给膝关节疼痛找找茬
杨庆运骨伤科医生 达人已点赞患者性别:男性
患者年龄:27岁
主诉:膝关节疼痛1年,加重1周
体格检查:膝关节浮髌试验阳性,抽屉试验阴性,外侧间隙压痛,内侧间隙前侧压痛。
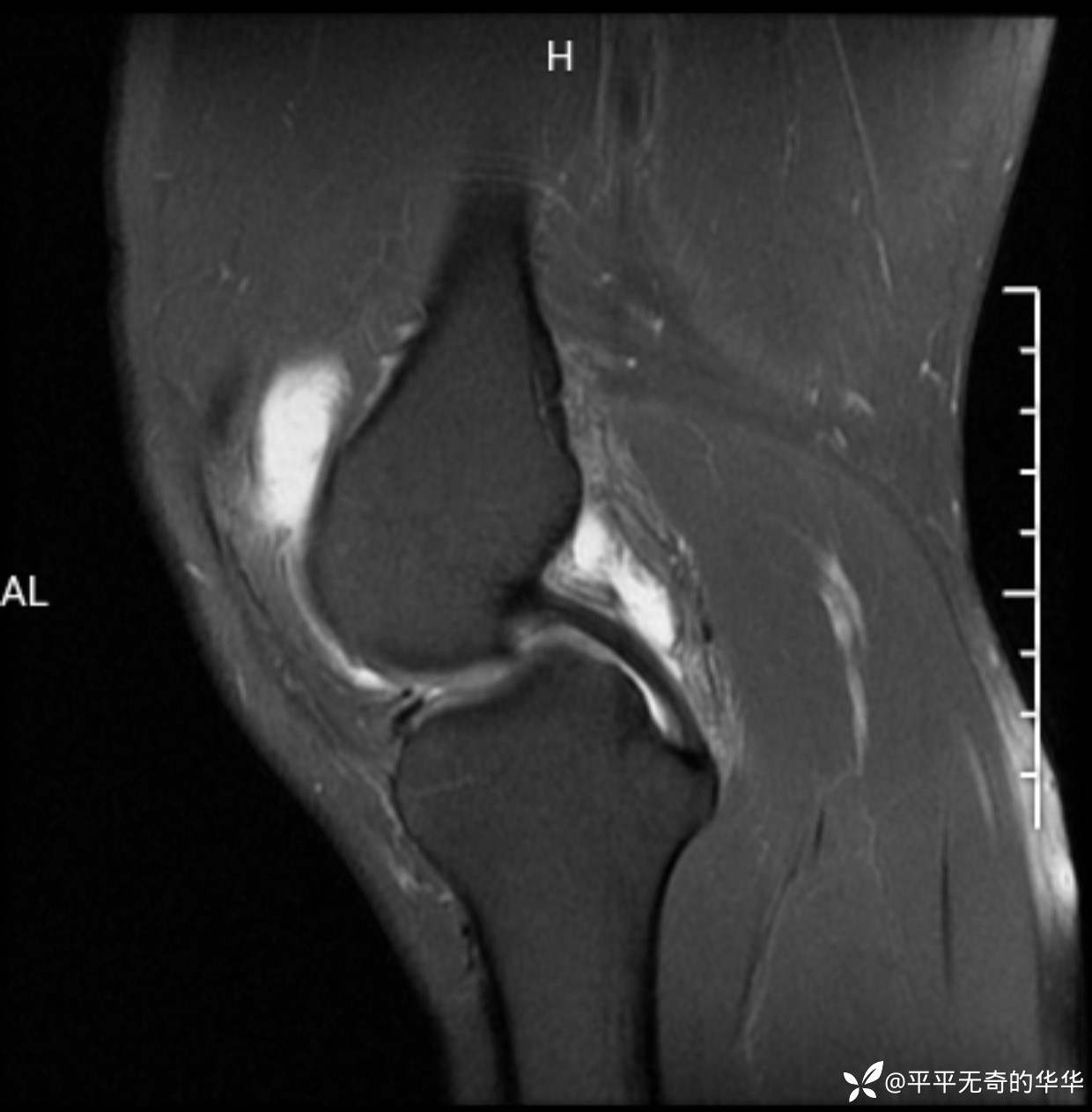
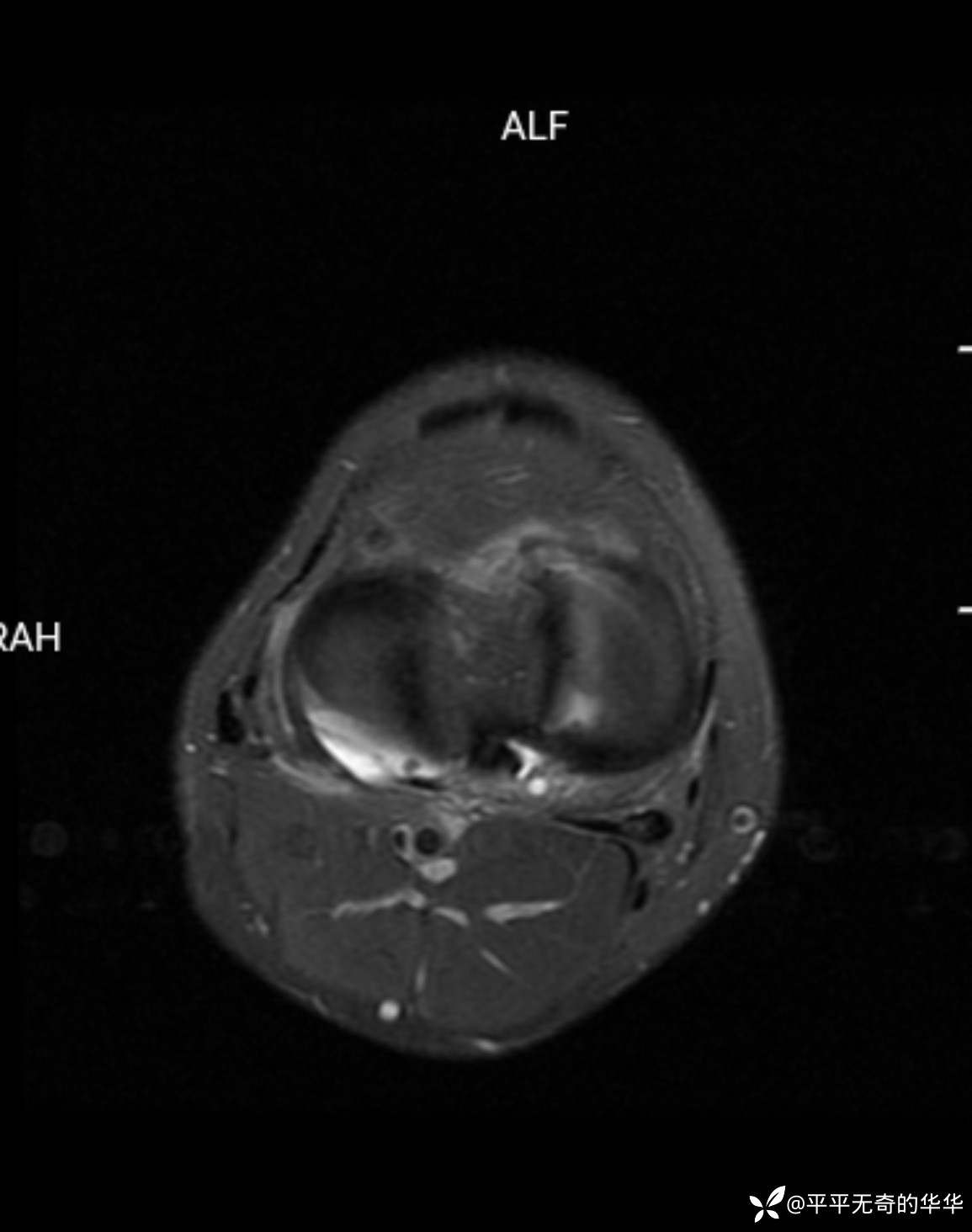
辅助检查:膝关节平片未见异常。磁共振影像如下。









请大家来个给他找找疼痛原因。
杨庆运骨伤科医生 达人已点赞患者性别:男性
患者年龄:27岁
主诉:膝关节疼痛1年,加重1周
体格检查:膝关节浮髌试验阳性,抽屉试验阴性,外侧间隙压痛,内侧间隙前侧压痛。
辅助检查:膝关节平片未见异常。磁共振影像如下。









请大家来个给他找找疼痛原因。
