一例青年男性酒后猝死
飞跃迷雾1 达人已点赞病例信息
男性,21岁,酒后呕吐时出现呼吸心跳停止,陪人诉有窒息情况存在,现场给与胸外按压,后送外院就诊无生命体征,心电图示直线,给与心肺复苏等抢救后自主呼吸心跳恢复,意识无好转,为进一步救治送我院。既往体健。
处理分析
入院后相关检查











总结与讨论
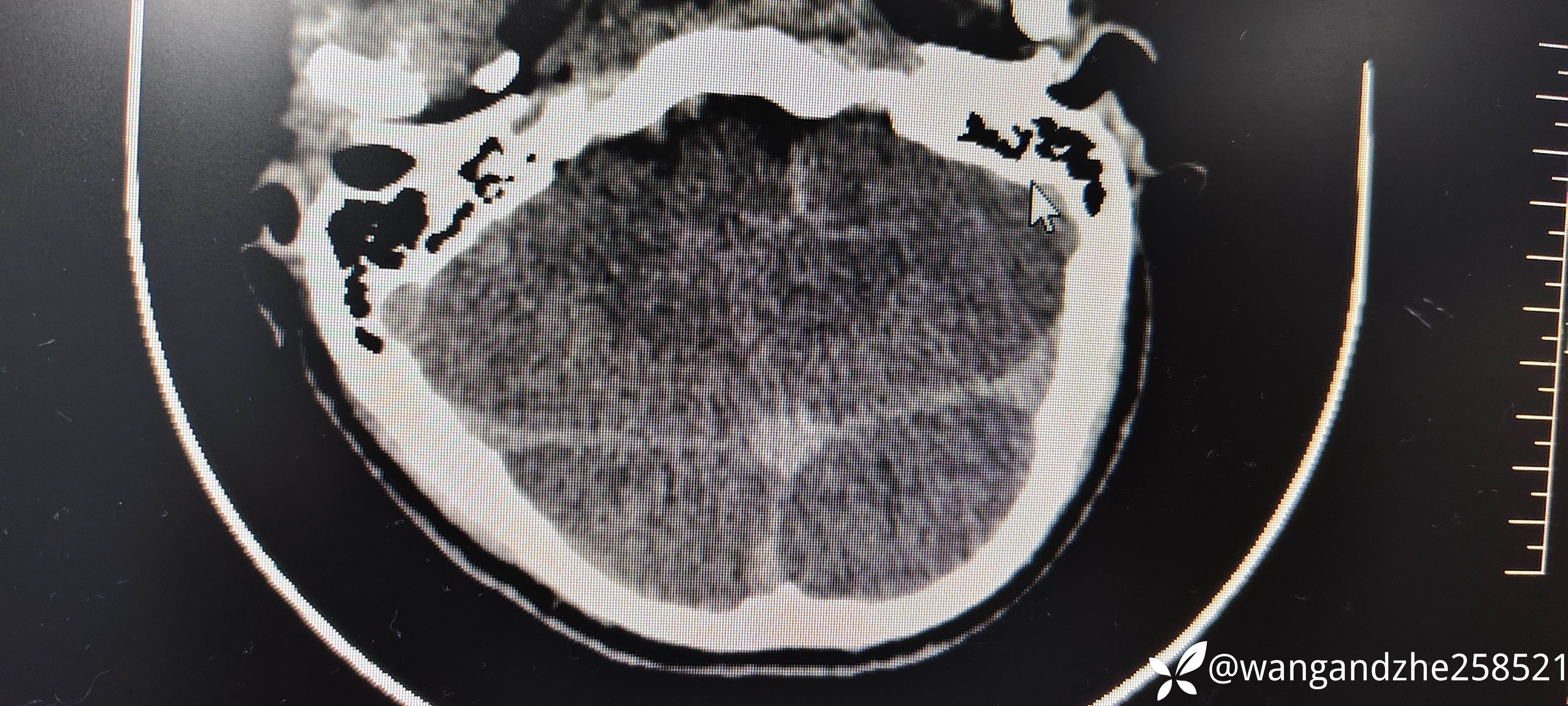
入院后胸部CT未见明显异常,存在疑问,该患者猝死原因是窒息?还是另有其他原因
飞跃迷雾1 达人已点赞病例信息
男性,21岁,酒后呕吐时出现呼吸心跳停止,陪人诉有窒息情况存在,现场给与胸外按压,后送外院就诊无生命体征,心电图示直线,给与心肺复苏等抢救后自主呼吸心跳恢复,意识无好转,为进一步救治送我院。既往体健。
处理分析
入院后相关检查











总结与讨论
入院后胸部CT未见明显异常,存在疑问,该患者猝死原因是窒息?还是另有其他原因
