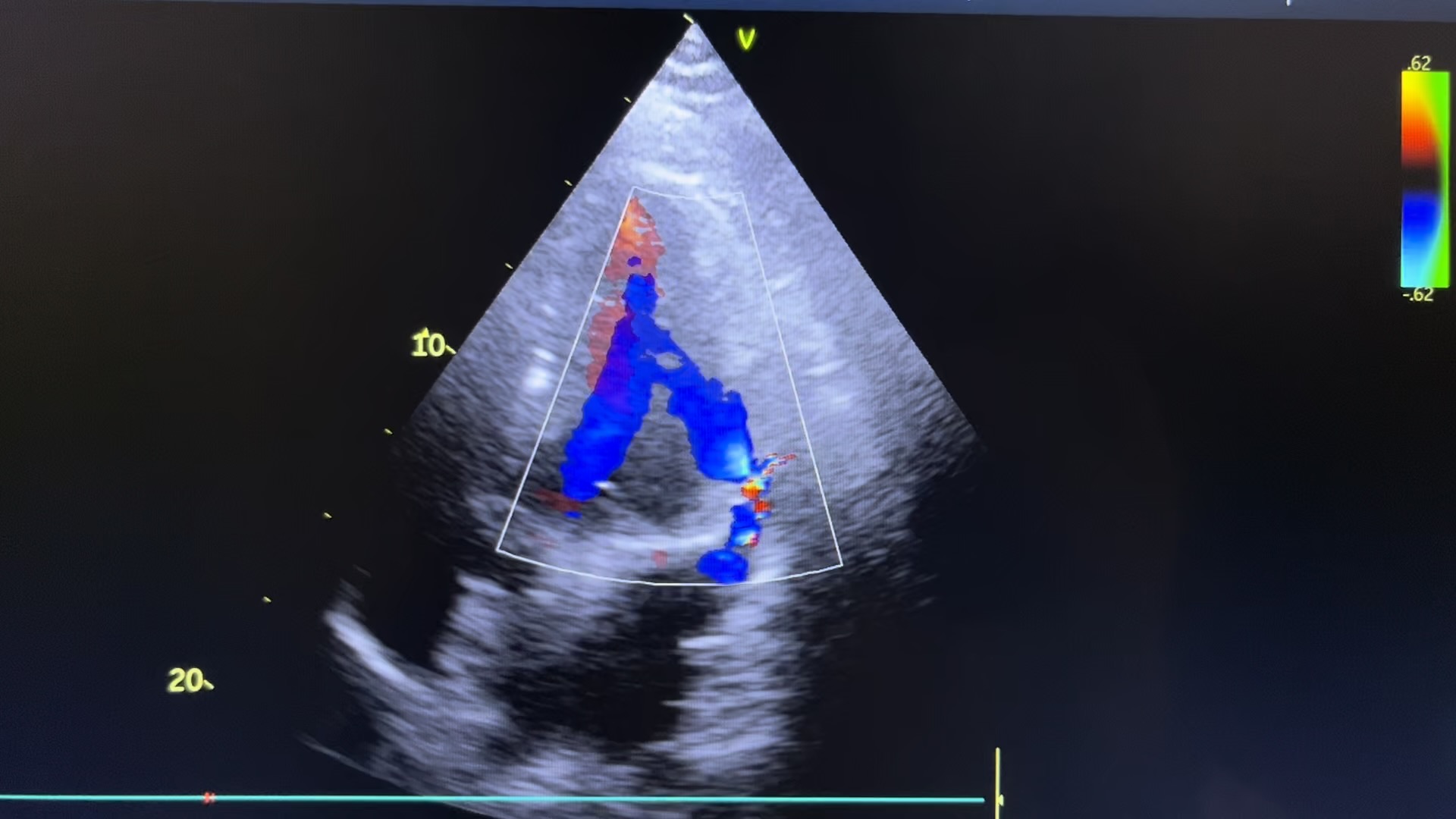
临床申请单上面无任何信息,看了床头牌才知道急性心梗入院,看左室长轴(可惜没拍图)心尖四腔心时都发现左房后外侧有一个囊性回声66✖️40mm左右,左房受压变得很小,一上彩,好家伙~穿孔了!询问值班医生,说心梗是广泛前壁,不符合啊,那多切面看吧,怎么看都是侧壁下后壁动的不行,侧壁基底段穿孔。

心尖四腔看到左室侧壁基底段异常血流

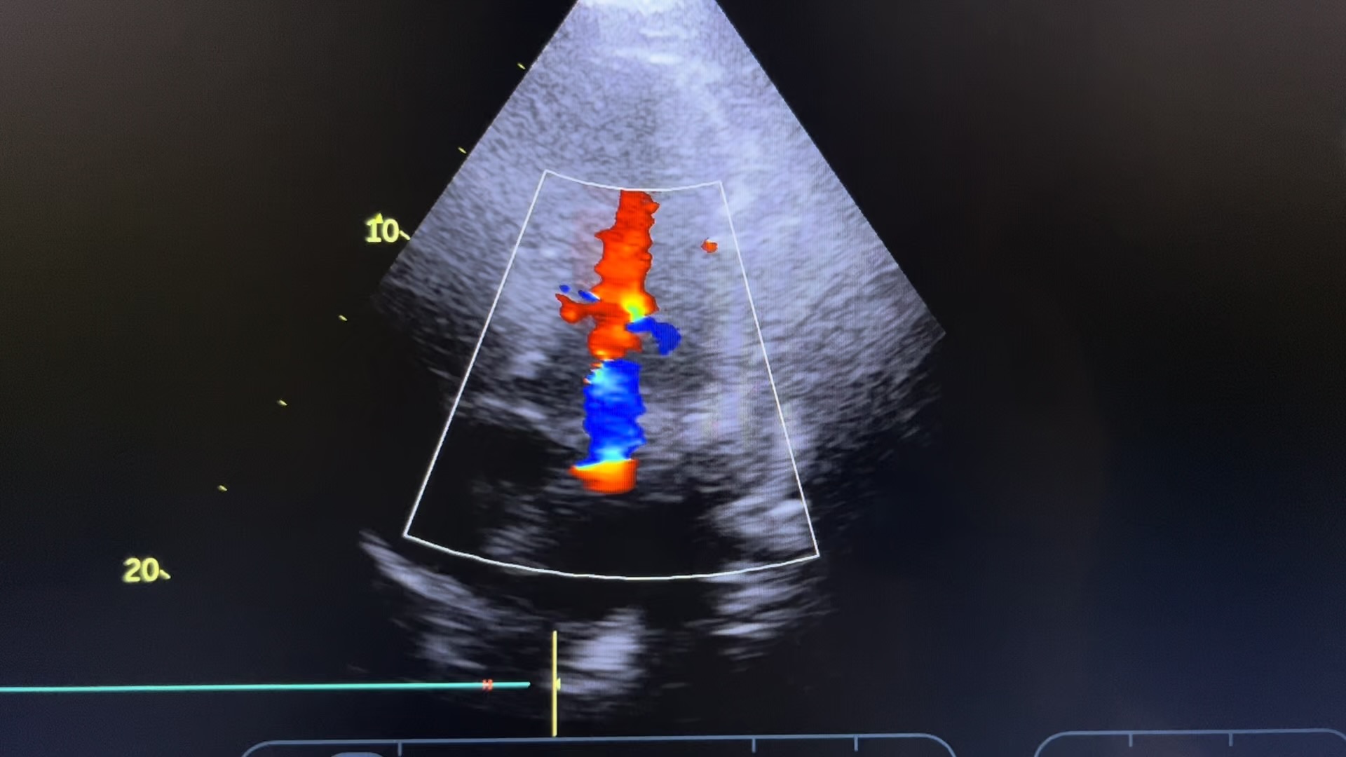
心尖四腔看到左室侧壁基底段穿孔处异常血流

虽然不清楚,但这就是短轴,


往返频谱


红蓝交替




很容易会把这个大血肿看成左房,前缘遮挡二尖瓣处,给人一种二尖瓣有问题的假象


















































