神奇的梦:反复住院的慢阻肺患者梦见自己换了个狗肺,从此不再喘了
华夏览雄 达人已点赞病例信息
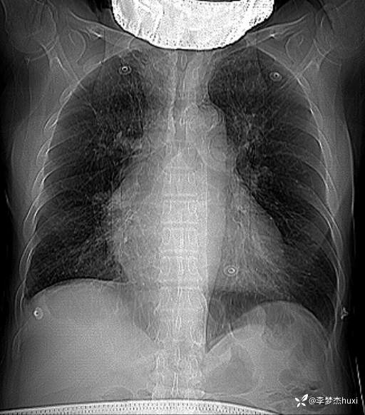
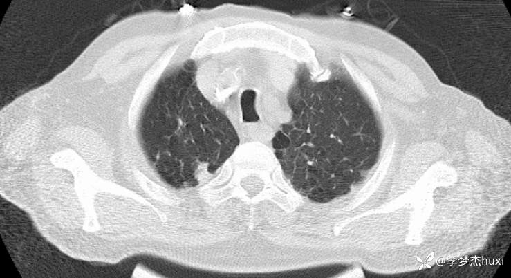
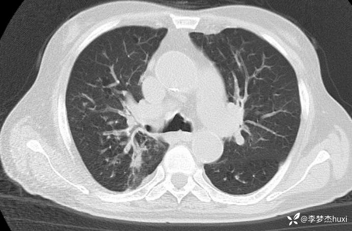
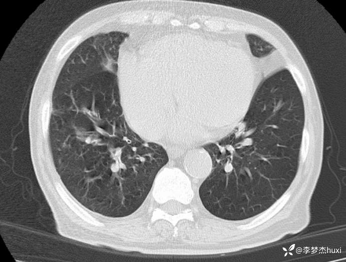
男, 82 岁,主因慢性咳喘20余年,患慢阻肺,平时喘息药物维持,半年前反复住院,并因为病重转上级医院治疗,自诉回家后做梦梦到自己换了一个狗肺,感觉从此不再喘息。
分析处理
暗示的作用如此神奇?
总结与讨论
人的暗示作用有这么大吗?




华夏览雄 达人已点赞病例信息
男, 82 岁,主因慢性咳喘20余年,患慢阻肺,平时喘息药物维持,半年前反复住院,并因为病重转上级医院治疗,自诉回家后做梦梦到自己换了一个狗肺,感觉从此不再喘息。
分析处理
暗示的作用如此神奇?
总结与讨论
人的暗示作用有这么大吗?




