“病历分享”这双下肢看得让人心疼,成宿那种钻心的痒,怎么忍受过来的?
性别:女性
年龄:52岁
主诉:双下肢瘙痒5年余。
现病史:患者自诉5年前出现双下肢结节痒疹,瘙痒剧烈,外院诊断痒疹,予以冷冻治疗,症状好转。逐渐出现红斑、结节,蔓延至腘窝,瘙痒难耐,予以“激素”治疗,效果不佳。
体查:双下肢见广泛红斑皮损,可见大小不一结节,部分结节破溃、结痂,白色鳞屑明显。

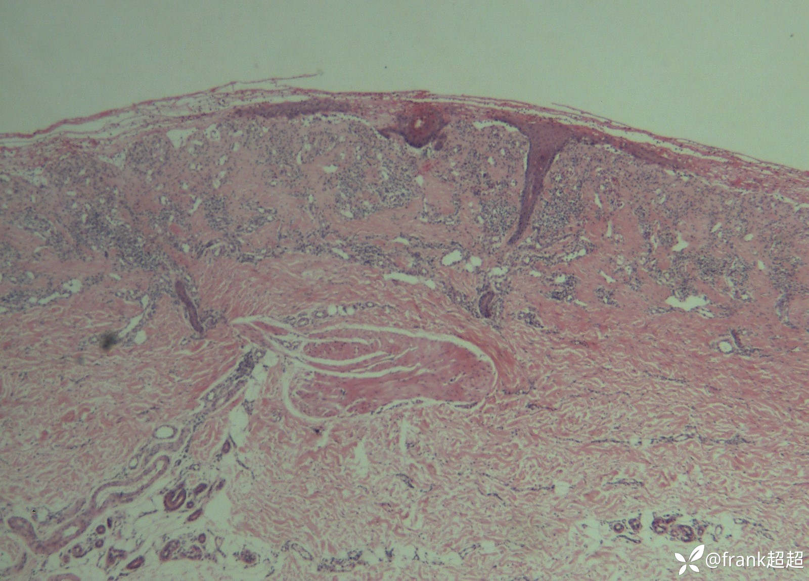
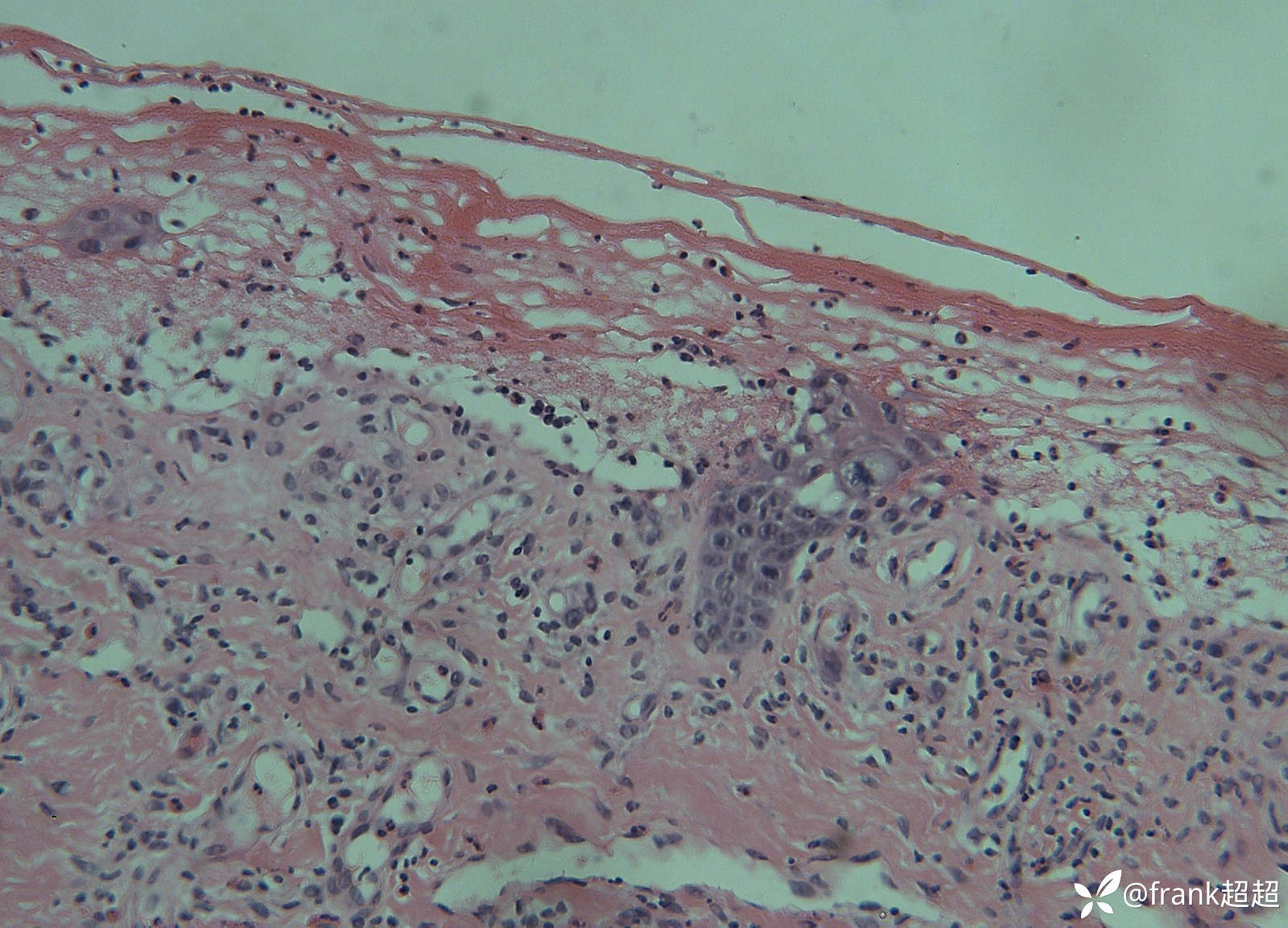
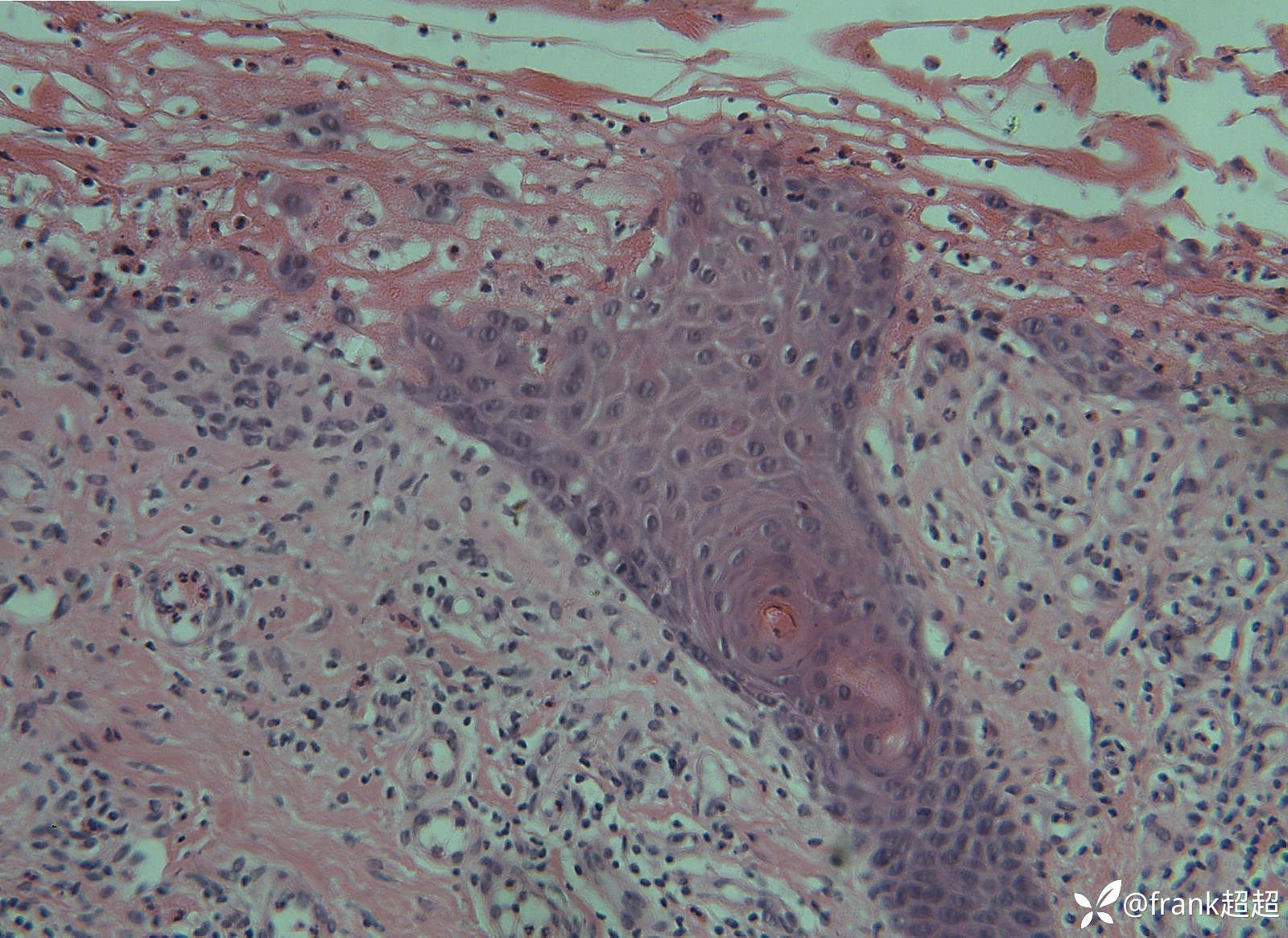
病理:





病理提示:表皮下水疱形成,疱内可见纤维蛋白样物质及少许嗜酸性粒细胞,真皮浅层血管周围可见淋巴细胞及少许嗜酸性粒细胞为主的炎症浸润。
结合病史及病理,考虑诊断?
















































