冠脉介入心脏破裂之妹篇(术前就已经破裂),还高度迂曲,难上加难!
fy1940 达人已点赞病例信息
男性 60岁;
主诉:持续胸闷12小时。
既往病史:高血压20年,最高血压180/110mmhg; 糖尿病5-6年,血糖控制不详;吸烟史30年,每天20支。
入院查体:P 96次/分 BP 75/49mmhg,精神差,烦躁,余无明显阳性体征。
急诊心电图:急性下壁心梗

到病房后的心电图(全导)


发现后壁也有问题。
化验室检查:心肌酶:TnI >100ng/ml;Myo >600ng/ml;CKMB > 80ng/ml; NT-Pro BNP 772pg/ml; 血常规:WBC 21.38X10*9/L,N%:85.4%;电解质、肾功能及凝血功能正常; 血糖 5.84mmol/L。
分析处理
诊断:1、冠心病 急性下壁、后壁ST段抬高型心肌梗死
2、高血压3级 很高危组
3、2型糖尿病
考虑发病12小时,虽然在急诊手术的一个24小时内的中位节点,但基于以下两点考虑:1、患者仍然有胸闷症状;2、ST段仍然抬高,所以决定急诊PCI,遂嚼服阿司匹林肠溶片 300mg+替格瑞洛 180mg后行急诊PCI。
(如果当时患者没有胸闷症状,心电图ST段比较好回落的话,我有时也会不“积极”,相对选择稳妥。毕竟12小时开通血管的意义在那,虽然指南中有规定,记着某位心内科的一个老前辈说过一句话,可能带有个人性格特色,但也是多少坑换回的经验:“超过6小时的急诊我不做,谁爱做谁做”!)
造影如下:
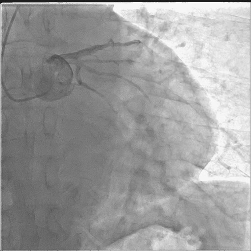
在透视进导丝的过程中就发现了问题--心脏游离缘出现“透亮带”!!!

抓紧时间完成造影:




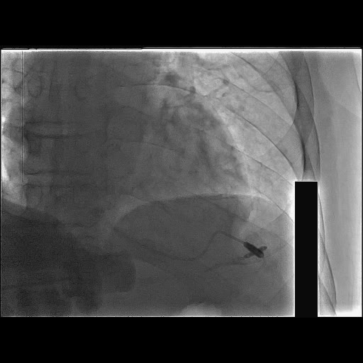
造影完即刻在透视下心尖部进针置管,抽出“不凝血”200ml。患者意识好转,一般情况好转,生命体征改善,血压回升至125/75mmhg,心率也下来一些,心电监护显示:窦性心律 88次/分。


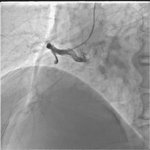
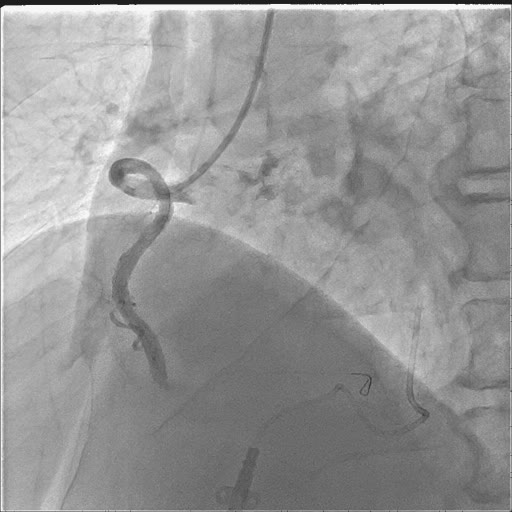
暂时缓解了心脏压塞,但迂曲的血管,是下一个难关!导丝、球囊根本不能到位,在延伸导管的帮助下完成球囊扩张及支架植入。


支架植入也是非常困难,最后经过深插GC,延伸导管尽量靠前支撑下,完成了支架植入。开通后可以发现RCA非常大,范围很广。


术后心电图可见ST段较术前有回落

虽然暂时完成了治疗,但是心包积液还会不会继续增长,也是担心的事情。术后第二天患者出现胸痛伴有烦躁不安!复查了床旁的超声:

积液没有增加是最大的关心。经对症治疗后胸痛缓解,后续平稳恢复。出院时的超声:

结果尚满意。
总结与讨论
这个病人比较特殊,因为在没有介入操作前就发现了心包积液,除外了医源性的因素,剩下考虑患者出现心包积液的原因或提示患者可能有心包积液的几个思考:















































