手术技巧|第4掌骨骨折闭合复位克氏针内固定
掌骨骨折占手部骨折的60%,直接暴力损伤可导致掌骨横行骨折,间接、扭转暴力常导致螺旋型或粉碎骨折。大部分掌骨骨折可采用闭合复位石膏固定,而对成角>30°、旋转>5°及短缩>5mm且闭合复位困难患者,建议手术治疗,避免手指功能障碍。第4掌骨骨折由于临近掌骨的遮挡,且掌侧软组织较为丰厚,闭合复位及维持复位更加困难,手术治疗较为常见。

背侧钢板螺钉内固定可确切固定,手术操作简单,但存在较大的手术疤痕、需二期取除内固定。

近年来,闭合复位克氏针内固定具有的微创手术,无需二次手术的优势,使其在掌指骨骨折中应用愈发广泛。来自河北三院的学者,发表文章描述了一种第4掌骨骨折闭合复位克氏针内固定的方法,供大家参考:

手术步骤
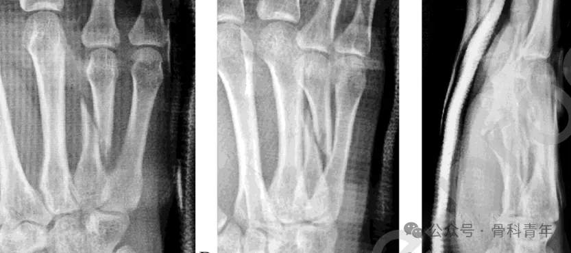
步骤1:常规消毒铺巾,尺神经阻滞麻醉。掌骨骨折通常远端移位,近端因腕掌关节及临近掌骨的存在,位置相对固定。先将一枚1.5mm克氏针经第5掌骨穿入第4掌骨骨折近端,将骨折近端固定。


步骤2:掌指关节屈曲90°,经掌骨远端关节面置入一枚1.5mm克氏针,穿入远端骨块髓内。后牵引环指、挤压骨折断端闭合复位,如复位困难,可采用克氏针经皮撬拨或将克氏针折弯后辅助复位(如下图)。

步骤3:复位后,将远端髓内克氏针直接穿入近端骨块髓腔,临时维持复位。在位置满意后,经第5掌骨置入2枚克氏针至远端骨块,再置入一枚固定近端。在远近端各固定2枚后,去除髓内固定克氏针。固定后克氏针留置皮外,可回归工作。


掌骨骨折经皮克氏针内固定,在临床工作中也较为常见
掌骨骨折的钢板螺钉固定与克氏针固定各有其适应症,无论是AO系列书籍,或格林手外科手术学,均详细描述了掌骨骨折的钢板螺钉内固定技术。克氏针手术即便微创,但固定强度无法与钢板螺钉系统相比,且留置皮外的针尾,对患者来说仍然是一个心理负担,回归工作仍不免心有顾忌,钉道感染问题也仍不可除外;掌骨钢板系统固定在局麻下操作即可,尽管有伤口,但不大,包扎后直接回归工作,并不比克氏针固定更困难。因此,喜欢克氏针固定的医生,选择克氏针固定即可;擅长钢板螺钉固定,则也可采用该固定方法,无所谓对与不对,更无需捧一踩一。不能走极端。供临床医生参考。
(本文未经授权禁止任何个人及平台转载)
















































