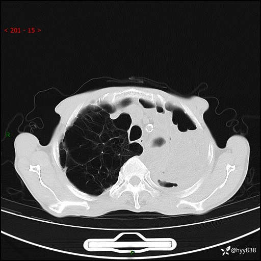
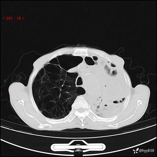
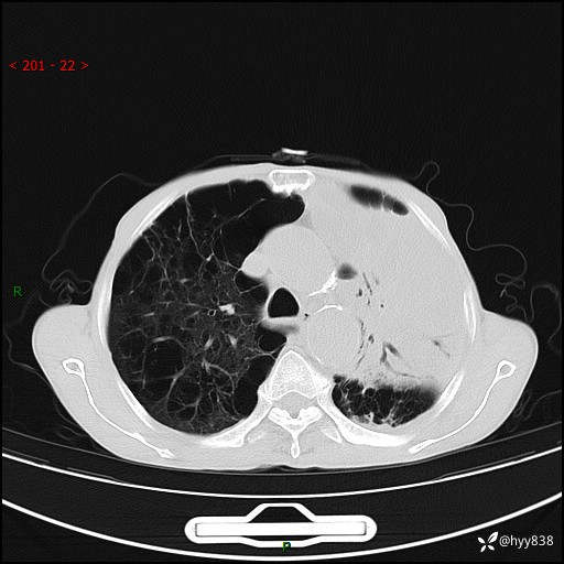
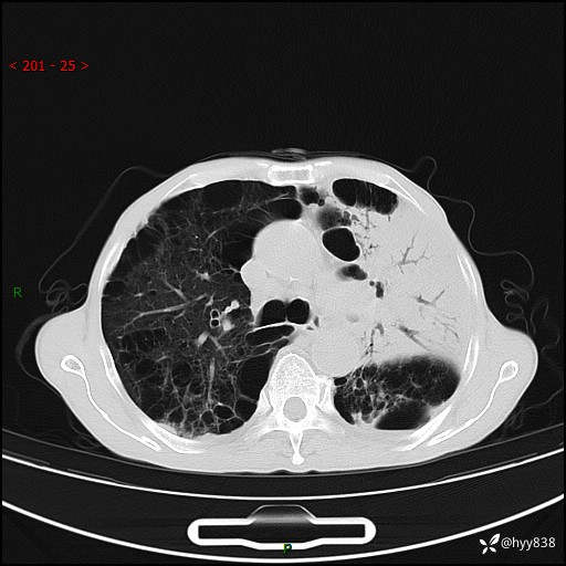
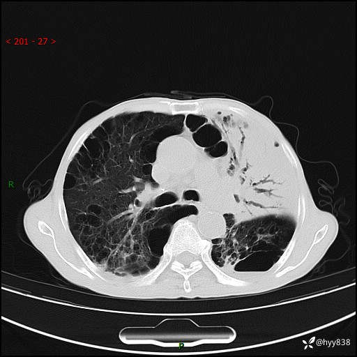
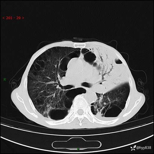
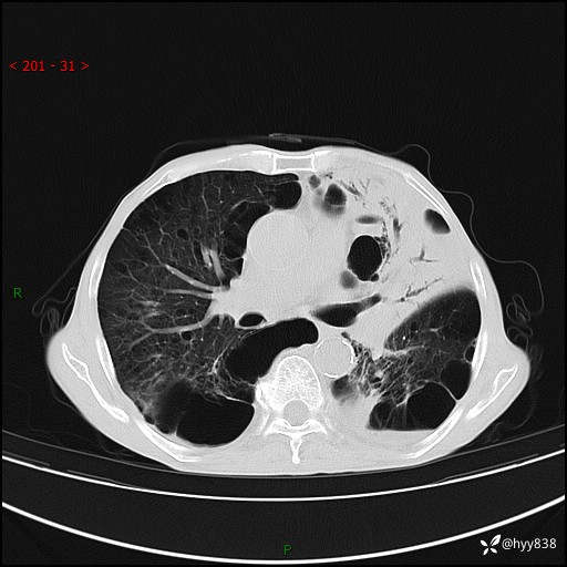
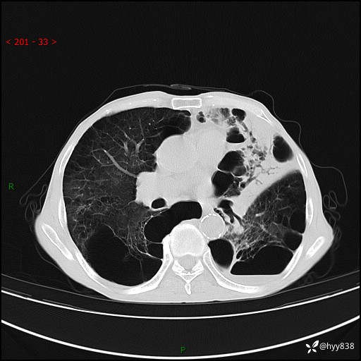
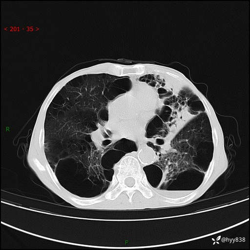
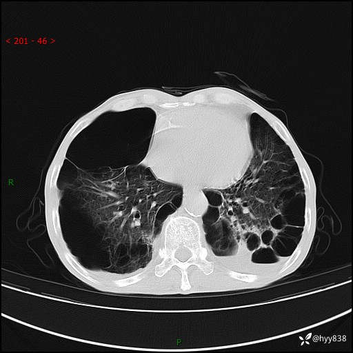
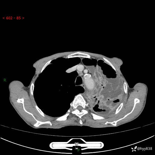
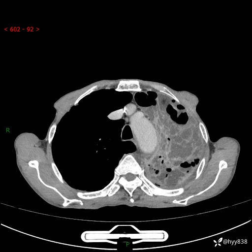
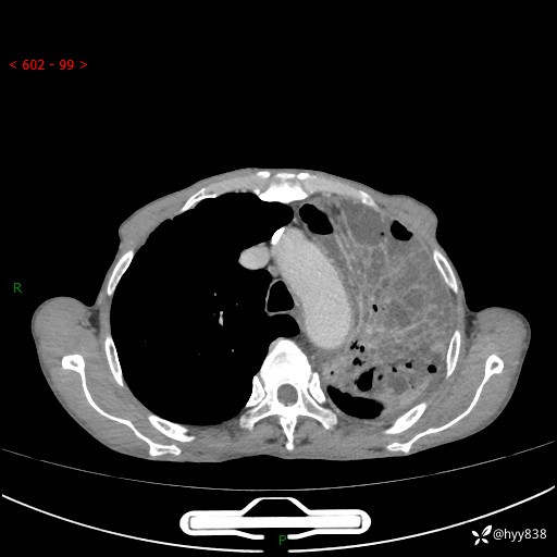
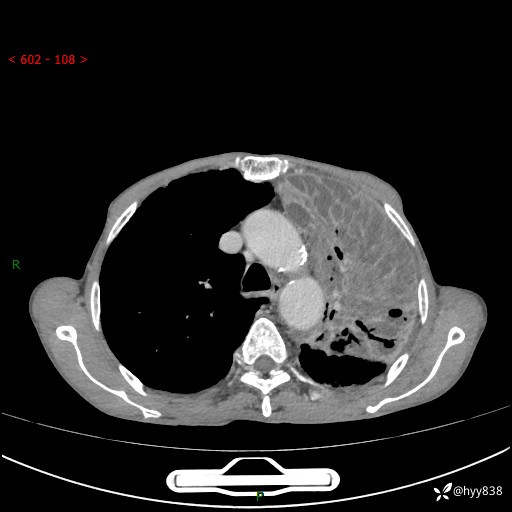
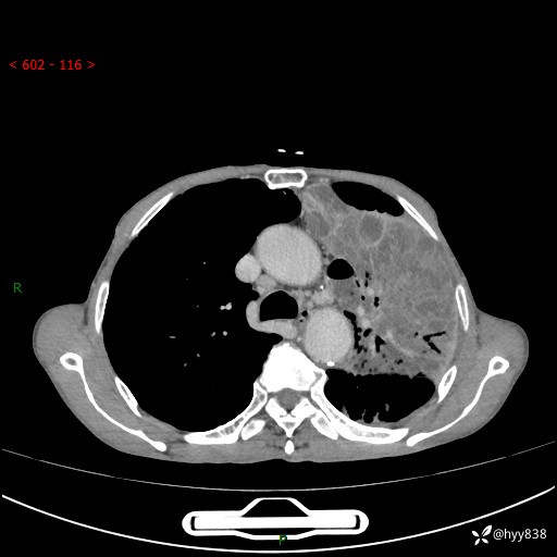
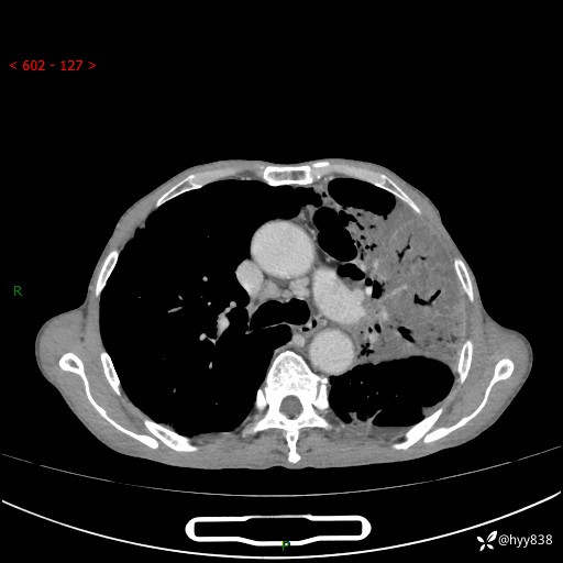
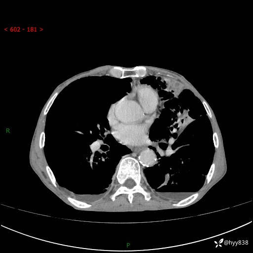
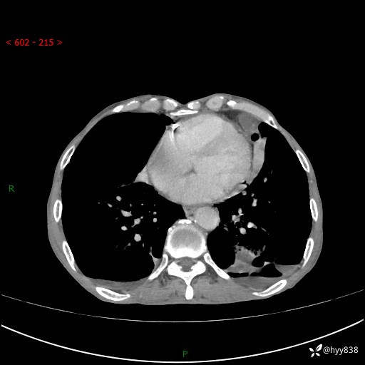
老年男性,反复咳嗽、咳痰、气喘10余年,再发3天。大叶性实变+胸膜病变-结果公布
胡志勇HZY 达人已点赞病例信息
性别:男
年龄:69岁
主诉:反复咳嗽、咳痰、气喘10余年,再发3天
现病史:患者于10余年前开始出现反复咳嗽,咳痰,偶有少许黄色粘痰,伴活动后气喘,多于受凉及天气变化时发作,无胸痛、心悸、咯血等症状,休息后可自行缓解,起初因症状轻微可耐受,未到医院诊治,后症状逐渐加重,频发活动后气喘,活动耐力逐渐下降,未予药物治疗。3天前患者腹泻后出现气喘加重,伴咳嗽,咳黄色粘痰,痰较多,不易咳出,食欲差,无发热,无头昏、乏力、心慌,无头痛、晕厥,无端坐呼吸,无咯血,无胸痛、腹痛,无下肢水肿等,为求进一步诊治,来我院,急诊以“慢性阻塞性肺疾病伴急性下呼吸道感染”收入我科。 本次急性发作以来,患者精神、食欲差,大小便如常,体力下降。体重无明显变化。
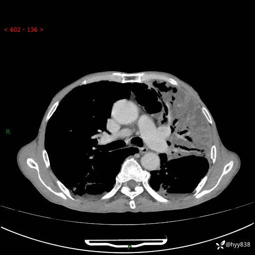
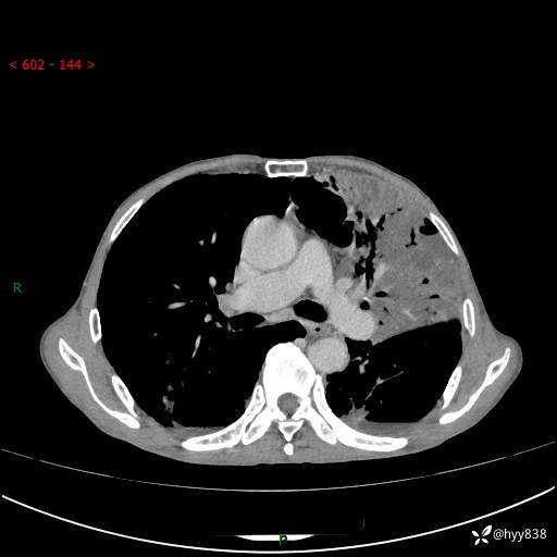
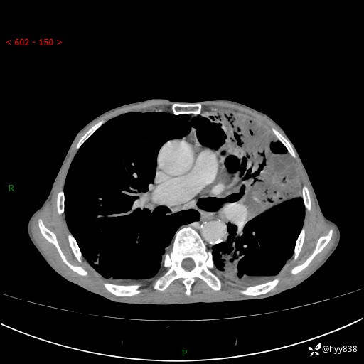
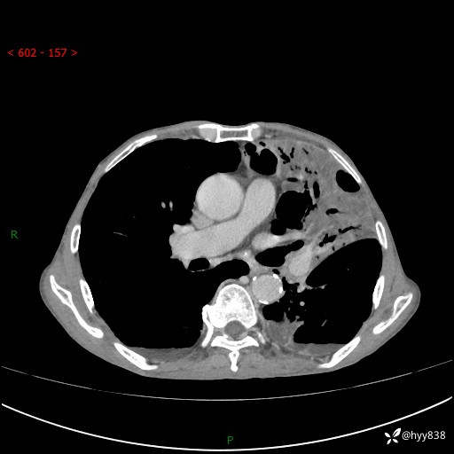
胸部CT平扫+增强









































































