大年初七特别精彩病例|咳嗽半月,大叶性肺炎病灶,您如何诊断?
呱呱叫了 等 2 位达人已点赞大年初七:人寿年丰。摊煎饼吃七宝羹,安顿身心,休养生息。
亦称“人胜节”、“人庆节”、“人口日”、“人七日”等。传说女娲初创世,在造出了鸡狗猪牛马等动物后,于第七天造出了人,所以这一天是人类的生日。汉朝开始有人日节俗,魏晋后开始重视。古代人日有戴“人胜”的习俗,人胜是一种头饰,从晋朝开始有剪彩为花、剪彩为人,或镂金箔为人来贴屏风,也戴在头发上。
在中国传统习俗中,大年初七“人日”,人过生日,要以七种蔬菜,煮成七宝羹,也就是将七种蔬菜,煮成杂菜汤,在农业社会,大家都祈望吃了七宝羹,来年大丰收。
关键词:人日/捞鱼生/摊煎饼/踏青/登高

--------------我是快乐读片的分割线--------------
患者性别:女
患者年龄:51岁
主诉:咳嗽半月
简要病史:患者自诉半月前无明显诱因下出现咳嗽、咳痰,咳嗽为阵发性,痰为黄白色脓痰,伴右侧侧胸部阵发性疼痛、乏力,每次疼痛持续约3-5min,无畏寒、发热、盗汗,无头晕、头痛,无胸闷、心悸,无咯血、气促等不适,自购药物治疗(具体不详),咳嗽、咳痰症状稍好转,但胸痛无缓解,遂至外院就诊,予抗感染等对症治疗后患者自觉咳嗽、咳痰进一步好转,胸痛仍无明显改善。患病以来,患者精神、食欲、睡眠尚可,大小便正常,体重无明显改变
体格检查:无特殊
辅助检查:血常规:白细胞计数19.47*109/L,血红蛋白112g/I,中性粒细胞百分比0.846,中性粒细胞绝对值16.46*109/L;超敏C反应蛋白:18.1mg/ml;糖类抗原CA125:54U/ml、糖类抗原CA153:17.6U/ml
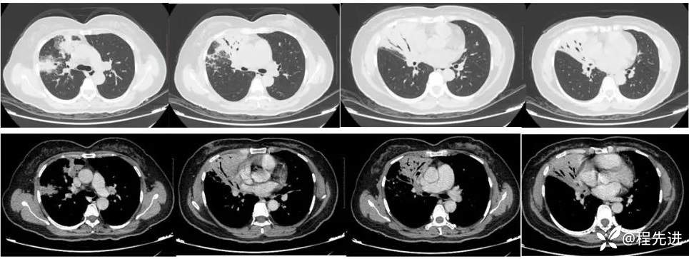
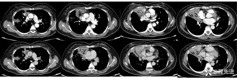
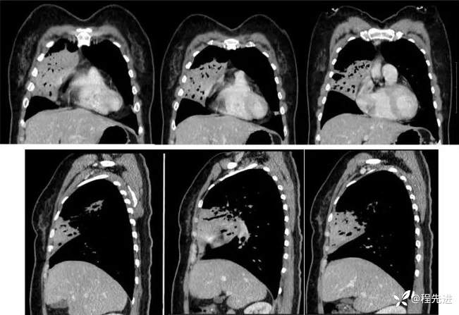
直接CT增强:



期待您的精彩解读!















































