53岁/女,左眼视力下降1月余。资料齐全好病例,等你来---结果公布~
胡志勇HZY 达人已点赞病例信息
性别:女
年龄:53岁
主诉:左眼视力下降1月余
现病史:患者于1个月前无明显诱因出现左眼视力下降,无头痛,无恶心、呕吐,无肢体活动障碍,无意识障碍等伴随症状,后就诊于监利市人民医院行眼眶MRI检查提示“左侧中颅窝底占位性病变”,今日为求进一步诊治前来我院,门诊以“颅内占位性病变”收入院。 发病以来,患者精神、饮食及睡眠良好,大、小便正常。
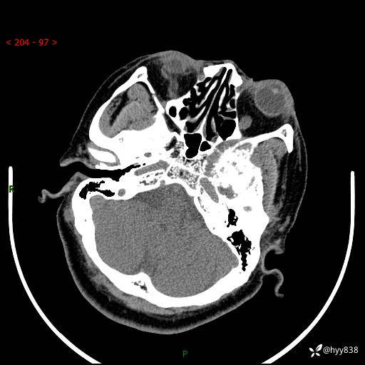
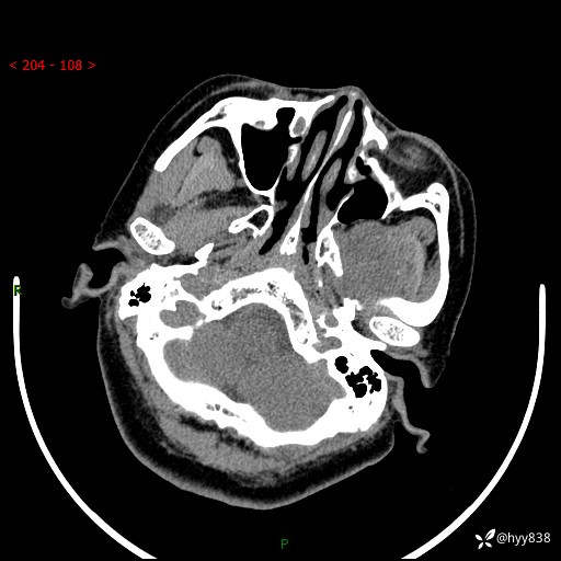
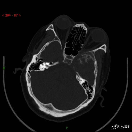
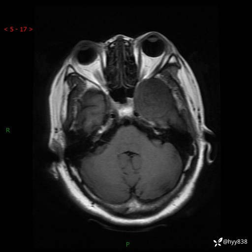
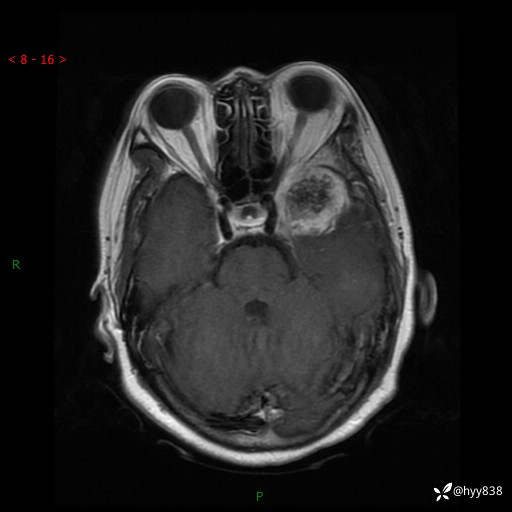
颅脑CT平扫
















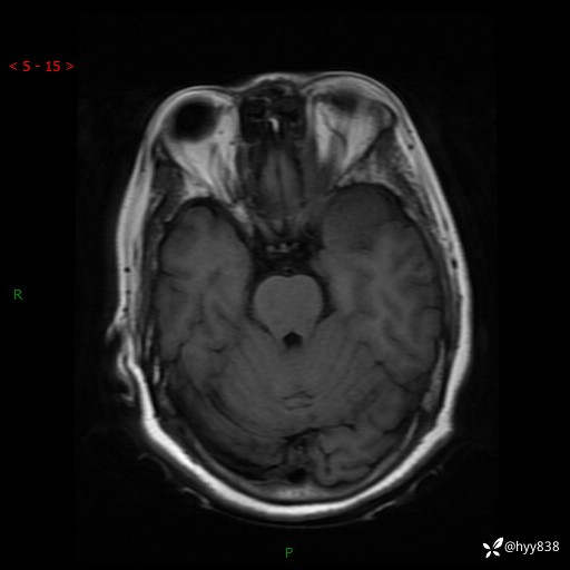
颅脑MRI平扫+增强















胡志勇HZY 达人已点赞病例信息
性别:女
年龄:53岁
主诉:左眼视力下降1月余
现病史:患者于1个月前无明显诱因出现左眼视力下降,无头痛,无恶心、呕吐,无肢体活动障碍,无意识障碍等伴随症状,后就诊于监利市人民医院行眼眶MRI检查提示“左侧中颅窝底占位性病变”,今日为求进一步诊治前来我院,门诊以“颅内占位性病变”收入院。 发病以来,患者精神、饮食及睡眠良好,大、小便正常。
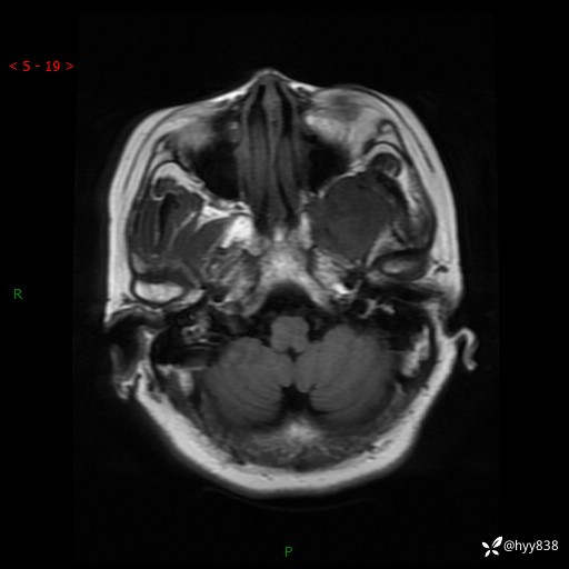
颅脑CT平扫
















颅脑MRI平扫+增强















