甲病专题(3)|甲下外生骨疣 (附文献及手术视频)
概述
甲下外生骨疣(Subungual Exostosis)是一种单发性良性骨软骨增生性疾病,通常发生在手指或足趾的末节,特别是大拇趾 。这种病变在儿童和青年女性中较为常见,可能与慢性刺激如摩擦、挤压或外伤有关 。甲下外生骨疣的临床表现为甲缘下出现单个压痛性坚实性结节,可能引起整个指(趾)末端肿胀 。

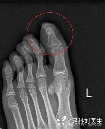
诊断通常需要X线检查,其特征性表现为末节趾/指骨远端大小不一的骨性隆起,骨密度与正常相似,顶端可能呈现杯形、圆形或不规则形 。MRI检查和皮肤活检也可以辅助诊断,但最终确诊依赖于肿物切除后的病理检查 。

治疗方面,由于甲下外生骨疣是良性的,如果没有症状,可以选择观察等待。但如果病变导致疼痛或影响关节活动,通常推荐手术治疗,包括病灶的切除和甲床的修复 。手术可以彻底切除病变,减少复发的风险,并且术后恢复通常良好 。
系统回顾文献:

- 定义与背景:
- 甲下外生骨疣是一种相对常见的良性骨肿瘤,主要发生在足趾的远端指骨,可能导致疼痛和指甲畸形。
- 它是由于软骨内骨化过程中的异常所引起的,通常与微小外伤有关。
- 研究目的:
- 确定最佳的手术方法来切除这些病变。
- 描述甲下外生骨疣的年龄范围、性别分布、主要症状以及最常受影响的足趾。
- 讨论治疗中可能出现的并发症。
- 研究方法:
- 系统回顾了1950年至2013年5月期间的多个数据库,包括Medline、Cochrane EBM数据库、EMBASE等。
- 纳入了包含10个或以上病例的足趾外生骨疣治疗研究,并排除了关于上肢外生骨疣或骨软骨瘤的研究。
- 研究结果:
- 通过“鱼嘴”切口进行的完整边缘切除,保护指甲,复发率为4%,73%的患者获得满意的临床结果。
- 55%的患者年龄在18岁以下。
- 约30%的病例在诊断前有足趾外伤史。
- 约10%的病例出现延迟诊断,超过10%的患者出现指甲畸形。
- 结论:
- 目前对于甲下外生骨疣的管理缺乏有力的证据。
- 适当的术后伤口管理,旨在最小化对指甲床和基质的干扰,可能防止治疗中常见的指甲畸形。
- 讨论:
- 甲下外生骨疣在一般人群中相对不常见,目前缺乏证据来定义这一人群的人口统计特征和管理指导。
- 该研究扩展了15年前系统回顾的范围,纳入了此后报告的众多病例,并提供了并发症概况和成功手术策略的更有力的共识。
- 治疗方法:
- 治疗原则是实现病变的完全切除,同时尽可能减少对指甲板的畸形。
- 描述了多种手术技术和术后伤口闭合策略,但没有一种技术显示出明显的优越性。
- 并发症:
- 治疗甲下外生骨疣可能会导致重要的、潜在可避免的并发症,包括术后畸形(16%)、复发(4%)和延迟诊断(2%)。
- 未来研究方向:
- 需要进一步的经验性研究来比较不同伤口管理策略的术后外生骨疣切除结果。
这篇综述提供了对甲下外生骨疣治疗的全面了解,包括流行病学、治疗方法和潜在并发症,并强调了需要更多研究来指导最佳治疗实践。

Fig. 1A–D Clinical photographs and radiographs of the same subungual exostosis in the right hallux of a 15-year-old girl presenting with pain and an enlarging mass for 3 months. (A) Dorsal and (B) medial clinical photographs and (C) posterior-anterior and (D) lateral radiographs of the same lesion. Reproduced with permission from BMJ Case Reports.
图1A-D 15岁女孩右拇同一跖下外骨增生的临床照片和x线片,表现为疼痛和肿物扩大3个月。(A)背部和(B)内侧临床照片(C)前后位和(D)侧位x线片。经英国医学杂志病例报告许可转载。

Fig. 2 Light microscopic image of a histological specimen taken intraoperatively from the great toe of a 15-year-old girl. It shows dermal tissue with normal trabecular bone and fibrocartilaginous overgrowth, consistent with subungual exostosis. Reproduced with permission from BMJ Case Reports.
图2术中取自15岁女孩大脚趾的组织学标本的光镜图像。它显示真皮组织有正常的骨小梁和纤维软骨过度生长,与趾骨下外生骨疣一致。经英国医学杂志病例报告许可转载。

Fig. 5A–B Intraoperative images of a marginal excision of subungual exostosis of the great toe in a 15-year-old girl. (A) The lesion invaded the nail bed, which was not salvageable; thus, a direct dorsal exostectomy was performed. (B) The osteocartilaginous lesion was marginally resected and the base of the stalk was curetted, ronguered, and burred down creating a ‘‘saucer-like defect.’’ The sample was sent for pathological analysis and found to be consistent with subungual exostosis. Reproduced with permission from BMJ Case Reports.
图5A-B 15岁女孩大脚趾趾骨下外植骨边缘切除术的术中图像。(A)病变侵入甲床,无法避免损伤;因此,我们进行了直接背侧外骨切除术。(B)骨软骨病变被部分切除,柄的基部被削去,形成一个“碟状缺损”。“样本被送去做病理分析,发现与趾骨下外生性增生一致。经英国医学杂志病例报告许可转载。
手术视频

















































