71岁/男,咳嗽咳痰1周余,发现痰中带血1天。间隔1月,两次CT对比---结果公布~
胡志勇HZY 达人已点赞病例信息
性别:男
年龄:71岁
主诉:咳嗽咳痰1周余,发现痰中带血1天
现病史:患者自诉1周前无明显诱因出现咳嗽,伴咳痰,咳白色泡沫样痰,程度不剧烈,痰不易咳出,无发热、畏寒、头晕、头痛、咽痛、胸闷、胸痛、咯血、呼吸困难、四肢酸痛、腹泻、腹痛等不适,起初未予重视,未行相关诊治,1天前患者出现咳嗽,咳痰,痰中带血丝,程度不剧烈,伴食欲减退,恶心,无胸闷气促、无端坐呼吸及夜间阵发性呼吸困难,无明显呕吐,无腹痛腹泻,无血尿黑便及下肢水肿等不适,至我院急诊就诊,行胸部CT提示:右肺上叶感染并空洞形成,遂以“肺部感染”收入我科。 起病以来,患者精神、睡眠可,饮食长期欠佳,小便正常,大便便秘史约1年余,长期予灌肠排便,体力稍下降,体重无明显变化。
实验室检查:白细胞计数(WBC) 11.37 *10^9/L ↑,中性粒细胞数(NE#) 9.51 *10^9/L ↑,淋巴细胞数(LY#) 1.17 *10^9/L ,单核细胞数(MO#) 0.66 *10^9/L ↑,血红蛋白(HGB) 113.0 g/L ↓,血小板计数(PLT) 302.0 *10^9/L ,超敏C-反应蛋白 148.23 mg/L ↑
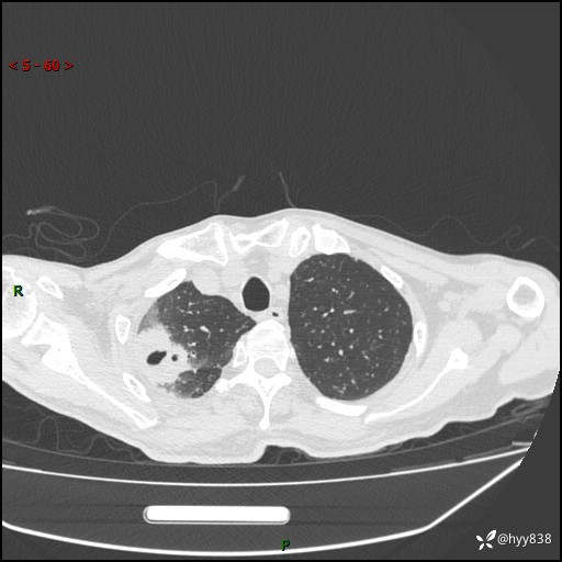
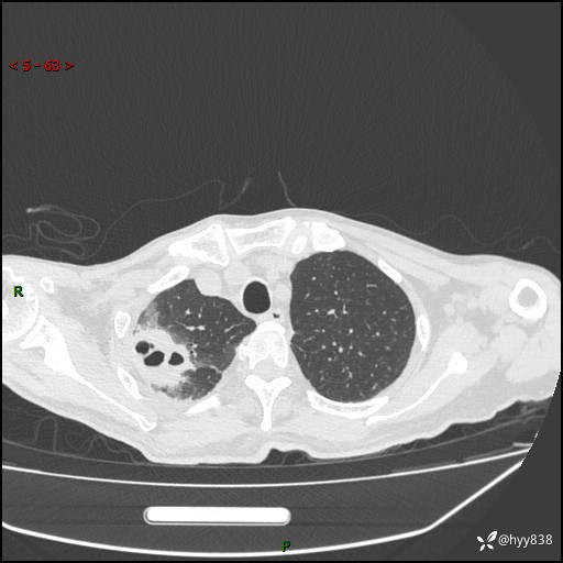
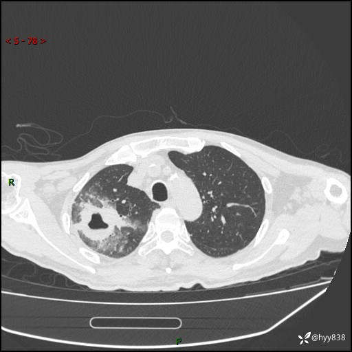
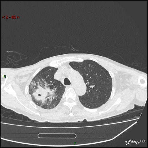
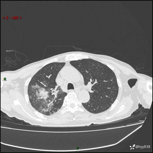
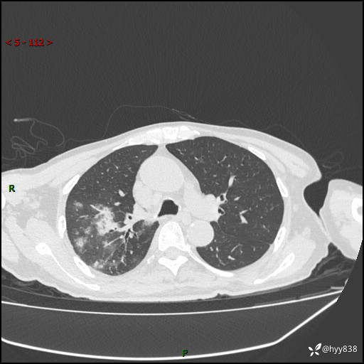
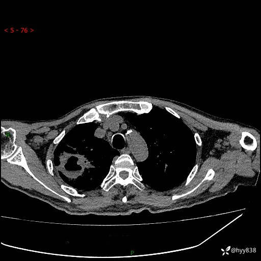
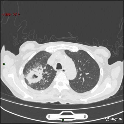
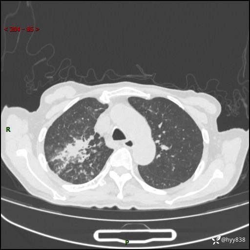
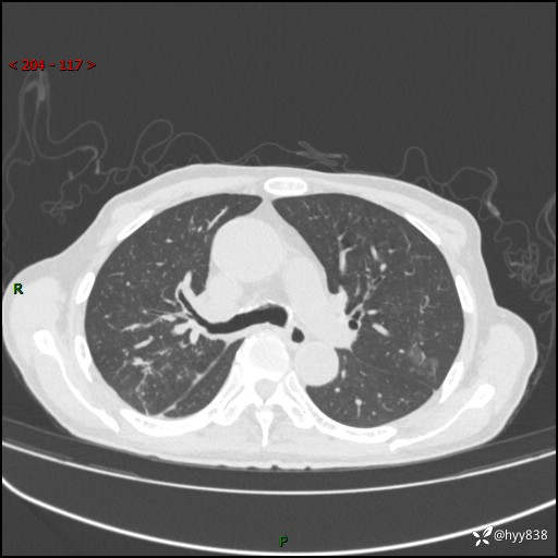
第一次胸部CT检查













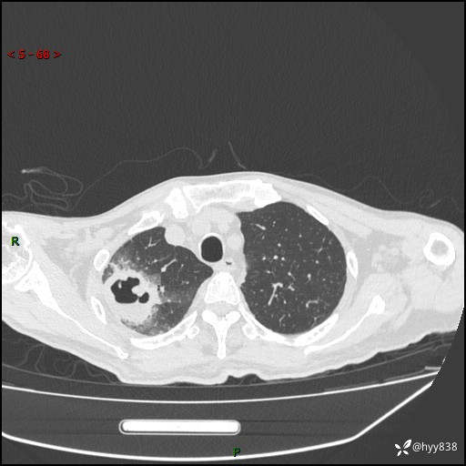
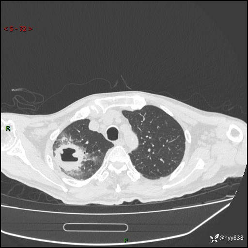
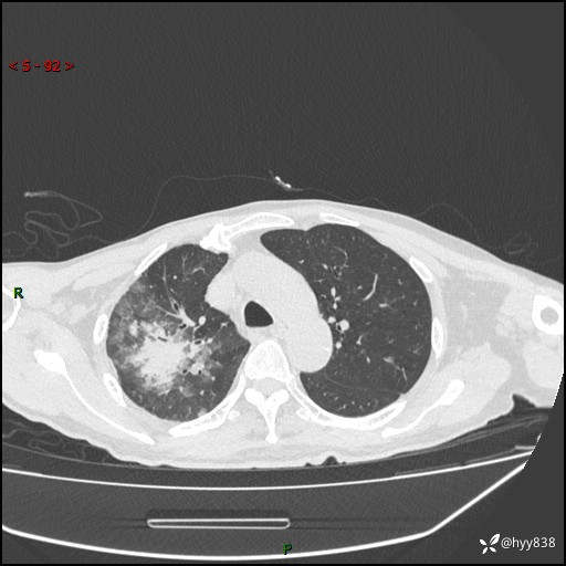
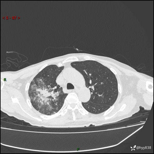
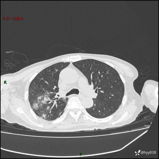
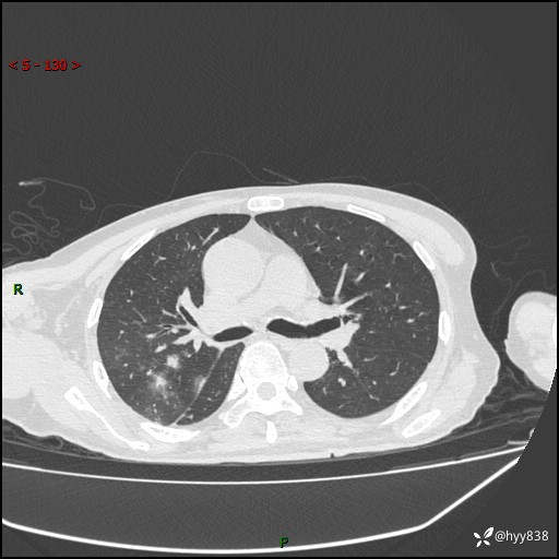
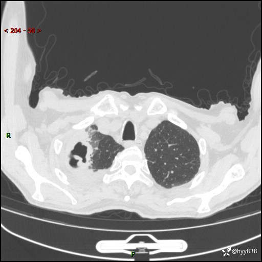
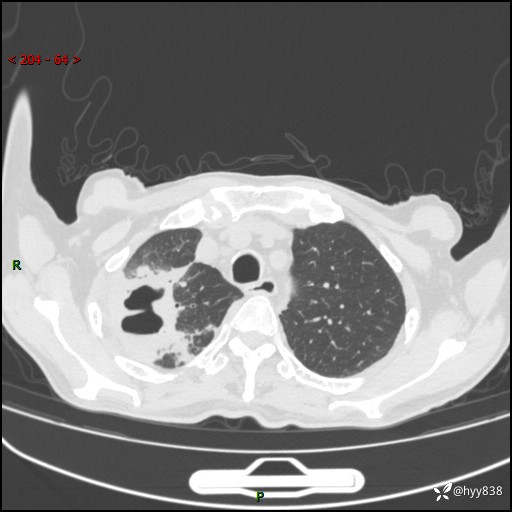
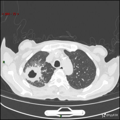
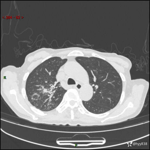
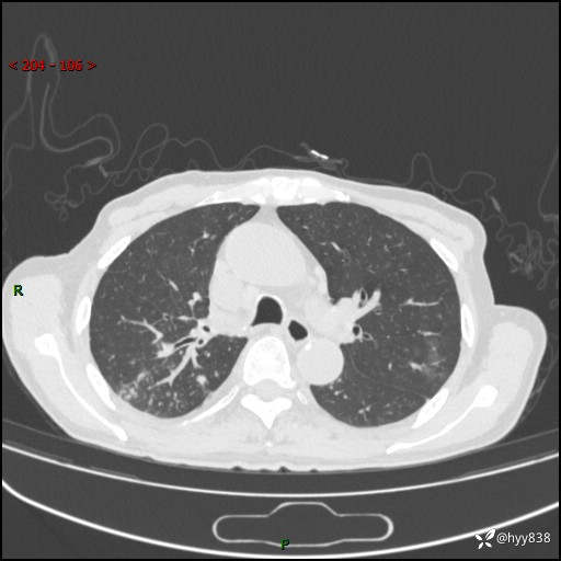
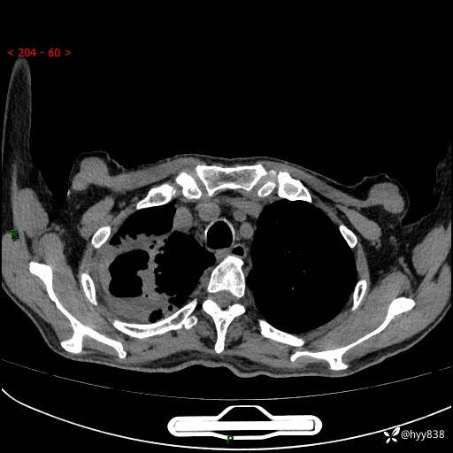
一个月后第二次CT检查(常规抗感染,患者不配合:增强、住院---)

























































