小指近节指骨两处骨折
病例信息
【患者信息】:男性50岁
【主诉】:左手小指疼痛出血活动受限一小时入院。
【现病史及既往史】:被碎裂的角磨机碎片打伤左手。既往体健。
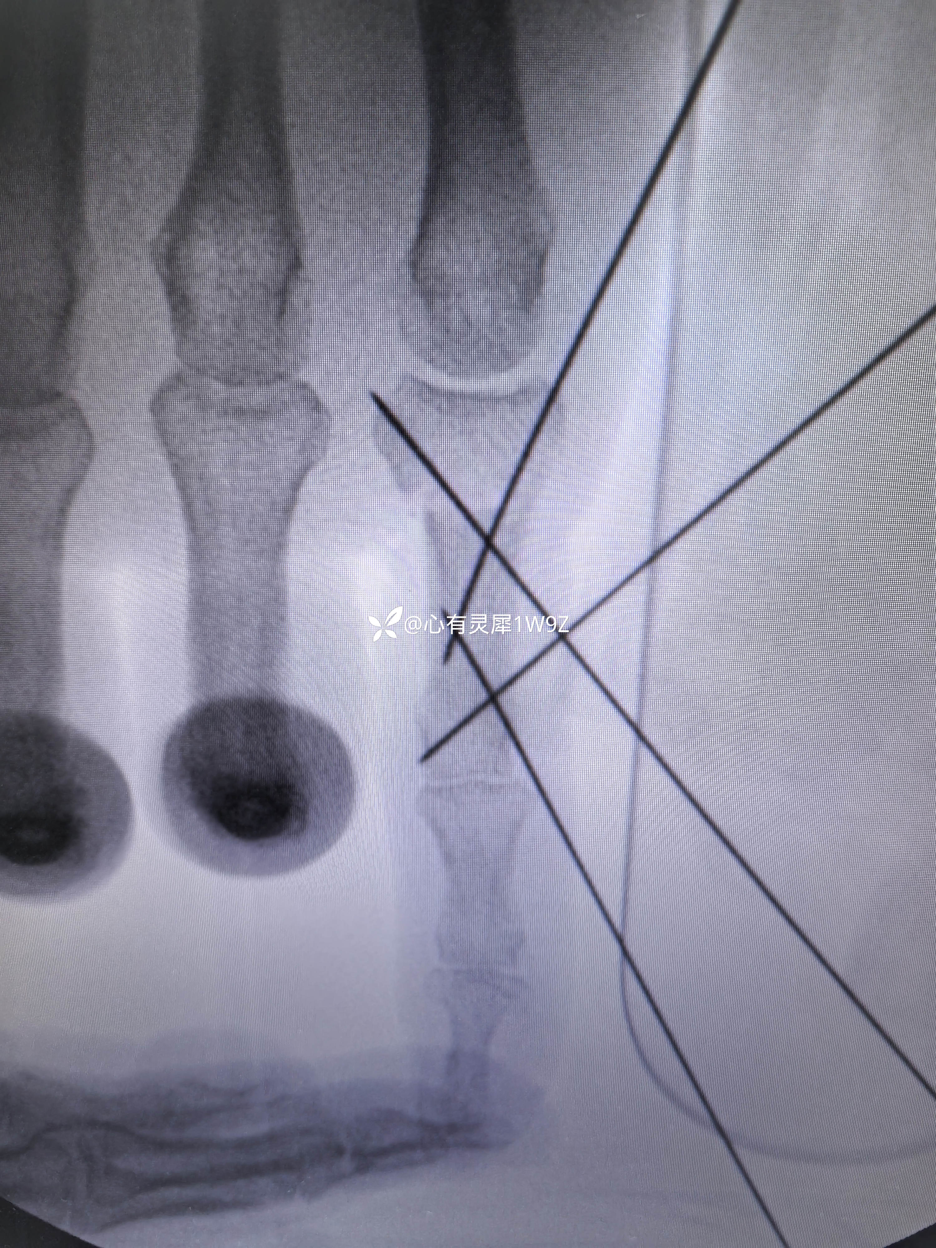
【检查】:



【临床诊断】:左手小指近节指骨骨折
【治疗经过及结果】:




总结与讨论
1.如何设计克氏针固定方案更合理2.术后需要石膏辅助固定吗?3多长时间开始小指屈伸锻炼?4多长时间拔针,一次拔针还是分两次拔针?
病例信息
【患者信息】:男性50岁
【主诉】:左手小指疼痛出血活动受限一小时入院。
【现病史及既往史】:被碎裂的角磨机碎片打伤左手。既往体健。
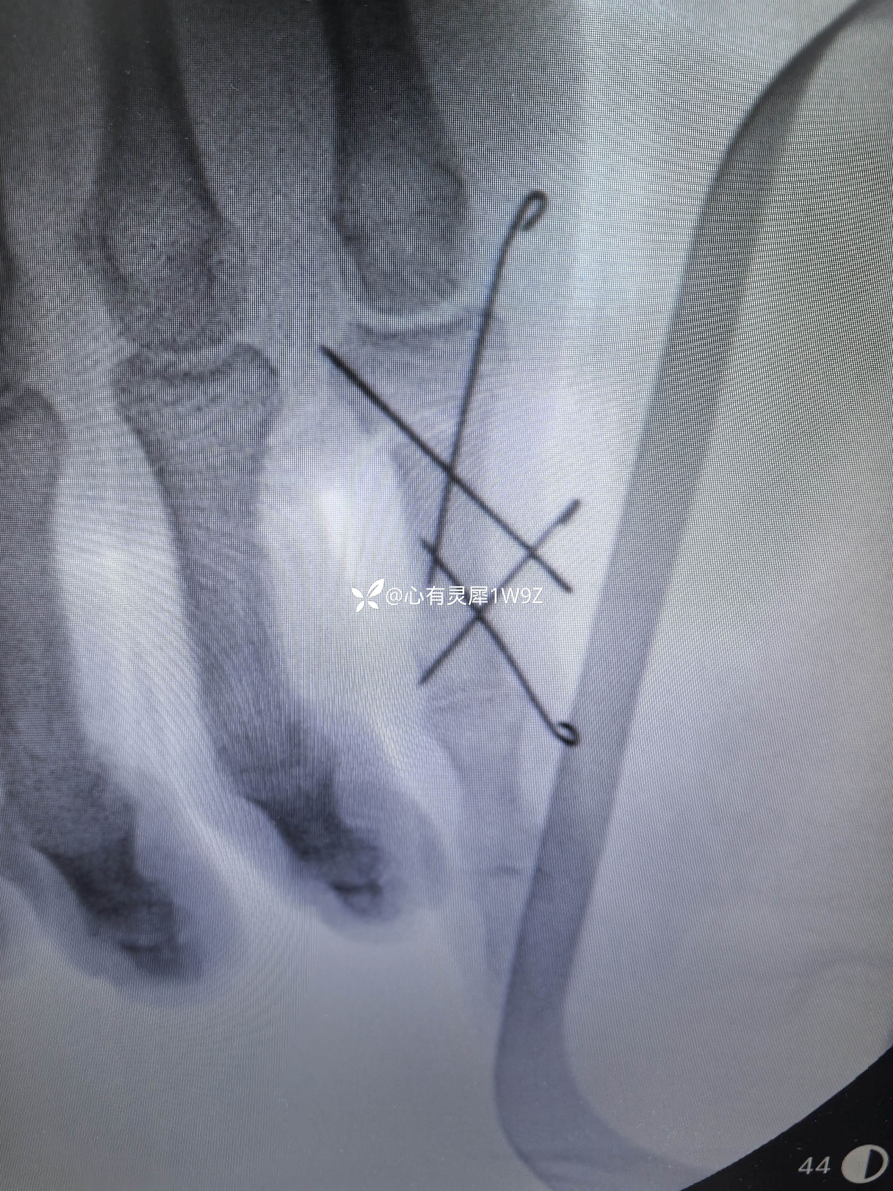
【检查】:



【临床诊断】:左手小指近节指骨骨折
【治疗经过及结果】:




总结与讨论
1.如何设计克氏针固定方案更合理2.术后需要石膏辅助固定吗?3多长时间开始小指屈伸锻炼?4多长时间拔针,一次拔针还是分两次拔针?
