病例|“消失的股骨头”70岁男性两年时间双侧股骨头“从有变无”,您的诊断是什么?
病例信息
【患者信息】:患者男,70岁,淋巴瘤放疗术后双髋关节疼痛。原有右肾和肝脏恶性肿瘤切除病史。
2022年6月盆腔CT定位片显示双侧股骨头还存在,见下图

2024年9月拍了骨盆DR片,见下图

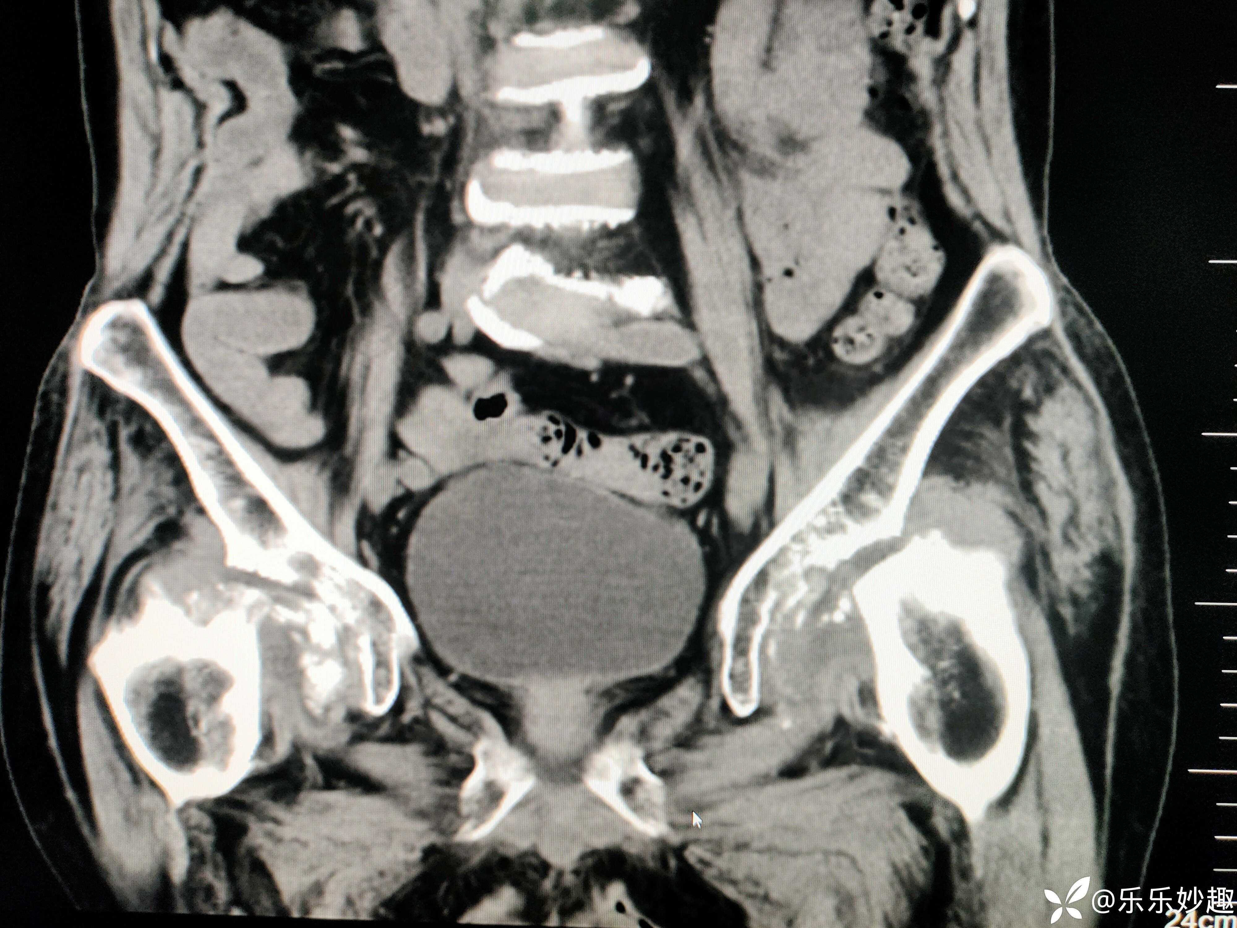
然后做了CT,见下图




最后做了髋关节MR,见下图








请大家伙帮忙看看,股骨头为什么“消失”了?
【主诉】:
【现病史及既往史】:
【检查】:
【临床诊断】:
【治疗经过及结果】:
病例信息
【患者信息】:患者男,70岁,淋巴瘤放疗术后双髋关节疼痛。原有右肾和肝脏恶性肿瘤切除病史。
2022年6月盆腔CT定位片显示双侧股骨头还存在,见下图

2024年9月拍了骨盆DR片,见下图

然后做了CT,见下图




最后做了髋关节MR,见下图








请大家伙帮忙看看,股骨头为什么“消失”了?
【主诉】:
【现病史及既往史】:
【检查】:
【临床诊断】:
【治疗经过及结果】:
