老年女性,腹腔多发占位,你考虑什么疾病呢?
zxxssy 达人已点赞患者性别:女性
患者年龄:71岁
主诉:下腹部疼痛不适2周
简要病史:患者两周前开始无明显诱因出现下腹部疼痛,为刺痛,向腰背部放射,无恶心呕吐、腹胀腹泻等伴随症状。无明显加重与缓解因素。患者患病以来,一般状况尚可,体重无明显变化。
既往史:10余年前行子宫肌瘤切除术,2年前发现高血压,间断服药,血压控制欠佳;1年在当地行胆囊切除术及下肢肿物切除术(具体不详)。无家族病病史。
体格检查:BP:144/80mmHg,心肺查体未见明显异常,专科情况:皮肤巩膜无黄染,腹平软,脐周可触及直径约5-7cm实性肿物,肿块质硬,表面光滑,活动度可,无明显触压痛,无其余明显阳性体征。
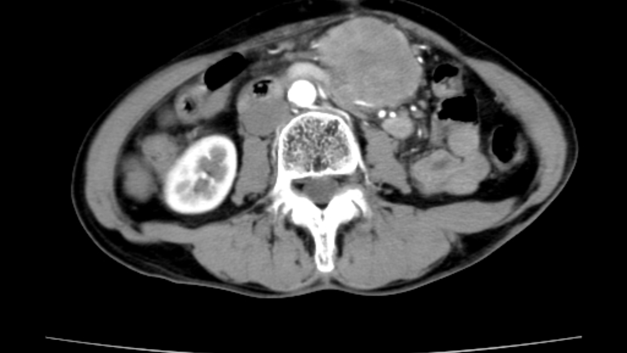
辅助检查:腹部B超提示上腹部不规则低回声包块,腹部CT检查提示腹腔多发占位性病变,考虑良性可能(如下图所示)。


动脉期


门脉期


延迟期


冠状位


矢状位
临床诊断:腹腔多发占位性病变性质待查。
治疗经过:完善检查后考虑肠系膜来源或其他来源,患者全身状况良好,全科讨论后决定行剖腹探查术。术中探查发现肿瘤表面呈黑色,接近炭灰的颜色,与胰腺下缘、胰头紧密粘连,肠系膜上动脉紧贴肿瘤左侧走行,稍稍活动肿块时患者血压飙升至190/110mmHg,术中紧急降压,松开肿瘤后血压缓慢下降,再次轻轻牵拉肿瘤时血压未再上升,肿瘤周围布满怒张的静脉血管,用超声刀分离肿瘤周围组织,怒张的血管就像海蛇头一样围绕着瘤体,经过耐心分离将紧贴瘤体左侧的肠系膜上动脉游离出来,在靠近胰腺下缘时发现肠系膜上静脉被肿瘤完全包绕,游离肿瘤与胰头、钩突间粘连组织及扩张血管,但始终无法将瘤体完整剥除,且无法将肠系膜上静脉游离出来,已经完全被瘤体包绕在内,最终只得行肿瘤部分切除术。并将大网膜与肠系膜盖住残留肿瘤。
继续探查肾脏前方,可触及左侧肾脏前上方肿物,透过后腹膜可见瘤体似呈黑色。在肠系膜内还可触及肿大的包块。术中考虑为来源于胰腺的神经内分泌肿瘤,因为多发且无法切尽,故决定关腹,结束腹部手术。

红圈所示为肿瘤,蓝色所示为SMA,黑色所示为SMV

右大腿根部内侧皮下肿物,表面凹凸不平,呈颗粒状,边界清楚。

右大腿内侧方切除之肿物
巡回护士说患者的右大腿根部有一大块皮下肿物,问我们切不切。我说腹腔内没法切尽,肢体表面的肯定要切了。于是在缝闭腹腔后我们继续给患者行左大腿皮下肿物切除术。肿物大小约14*3*3cm,表面凹凸不平,与腹腔内肿瘤颜色有明显差异。手术完整切除右大腿皮下肿物,并送行病检。
讨论:
腹腔多发性占位性病变,影像科考虑良性病变可能,术中因挤压肿瘤而致患者血压飙升,加上肿瘤与胰腺及肠系膜上动静脉关系紧密,考虑神经内分泌肿瘤可能,由于瘤体包绕肠系膜上静脉且腹腔内肿瘤多发,考虑已无根治性手术机会,遂将最大肿瘤大部切除,送行常规病理检查。关腹后又切除患者右大腿根部皮下肿物,肿物表面凹凸不平,但活动度较好,与周围组织界限清晰,遂将肿物完整切除后送行常规病理检查。
请大家积极发表意见建议,对于该患者的诊断思路、临床治疗决策等各抒己见,谢谢。
术后病检结果将在一周后公布。谢谢!















































