醒后卒中错配溶栓,颞叶梗死出现了水平眼震
青鹊词等 2人推荐病例信息
患者任XX,男,78岁,主因“发现左侧肢体无力3小时”入院。
现病史:患者于入院2天前出现腹泻,每日2次,呈稀水样便。于入院12小时前入睡,入睡前无异常。于入院3小时前醒后发现左侧肢体无力,左手抓握无力,左上肢抬举费力,左下肢站立无力,独自行走困难,需他人扶持,言语笨拙,表现为语言流利性下降,无找词困难及听理解障碍,家属发现其口角歪斜,诉头晕,为全头部昏沉不适感。未诉头痛,无饮水呛咳及吞咽困难,无抽搐。
既往否认“高血压”、“糖尿病”、“冠心病”病史。
查体:BP:110/70mmHg 神清,构音障碍,额纹对称,两侧眼球活动自如,水平眼震(+),可被固视抑制,两侧瞳孔等大等圆,直径约3.0mm,左侧鼻唇沟浅,伸舌左偏,悬雍垂居中,咽反射存在,颈软,左上肢肌力4级,左下肢肌力3级,左侧巴宾斯基征(+),周身痛觉正常,NIHSS评分:3分(构音1面瘫1左下肢1),MRS评分:4分。
辅助检查:心电图示窦性心律,左心房肥大,V6 ST段抬高。
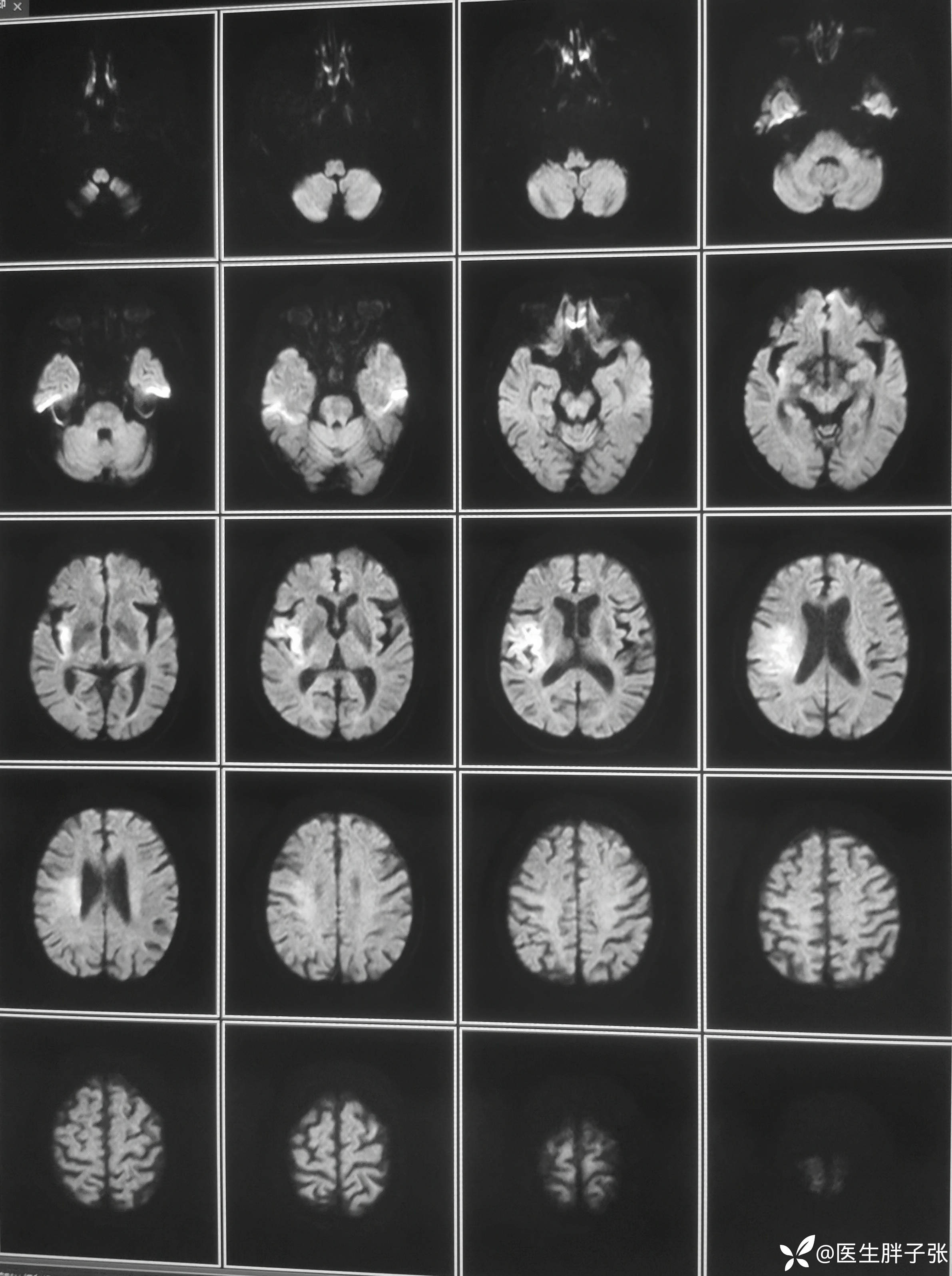
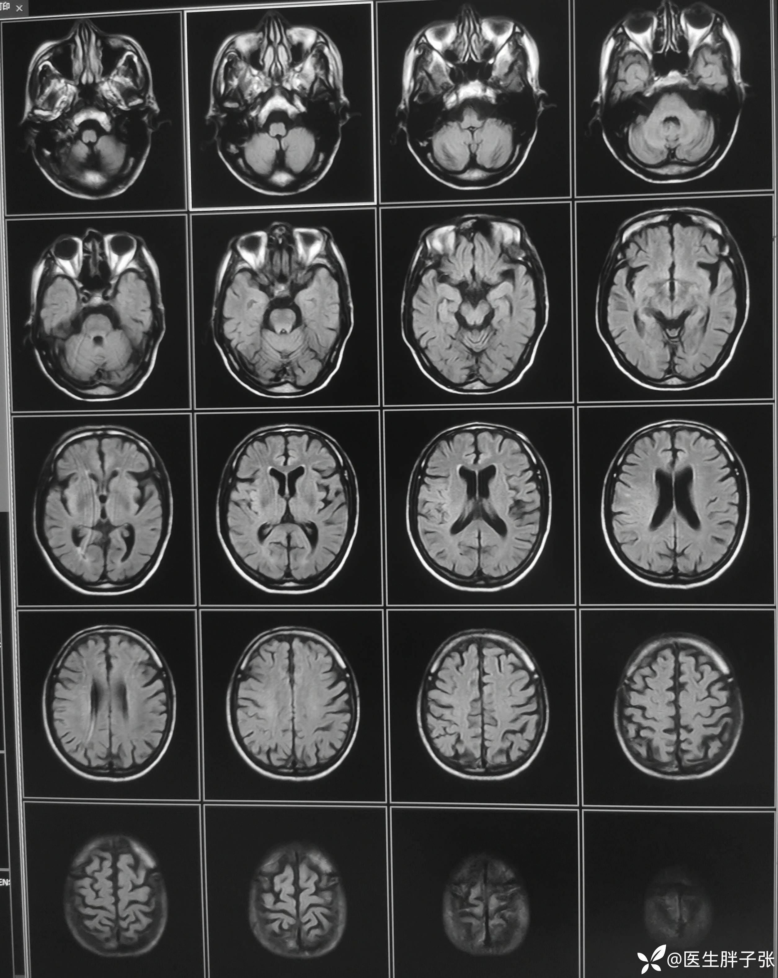
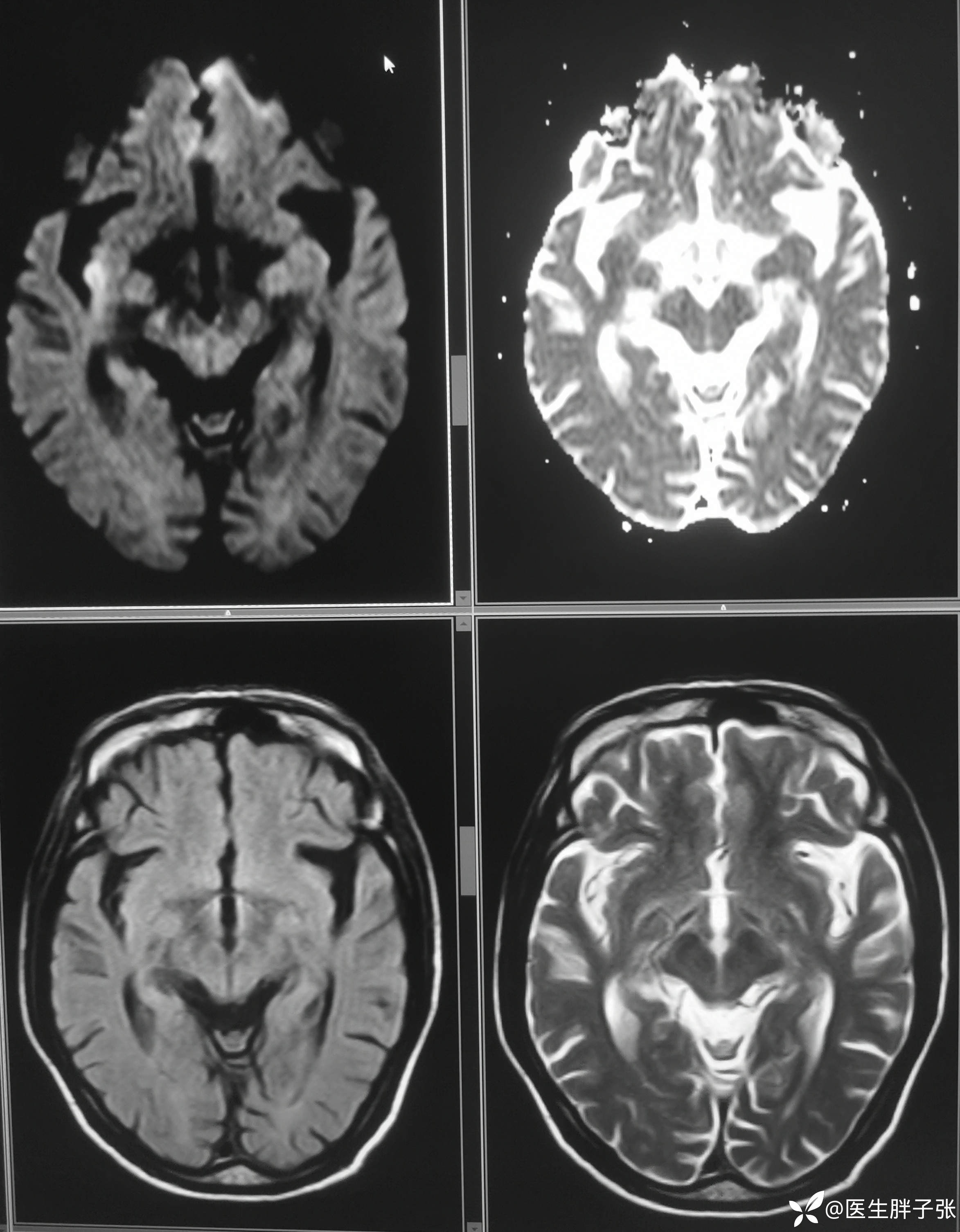
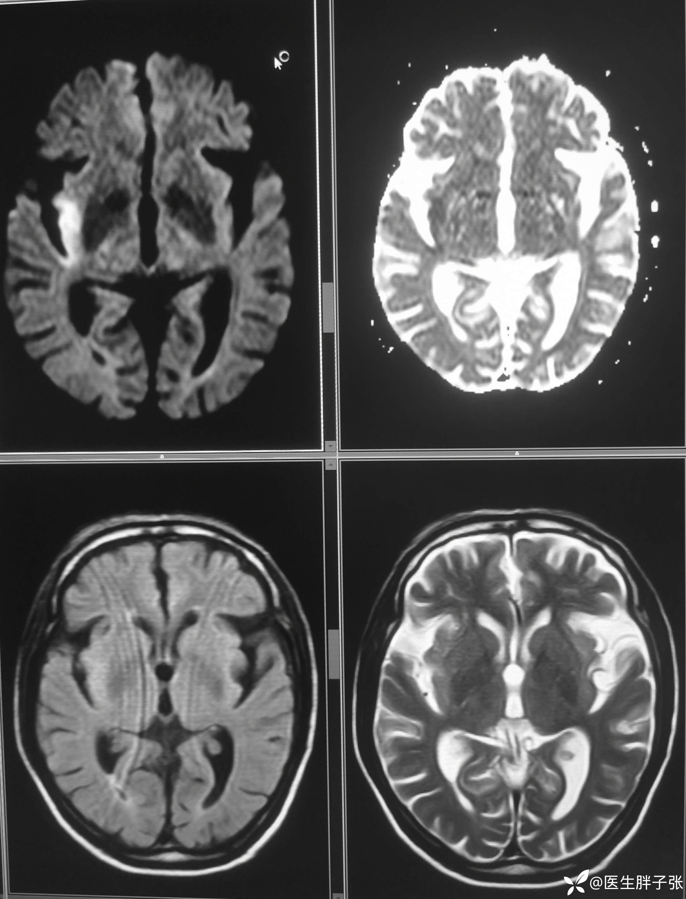
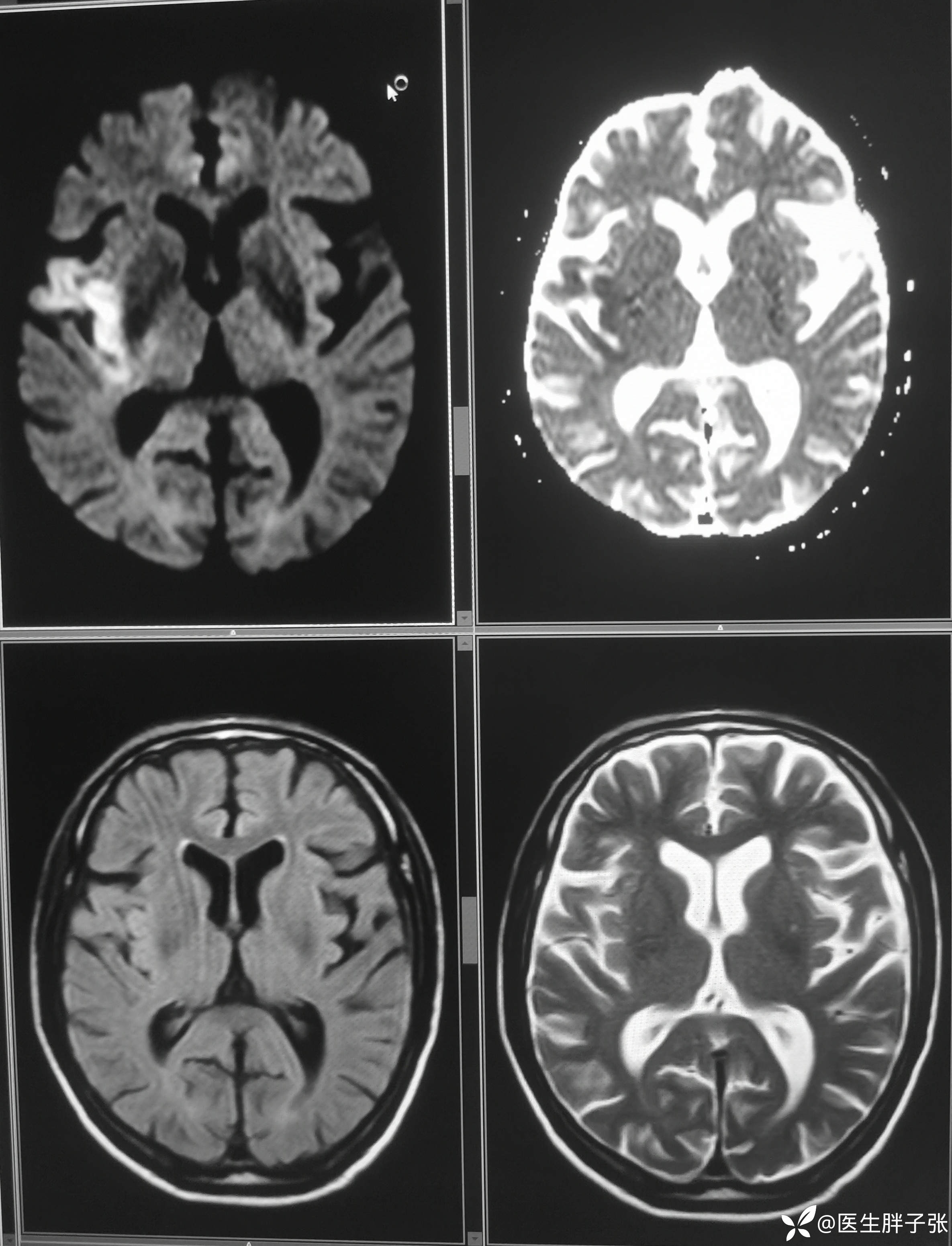
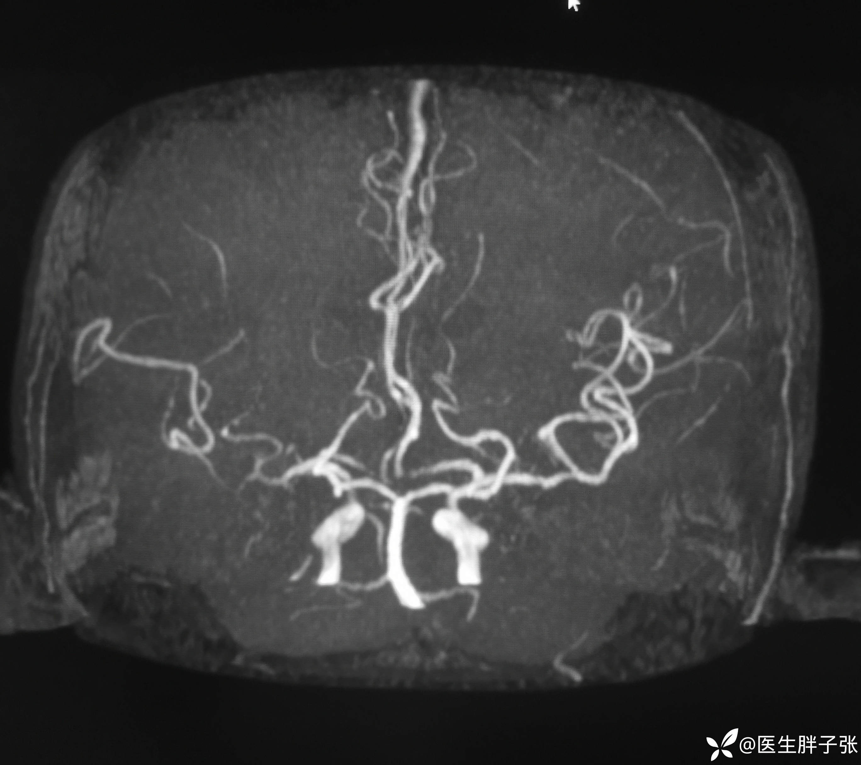
颅脑MR:右侧颞叶新近梗死灶;老年性脑改变;右侧大脑中动脉部分M2段及以远未见显示,建议头颈部CTA检查。


分析处理
患者为醒后卒中患者,幸运的是恰好晨起交班的时候来院,恰好能查核磁,核磁提示存在DWI-FLAIR错配






与家属沟通溶栓的获益风险后,家属同意溶栓,患者接近80岁,担心出血风险,给了0.6mg/Kg。
溶栓过程顺利,无并发症。患者发病前有腹泻,MRA提示右侧大脑中M2闭塞可能





所以在溶栓后给予复方氯化钠注射液1500ml静点。
患者症状缓解,NIHSS评分:2分(构音1面瘫1),MRS评分:2分(可独自行走)。
溶栓前后查体的时候发现一个奇怪的现象,溶栓前患者有水平眼震,溶栓后眼震消失。

总结与讨论
醒后溶栓依据:中国脑血管病临床管理指南第2版,对于醒后卒中患者,如果DWI-FLAIR不匹配,患者不计划或不推荐机械取栓治疗,推荐阿替普酶静脉溶栓治疗,Ia类推荐B级证据。
低剂量阿替普酶依据:《中国急性缺血性卒中诊治指南2023版》ENCHANTED研究证实低剂量阿替普酶静脉溶栓症状性颅内出血比例减低,但90天后残疾及死亡比例不劣于标准计量;日本2021版急性缺血性卒中指南推荐应用低剂量阿替普酶静脉溶栓。
使用方法依据:2023版急性缺血性卒中静脉溶栓护理指南,小剂量阿替普酶静脉溶栓0.6mg/Kg,最大剂量60mg,首剂15%在最初1分钟静脉推注,剩余85%在60分钟内持续静脉滴注。
眼震一直没弄太懂,这个患者的眼震与颞叶梗死的关系是什么?
















































