会阴刺入木棍嵌顿 我是医生怎么办 2
病例信息
【患者信息】:续接上一篇。木棍从会阴刺入伤,草率拔棍后2天。把这个病例放在丁香园里面,引起了数100位同行老师的激烈讨论。今天向大家汇报一下治疗的结果。
【主诉】:木棍从会阴(肛门后面3cm)刺入14cm伤,草率拔棍后2天。
【现病史及既往史】:上一篇已经叙述。主要特点是,正值云南种水田的季节,就有伴随相应劳动损伤求医。一个61岁的男性老者,在土地里趴食生活的人。激起了小编的同情心,知道农民的不容易。作为一个医生,能给就医者帮上忙,就是最大的,自我实现目标的需求。因此,在临床中乐此不疲,和就诊的群众,站在同一战壕战斗。
【检查】:
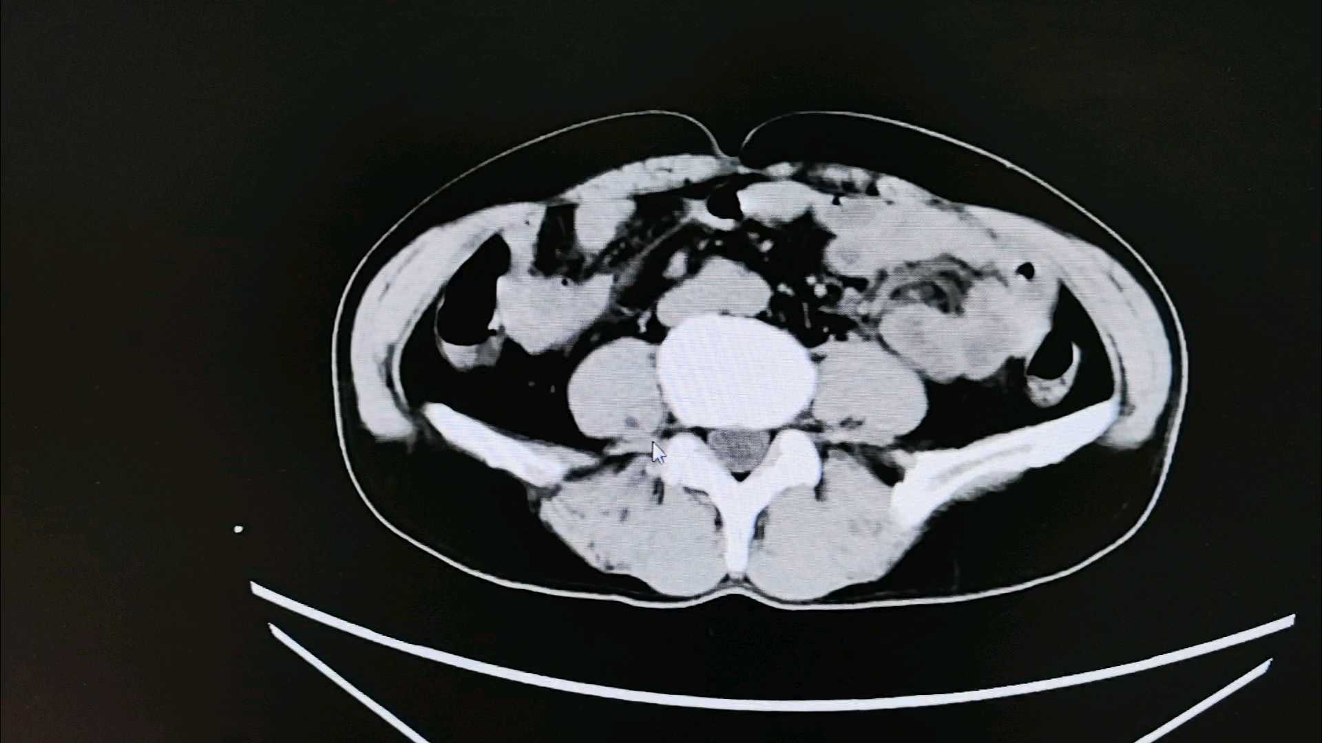
1、入院时急诊CT片(会阴木棍嵌顿,不能平卧,是个特殊的俯卧位拍片。)


临床读片:木棍从直肠侧后方刺入。拍片距离受伤时间有10小时。直肠周围清晰,伤口无活动性出血。
2、入院时急诊血常规:

3、入院后治疗:
伤口填塞纱布少量出血,有活动性出血,继续填塞引流。
第2天,经伤口插入胃管,冲洗和引流。
给注射破伤风抗毒素。
抗生素治疗。
适当补液。

4、第2天查房情况:
无活动性出血。无发热。无腹痛。少量大便,淡血性。
给饮水。复查血常规和CT。继续抗生素。
5、复查血常规和CT情况:

已经经伤口留置胃管,后复查的CT片,可见引流管经过右侧精囊腺,考虑精囊腺损伤。但是没有大出血。准备请泌尿科会诊,指导是否需要后续治疗。


【临床诊断】:会阴木棍刺入伤,右侧精囊腺损伤。
【治疗经过及结果】:上面已经叙述。
总结与讨论
1、本例患者无直肠损伤。无盆腔大血管损伤。无尿道损伤。接诊医生在受伤后10小时,根据患者情况,伤口没有大出血。探查异物的时候,异物松动,能够轻松拔出,解除患者病痛,是有效的。
2、安全吗?最好在备血,术前多学科讨论,做好开腹,大血管修补,膀胱修补,结肠造瘘准备,再上手术就万全了。
3、最起码,也要上去手术清创啊!这是大多数同道,遵循医疗原则的处理底线。
4、结果是,目前冲洗液,异物(木屑),能够从伤口边缘和引流管流出。避免再次上麻醉和手术清创。应该是比较巧妙和完美的结局了。
5、急诊创伤,总是千奇百怪。讲不完的医学叙述故事@西地兰vip 。感谢西地兰老师的指导。
6、伤道分析。直肠后间隙刺入损伤,大些的血管可能有直肠上动脉,骶前静脉。这个病例完美的避开。各位讨论一下,右侧精囊腺损伤,术后需要特殊处理吗?
















































