看图猜病(70)| 眼底有一个“鱼雷”
上期病例诊断为“双眼白化病眼底”。你猜对了吗?
眼底描述:双眼眼底可见色素脱失呈晚霞状改变、RPE层及脉络膜色素缺失,脉络膜血管清晰可见,视盘发育不良 。
—————————————————
下面来看本期病例
患者,男,22岁。
主诉:拟行双眼近视矫正手术,术前常规检查。
眼科检查:
视力:右眼0.06(矫正1.0),左眼0.1(矫正1.0)
眼压:右眼18mmHg,左眼17mmHg
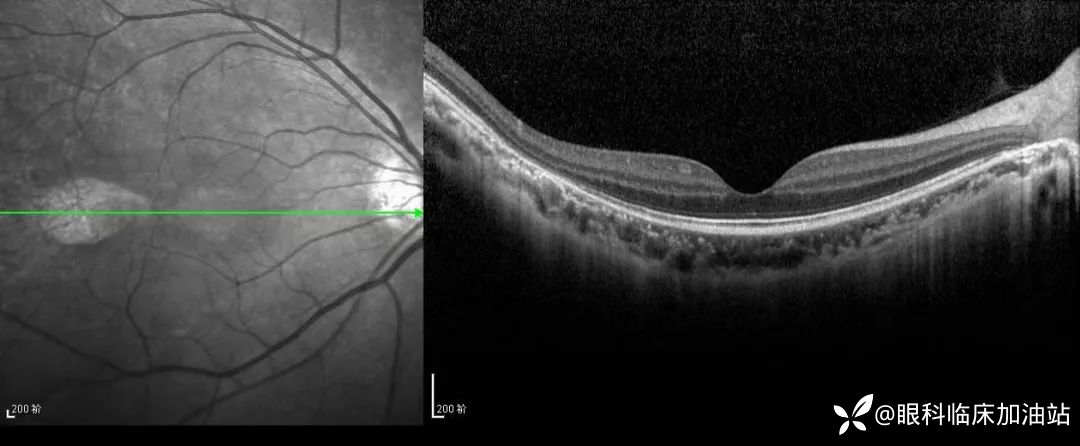
眼底照相

局部细节图

OCT图像

OCT:黄斑中心凹处未见明显异常,其颞侧节段样视网膜厚度变薄,RPE层及外核层及外层高反射条带缺失;其下脉络膜层反射增强。
你的诊断是什么呢?请在评论区留言,答案下周公布。
















































