特殊病因的青年卒中
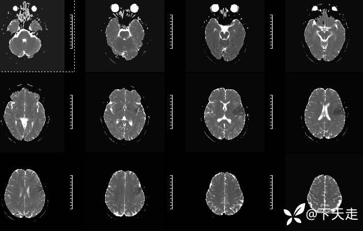
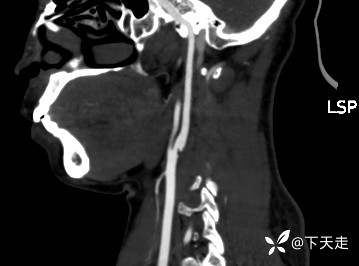
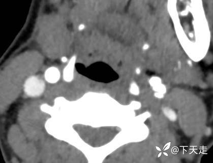
青鹊词 推荐青年女性,37岁,因不能言语就诊于耳鼻喉科,耳鼻喉科医生诊疗后建议神经内科就诊。
查体:神清,完全性运动性失语,四肢肌张力正常,肌力5级。
既往身体健康。
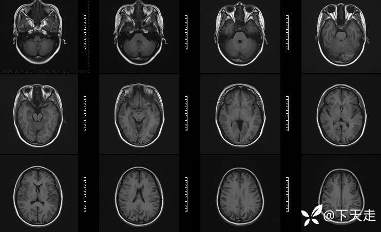
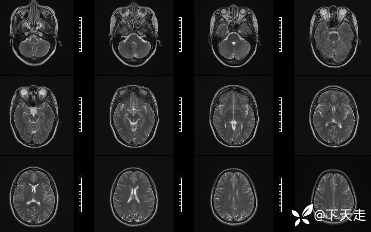
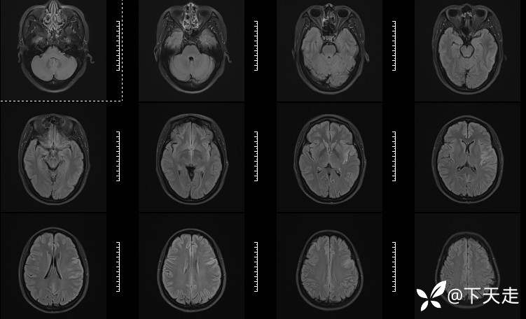
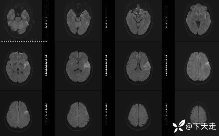
相关检验检查资料如下




















给予阿司匹林肠溶片,硫酸氢氯吡格雷片抗血小板聚集,阿托伐他汀钙片调脂稳斑,丁苯酞注射液促进侧支循环建立,线粒体保护等治疗,治疗14天,好转出院,可与人进行言语交流。
患者青年卒中,从以上检查资料,各位能否发展蛛丝马迹?
欢迎讨论。
青鹊词 推荐青年女性,37岁,因不能言语就诊于耳鼻喉科,耳鼻喉科医生诊疗后建议神经内科就诊。
查体:神清,完全性运动性失语,四肢肌张力正常,肌力5级。
既往身体健康。
相关检验检查资料如下




















给予阿司匹林肠溶片,硫酸氢氯吡格雷片抗血小板聚集,阿托伐他汀钙片调脂稳斑,丁苯酞注射液促进侧支循环建立,线粒体保护等治疗,治疗14天,好转出院,可与人进行言语交流。
患者青年卒中,从以上检查资料,各位能否发展蛛丝马迹?
欢迎讨论。
