黄骨头脊柱内镜—腰4-骶1两节段盘源性腰痛镜下射频消融一例(附文献)
病例信息










分析处理
病人20岁,非常年轻,但是腰痛症状很明显,全天24小时无缓解,术前腰痛VAS评分7分,腿几乎不痛。保守治疗无效,融合又太早,和病人沟通后建议内镜下射频消融,术中尽量减少创伤。
总结与讨论
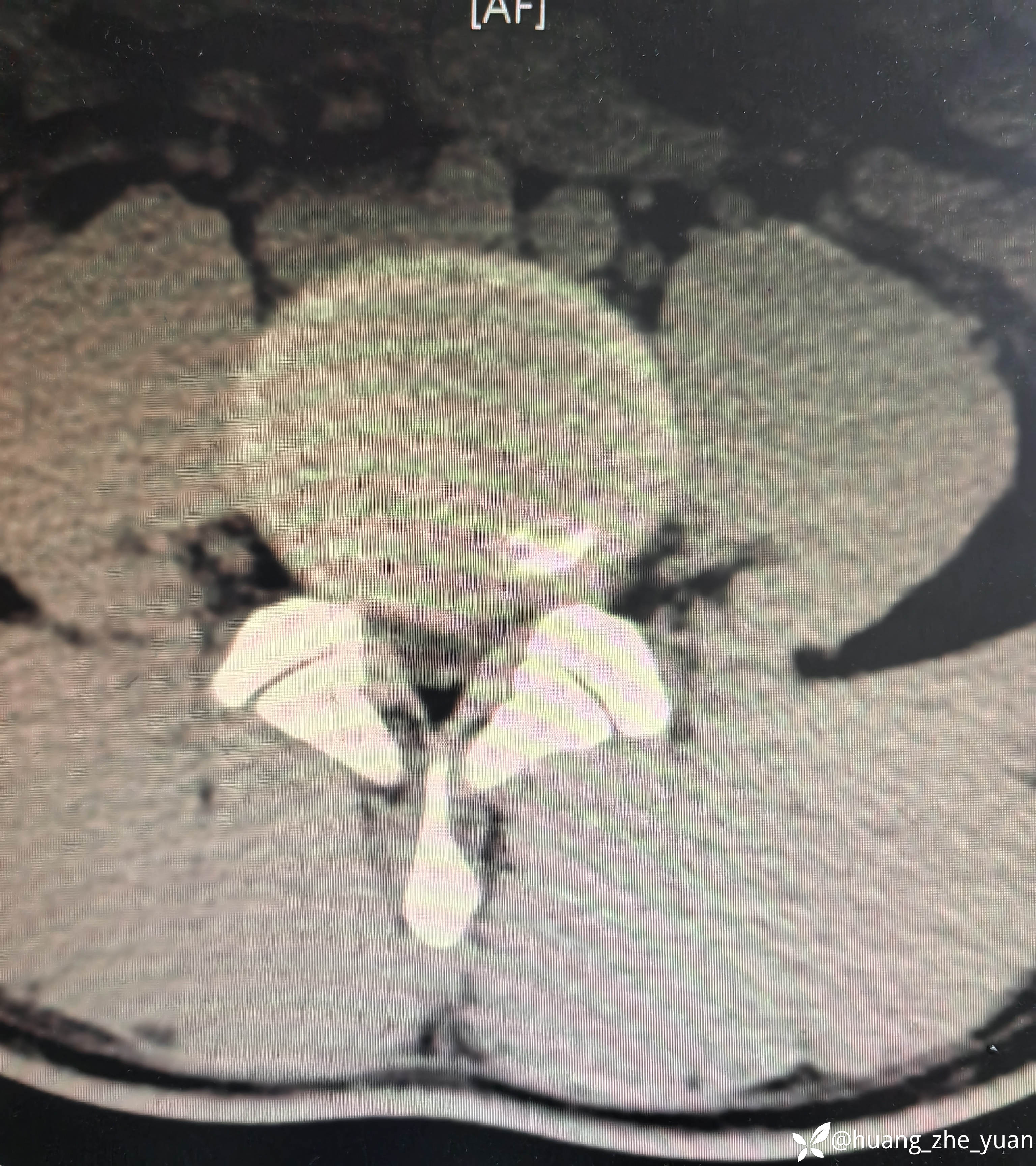
局麻单切口做两节。




椎间孔少量成形。椎间盘做微创消融。




术后腰痛完全缓解,叩击无痛。术前无法忍受叩击。

病例信息










分析处理
病人20岁,非常年轻,但是腰痛症状很明显,全天24小时无缓解,术前腰痛VAS评分7分,腿几乎不痛。保守治疗无效,融合又太早,和病人沟通后建议内镜下射频消融,术中尽量减少创伤。
总结与讨论
局麻单切口做两节。




椎间孔少量成形。椎间盘做微创消融。




术后腰痛完全缓解,叩击无痛。术前无法忍受叩击。

