dxy logo
首页丁香园病例库全部版块
搜索
登录

病例黄骨头脊柱内镜—腰4-5极外侧突出合并髓核向上游离一例(附文献)

脊柱外科医师 · 发布于 2024-04-24 · 来自 Android · IP 福建福建
1572 浏览
推荐、达人点赞 2 项荣誉
这个帖子发布于 1 年零 211 天前,其中的信息可能已发生改变或有所发展。

病例信息

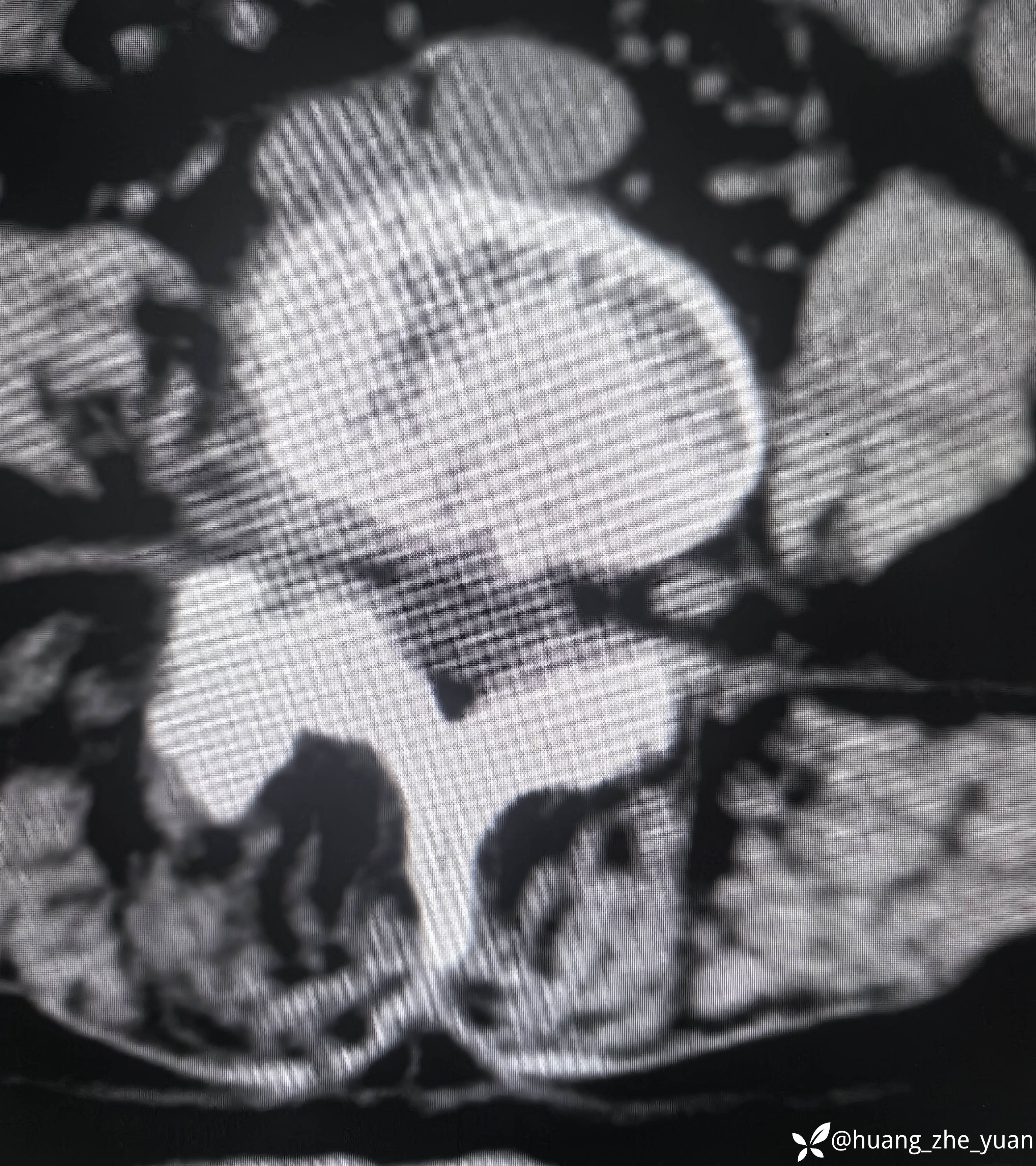
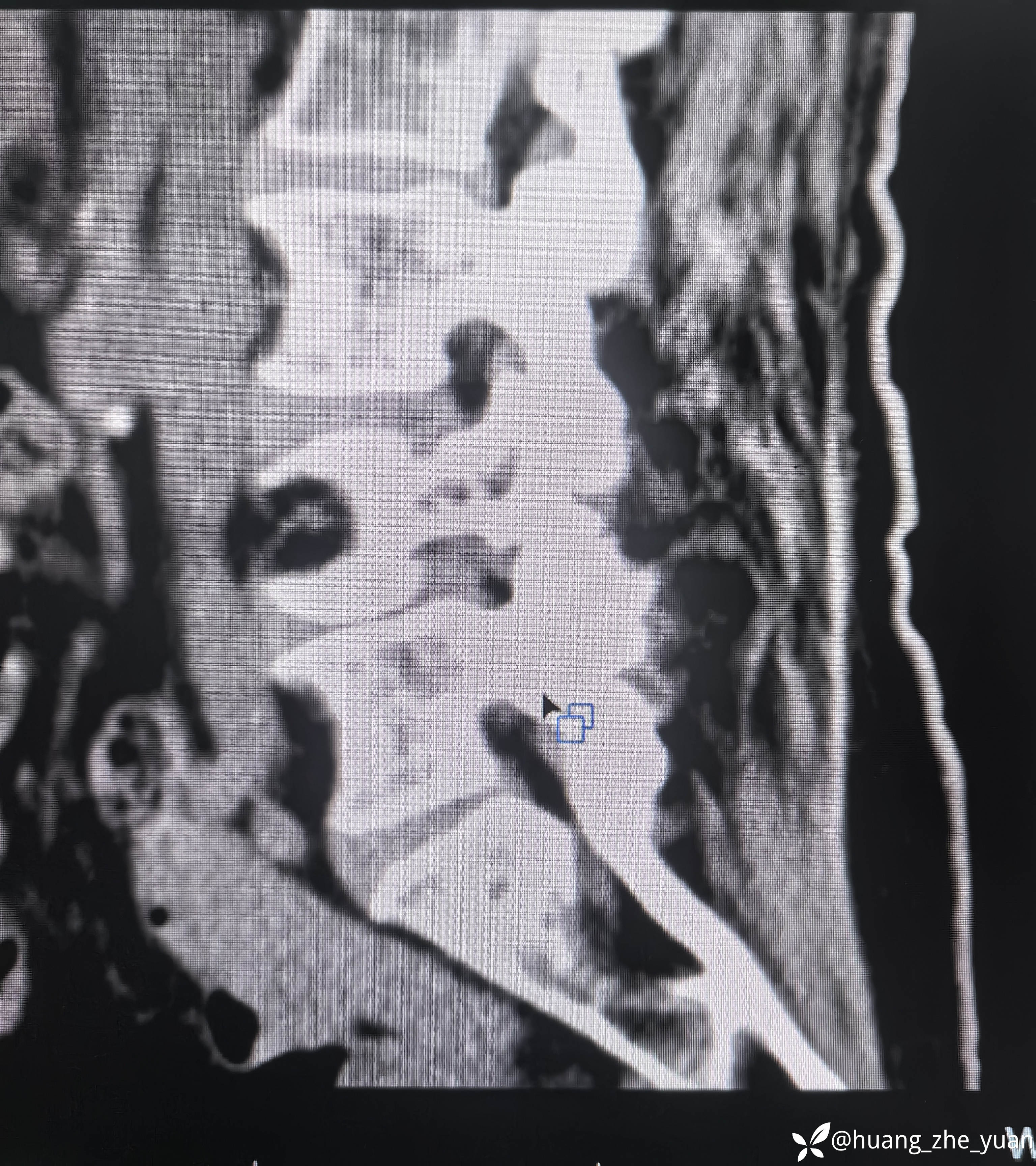
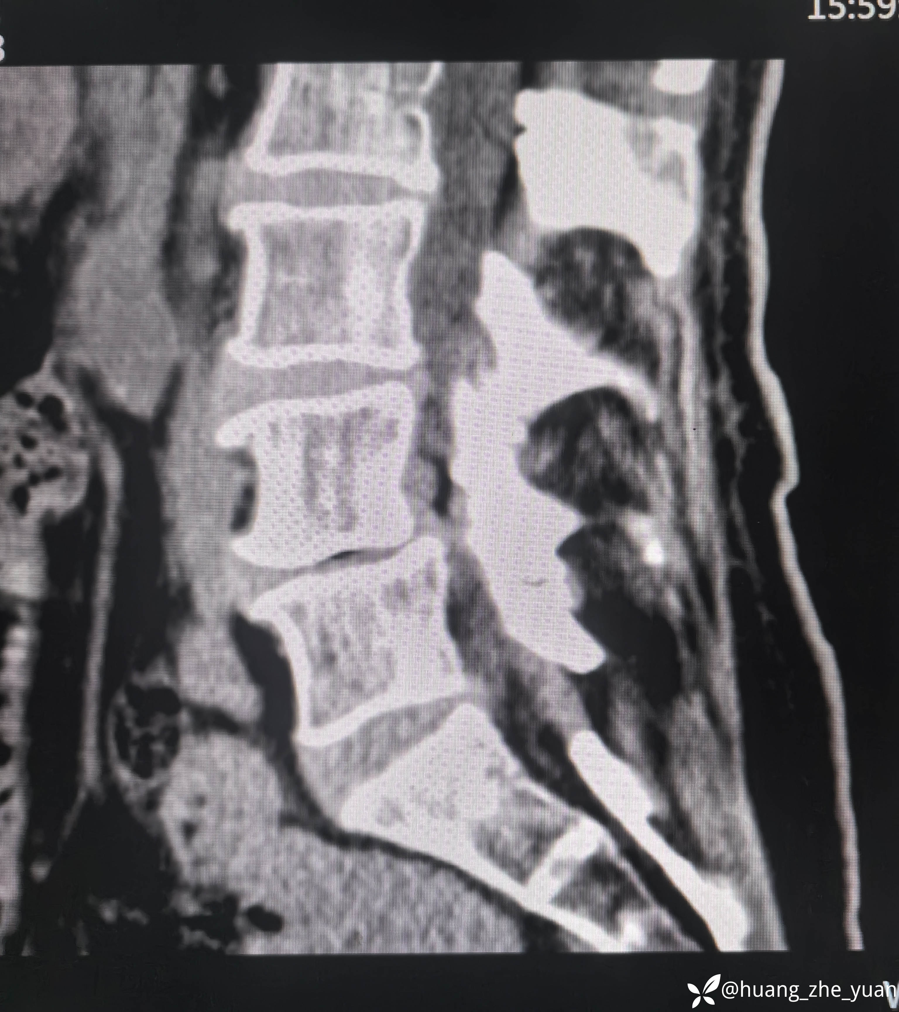
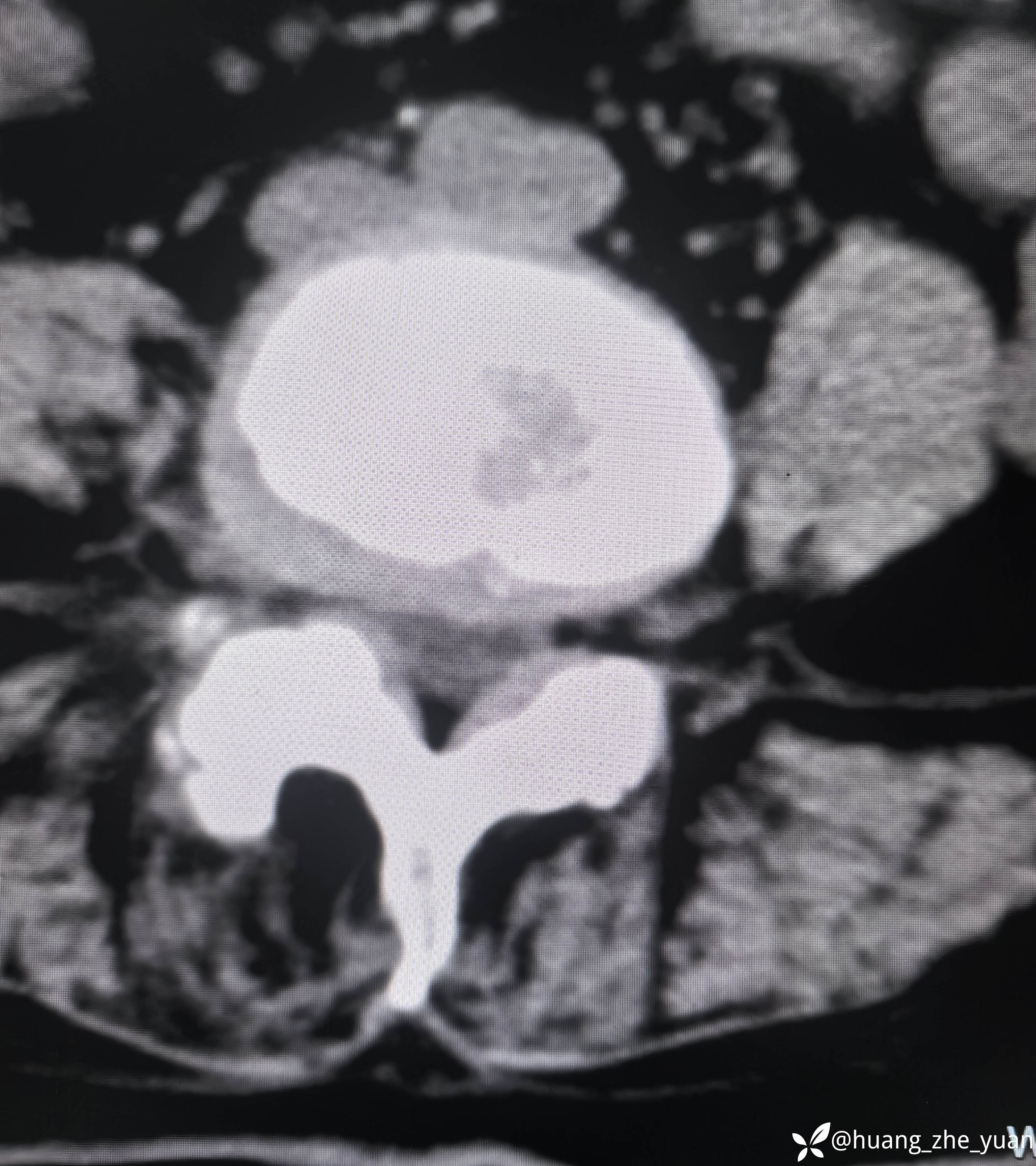
70岁女性,反复右下肢放射痛八个月。合并症:糖尿病,胰岛素泵控制。

img


img


img


img


img


img


img


img


img


img


img


img


问题讨论

1、有哪些手术入路方式?

2、减压范围?

糖尿病 (744)
纠错
15 5 22
同行评议(0)
已评议
不开通精选
开通精选
精选已授权,待上线
评议结果暂未公布
参与评议
去邀请
NaN
病例完整NaN
临床实用NaN
诊疗科学NaN
学术价值NaN

全部讨论(0)

默认最新
avatar
15
分享帖子
share-weibo分享到微博
share-weibo分享到微信
认证
返回顶部